Magna Concursos

Foram encontradas 30 questões.

3254729 Ano: 2024
Disciplina: Radiologia
Banca: FUNCERN
Orgão: AMCEVALE
Provas:

Leia o trecho a seguir:

Enunciado 3629629-1

Com base nessas informações, é correto afirmar:

 

Provas

Questão presente nas seguintes provas
3254728 Ano: 2024
Disciplina: Radiologia
Banca: FUNCERN
Orgão: AMCEVALE
Provas:

Leia o trecho:

Enunciado 3629628-1

Com base nessas informações, é correto afirmar:

 

Provas

Questão presente nas seguintes provas
3254727 Ano: 2024
Disciplina: Radiologia
Banca: FUNCERN
Orgão: AMCEVALE
Provas:
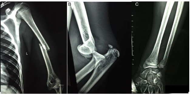
A fratura/ luxação do ombro e do cotovelo necessita da intervenção do ortopedista, sempre o mais breve possível, com redução da fratura (aberta ou fechada), seguida da avaliação da estabilidade articular e do desvio das fraturas. Nos casos crônicos, por falta de condições cirúrgicas ou por negligência, a abordagem cirúrgica, na maioria das vezes, torna-se necessária para redução, estabilização articular e/ou substituição protética. Vários são os exames que podemos realizar de acordo com as condições do paciente.
Com base nessas informações, é correto afirmar:
 

Provas

Questão presente nas seguintes provas
3254726 Ano: 2024
Disciplina: Radiologia
Banca: FUNCERN
Orgão: AMCEVALE
Provas:

Leia o trecho:


Enunciado 3629626-1

Enunciado 3629626-2
Fonte: https://repositorio.ufc.br/bitstream/riufc/30570/1/2018_art_jbalecarneto.pdf
Tendo como referência as informações do trecho e a imagem acima, é correto afirmar:
 

Provas

Questão presente nas seguintes provas
3254725 Ano: 2024
Disciplina: Radiologia
Banca: FUNCERN
Orgão: AMCEVALE
Provas:

Considere o trecho a seguir:


Enunciado 3629625-1

Com base nessas informações, observe a imagem reproduzida abaixo:
Enunciado 3629625-2

Fonte: livro Bontrager 6a edição, pág 412.
De acordo com essa imagem, é correto afirmar:
 

Provas

Questão presente nas seguintes provas
3254724 Ano: 2024
Disciplina: Radiologia
Banca: FUNCERN
Orgão: AMCEVALE
Provas:

Leia o trecho

Enunciado 3629624-1

Com base nessas informações, é correto afirmar.

 

Provas

Questão presente nas seguintes provas
3254723 Ano: 2024
Disciplina: Radiologia
Banca: FUNCERN
Orgão: AMCEVALE
Provas:

Leia o trecho a seguir.

Enunciado 3629622-1

Considerando o exame de face do paciente, é correto afirmar:

 

Provas

Questão presente nas seguintes provas
3254722 Ano: 2024
Disciplina: Radiologia
Banca: FUNCERN
Orgão: AMCEVALE
Provas:

Leia o trecho a seguir.

Enunciado 3629621-1

Com base nessas informações, observe a imagem reproduzida a seguir:

Enunciado 3629621-2

Fonte: https://www.lecturio.com/pt/concepts/sistema-ventricular-anatomia/ Acesso 03/12/2023.

Com base nessa imagem, é correto afirmar:

 

Provas

Questão presente nas seguintes provas
3254721 Ano: 2024
Disciplina: Radiologia
Banca: FUNCERN
Orgão: AMCEVALE
Provas:

Leia o trecho a seguir:

Enunciado 3629620-1

Observe a imagem reproduzida abaixo:

Enunciado 3629620-2

Fonte: Livro Bontrager 6a edição, pág 726.

De acordo com essa imagem, é correto afirmar:

 

Provas

Questão presente nas seguintes provas
3254720 Ano: 2024
Disciplina: Radiologia
Banca: FUNCERN
Orgão: AMCEVALE
Provas:
Leia o trecho a seguir:
Enunciado 3629619-1
Considerando-se essa observação, é necessário que o técnico de radiologia conheça a anatomia básica do sistema nervoso (SNC). Nessa perspectiva, é correto afirmar:
 

Provas

Questão presente nas seguintes provas