Foram encontradas 49 questões.
Com relação a esse caso clínico, é correto afirmar que a imobilização inicial adequada é
Provas
Acerca desse caso clínico e quanto à avaliação desse paciente e à conduta subsequente, assinale a alternativa correta.
Provas
A respeito desse caso clínico e considerando essa prescrição, assinale a alternativa correta.
Provas
Um paciente de 22 anos de idade, corredor, queixa-se de dor em joelho há seis meses, que iniciou ao final das corridas, mas atualmente ocorre mesmo em movimentos do dia a dia. Durante o exame físico, foram negativos os testes: Clarke, rechaço patelar, McMurray, Apley, gaveta anterior, gaveta posterior, estresse em valgo e varo. A palpação do ligamento patelar ou tendão quadriciptal foram indolores. Durante o exame físico, com o paciente sentado com as pernas para fora da maca e a tíbia em rotação interna, o examinador realizou flexo-extensão passiva do joelho do paciente, notando banda fibrosa peri patelar, que o paciente identificou na palpação como fonte da respectiva dor.
Considerando o diagnóstico mais provável, epidemiologicamente, essa é uma causa de dor com maior probabilidade em qual região do joelho?
Provas
Provas
Quanto a esse caso clínico e à principal hipótese diagnóstica desse paciente, é correto afirmar que a etiopatogenia mais comum seria
Provas
Provas

Um paciente de 44 anos de idade tentou suicídio atirando-se na frente de um ônibus. O motorista desviou-se, mas a perna esquerda do paciente foi atropelada, com fraturas múltiplas de tíbia e fíbula, manejadas com uso de fixador externo. O paciente atualmente se queixa de insensibilidade nas zonas 3 e 4, representadas na figura. Quais nervos devem ter sido afetados, respectivamente?
Provas

Um paciente apresentou queda de altura, tendo aparado a queda com a região tenar da mão, gerando a fratura representada na imagem.
Com base no caso clínico apresentado, é correto afirmar que se trata de uma fratura de
Provas

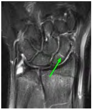
Uma paciente de 32 anos de idade sofreu queda sobre a mão espalmada. Após exame físico, foi realizado o exame de imagem apresentado.
A respeito desse caso clínico e da fratura indicada na imagem, assinale a alternativa correta.
Provas
Caderno Container