A radiografia panorâmica é a técnica extrabucal
mais solicitada em odontologia. Entre as suas
indicações estão a visão ampla do complexo
maxilomandibular, a avaliação da relação entre
dentes decíduos e permanentes, o
posicionamento de terceiros molares
inclusos/impactados, o estudo de anomalias
dentárias, a extensão de lesões patológicas e
alterações metabólicas, além do diagnóstico de
fraturas mandibulares e da ATM.
Fonte: Association between Facial Type and Mandibular Canal Morphology – Analysis in Digital Panoramic Radiograph..
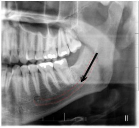
Considerando a radiografia panorâmica apresentada, a estrutura anatômica indicada pela seta e pelo tracejado corresponde a:
Fonte: Association between Facial Type and Mandibular Canal Morphology – Analysis in Digital Panoramic Radiograph..
Considerando a radiografia panorâmica apresentada, a estrutura anatômica indicada pela seta e pelo tracejado corresponde a: