Magna Concursos

Foram encontradas 49 questões.

486531 Ano: 2019
Disciplina: Medicina
Banca: IADES
Orgão: ALEGO

enunciado 486531-1

Uma paciente de 50 anos de idade, obesa, com diabetes e hipotireoidismo, queixa-se de sensação de parestesias há dois meses nas regiões de número 2 e 3, conforme a imagem, sobretudo quando acorda pela manhã. Com base nessas informações, é correto afirmar que os nervos afetados são, respectivamente,

 

Provas

Questão presente nas seguintes provas
486530 Ano: 2019
Disciplina: Medicina
Banca: IADES
Orgão: ALEGO

enunciado 486530-1

Um paciente atleta de alto rendimento queixa-se de dor crônica em coluna lombar, há cinco meses, relacionada com as respectivas atividades esportivas. Nega sintomas de retenção ou incontinência urinária/fecal, febre, sintomas urinários ou irradiação da dor para membros inferiores.

Considerando-se esse caso clínico e a radiografia apresentada, qual esporte apresenta maior probabilidade de ser o praticado pelo paciente?

 

Provas

Questão presente nas seguintes provas
486529 Ano: 2019
Disciplina: Medicina
Banca: IADES
Orgão: ALEGO

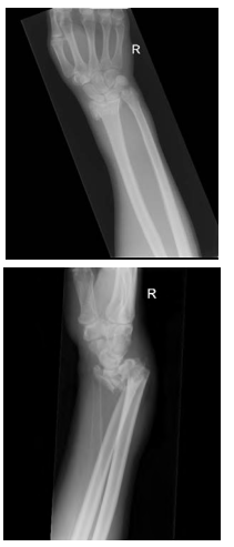
enunciado 486529-1

Uma paciente idosa apresentou episódio de vertigem rotatória e caiu com o punho fletido. No exame físico, apresenta deformidade importante de punho, edema e dor limitante.

Com base nesse caso clínico e nas imagens de radiografia apresentadas, é correto afirmar que se trata de uma fratura de

 

Provas

Questão presente nas seguintes provas
486528 Ano: 2019
Disciplina: Medicina
Banca: IADES
Orgão: ALEGO

enunciado 486528-1

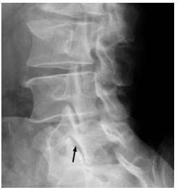
Uma paciente de 62 anos de idade apresenta dor lombar crônica recorrente, com visitas ao PS ortopédico cerca de uma vez por semana. Refere dor difusa em toda a coluna lombar. Ao exame físico, notam-se pontos miofasciais em musculatura lombar bilateral. Os testes neurodinâmicos são negativos. Por insistência da paciente, foi realizado o exame de imagem apresentado.

A respeito desse caso clínico, assinale a alternativa que apresenta a melhor conduta a ser seguida.

 

Provas

Questão presente nas seguintes provas
486527 Ano: 2019
Disciplina: Medicina
Banca: IADES
Orgão: ALEGO

enunciado 486527-1

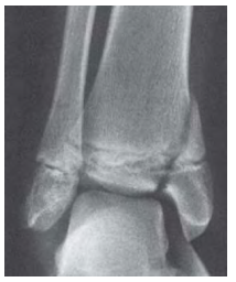
Um paciente adolescente apresentou entorse grave de tornozelo há uma hora, sendo levado ao atendimento em cadeira de rodas por incapacidade de deambular. Apresentava, ao exame físico, dor bimaleolar importante. Foi realizada a radiografia mostrada na imagem.

Com base nesse caso clínico, é correto classificar essa lesão como Salter-Harris tipo

 

Provas

Questão presente nas seguintes provas
486526 Ano: 2019
Disciplina: Medicina
Banca: IADES
Orgão: ALEGO

enunciado 486526-1

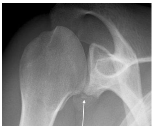
Um paciente de 18 anos de idade sofreu luxação traumática de ombro ao realizar saque durante jogo de tênis. Após redução da luxação em pronto-socorro, foi realizada a radiografia mostrada na imagem.

Com relação a esse caso clínico, é correto afirmar que, na radiografia, a seta aponta para uma lesão de

 

Provas

Questão presente nas seguintes provas
486525 Ano: 2019
Disciplina: Medicina
Banca: IADES
Orgão: ALEGO

enunciado 486525-1

Um paciente de 52 anos de idade apresenta-se em ambulatório de cirurgia de mão, com inspeção demonstrada na imagem. Na palpação, notam-se bandas fibrosas importantes na fáscia palmar.

A respeito desse caso clínico e da doença descrita, assinale a alternativa correta.

 

Provas

Questão presente nas seguintes provas
486524 Ano: 2019
Disciplina: Medicina
Banca: IADES
Orgão: ALEGO

enunciado 486524-1

Um paciente nadador profissional, com dor crônica em ombro esquerdo e teste de O’Brien positivo, foi submetido a RNM. A reconstrução tridimensional foi esquematizada na figura apresentada.

A respeito desse caso clínico, é correto afirmar que se trata de uma lesão SLAP do tipo

 

Provas

Questão presente nas seguintes provas
486523 Ano: 2019
Disciplina: Medicina
Banca: IADES
Orgão: ALEGO

enunciado 486523-1

Um paciente de 22 anos de idade realizou torção de joelho direito jogando futebol há um dia. Apresenta-se com edema articular importante, o que impede a realização apropriada das manobras do exame físico. Joelho difusamente doloroso à palpação.

Com base no caso clínico apresentado e na imagem de radiografia, é correto afirmar que se trata de uma fratura de

 

Provas

Questão presente nas seguintes provas
486509 Ano: 2019
Disciplina: Medicina
Banca: IADES
Orgão: ALEGO
Um paciente, futebolista amador, refere sensação de dor intensa no joelho esquerdo após torção deste, associada a estalo e edema articular quase imediato. No exame físico, os testes positivos foram: gaveta anterior, jerk test, pivot-shift, rechaço patelar. Os testes negativos foram: gaveta posterior, estresse em vago, estresse em varo, teste de Apley, teste de McMurray.

Com base nesse caso clínico, é correto afirmar que o diagnóstico mais provável é
 

Provas

Questão presente nas seguintes provas