Foram encontradas 260 questões.
A aspiração é definida como a inalação de conteúdo orofaríngeo ou gástrico para a laringe e o trato respiratório inferior. Algumas síndromes pulmonares podem ocorrer após a aspiração, dependendo da quantidade e natureza do material aspirado, da frequência da aspiração e da resposta do hospedeiro ao material aspirado. Embora haja semelhanças entre a pneumonite de aspiração e a pneumonia de aspiração, são entidades clínicas distintas. Assinale a alternativa que apresenta uma característica diagnóstica diferencial que caracteriza a pneumonite de aspiração.
Provas
Leia a definição a seguir.
“Tumores malignos, porém com crescimento lento, derivados de células embrionárias remanescentes da notocorda. Podem ocorrer em qualquer parte da coluna vertebral e na base do crânio, mais frequentes na região sacrococcígea. Quando acometem a base do crânio podem causar disfagia”.
O excerto refere-se ao
Provas
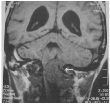
Observe a imagem em corte coronal feita por Ressonância Magnética de crânio, na fase sem contraste.

(Jotz et.al. Tratado de Deglutição e Disfagia no adulto e na criança. p. 257)
Assinale a alternativa que apresenta a avaliação correta da região apontada pela seta branca.
Provas
De acordo com Jotz et al (2018), os tumores do sistema nervoso central são o segundo câncer com mais frequência em crianças, representando 20% de todas as neoplasias que acometem pacientes menores de 15 anos de idade em todo o mundo. Tumores que comprometem a base do crânio e todos os tumores de fossa posterior, como meduloblastomas, astrocitomas, tumores de tronco cerebral e ependiomas podem afetar a deglutição. Assinale a alternativa que apresenta um sintoma do acometimento no nervo glossofaríngeo por esses tipos de tumores.
Provas
De acordo com Jotz et al. (2018), no Tratamento de Resgate, a cirurgia tem sido reservada aos pacientes que não respondem adequadamente ao tratamento conservador e aos que apresentam recidivas quando submetidos ao tratamento com quimioterapia e radioterapia. Os pacientes que não apresentam redução de pelo menos da doença (resposta parcial) em um período entre a semanas do tratamento proposto deveriam ser encaminhados para o tratamento cirúrgico. Assinale a alternativa que apresenta os termos que completam, correta e respectivamente, as lacunas do excerto.
Provas
Leia a descrição de uma sonda de descompressão:
“Com apenas uma via, possui uma ponta de metal que é lubrificada e introduzida através do nariz. É usada para sucção e irrigação. Geralmente, uma sonda em Y é presa no final desta, para que de um lado seja acoplado o aparato de sucção e, do outro, uma saída com uma pinça para irrigação”.
O excerto refere-se à Sonda de
Provas
Após um pedido de avaliação fonoaudiológica de pacientes no leito em estados mais graves, que necessitam de monitoramento, somente por meio do conhecimento das taxas de normalidades dos diferentes parâmetros é que se pode verificar o momento mais adequado para a atuação, ou a necessidade de solicitação de outro profissional da equipe para a correta intervenção. Assinale a alternativa que indica um parâmetro dento da normalidade ao se considerar um paciente adulto.
Provas
A maior parte dos pacientes disfágicos chega para a avaliação fonoaudiológica com algum tipo de via alternativa de alimentação. As sondas nasoenterais ou nasogástricas são as mais utilizadas. Assinale a alternativa que aponta para um momento em que as sondas podem ser removidas.
Provas
O idoso pode apresentar dificuldades de alimentação devido ao processo natural do envelhecimento. A seguir, são listados os sinais comumente apresentados na presbifagia (1, 2, 3) e estágios da deglutição (a, b e c):
1. redução da massa muscular com declínio da força, mobilidade e propulsão do bolo.
2. Diminuição do diâmetro de abertura do esfíncter esofágico superior (EES).
3. Duração aumentada devido ao maior tempo de relaxamento do EES. a. Estágio faríngeo. b. Estágio oral.
c. Estágio esofágico.
Assinale a alternativa que apresenta a associação correta entre os sinais apresentados na presbifagia e os respectivos estágios de deglutição.
Provas
Jotz et al (2018) citam que quando o fonoaudiólogo avalia um indivíduo com queixa de deglutição, primeiramente se realiza a anamnese seguida da avaliação clínica, na qual se pode utilizar o estetoscópio para ausculta cervical. Segundo eles, nesse tipo de avaliação clínica pode- -se pedir ao paciente que realize respirações rápidas e curtas. Assinale a alternativa que justifica a solicitação descrita para esse tipo de avaliação.
Provas
Caderno Container