Foram encontradas 130 questões.
Uma variedade de manifestações cardiovasculares pode ser
observada em pacientes com doenças reumatológicas sistêmicas.
Embora o acometimento coronariano possa ocorrer por meio de
diversos mecanismos diferentes, a aterosclerose prematura
representa um processo fisiopatológico frequente.
Entre as doenças abaixo, assinale a que está mais associada ao desenvolvimento prematuro de doença coronariana aterosclerótica, independentemente dos fatores de risco aterogênicos tradicionais.
Entre as doenças abaixo, assinale a que está mais associada ao desenvolvimento prematuro de doença coronariana aterosclerótica, independentemente dos fatores de risco aterogênicos tradicionais.
Provas
Questão presente nas seguintes provas
Homem de 68 anos portador de marca-passo definitivo tipo DDD
há 6 anos devido à síncope e ao bloqueio atrioventricular total
intermitente, sem outras comorbidades. Será submetido à
extração dentária única e relata alergia à penicilina.
Considerando o perfil de risco do paciente, assinale a opção que apresenta a conduta mais adequada referente à profilaxia de endocardite infecciosa.
Considerando o perfil de risco do paciente, assinale a opção que apresenta a conduta mais adequada referente à profilaxia de endocardite infecciosa.
Provas
Questão presente nas seguintes provas
Em relação às miocardiopatias associadas a substâncias tóxicas,
assinale a opção correta.
Provas
Questão presente nas seguintes provas
As opções a seguir apresentam alterações ecocardiográficas que
podem ser encontradas na presença de tamponamento cardíaco,
à exceção de uma. Assinale-a.
Provas
Questão presente nas seguintes provas
Atenção: o caso seguir refere-se a próxima questão.
Homem de 65 anos, com hipertensão arterial, diabetes insulinodependente, dislipidemia e tabagista (25 maços/ano). Portador
também de doença arterial periférica com claudicação
intermitente de membros inferiores. Refere angina progressiva
nos últimos meses, em uso regular de anlodipina, enalapril,
atenolol, aspirina, atorvastatina, mononitrato de isossorbida e
insulina NPH com aderência adequada de todas as medicações.
Ao exame na admissão: eupneico em ar ambiente, corado,
frequência cardíaca: 62 bpm; pressão arterial: 122x76 mmHg,
pulmões sem alterações; ritmo cardíaco regular, 3 tempos (B4),
bulhas normofonéticas, sem sopros. Presença de sopro na
carótida direita. Abdome flácido, com sopro audível no epigastro,
indolor, sem visceromegalias. Membros inferiores sem edema e
pulso pedioso impalpável.
Devido ao quadro cardiológico foi submetido à coronariografia
diagnóstica, que mostrou doença coronariana obstrutiva
multiarterial. Cerca de 24 horas após o exame, o paciente evoluiu
com desconforto abdominal, febre (38ºC), amaurose fugaz no
olho direito, além de alterações cutâneas sugestivas de livedo
reticular nos membros inferiores e cianose associada à dor em
múltiplos pododáctilos bilateralmente. Laboratório inicial revelou
leucocitose com eosinofilia, elevação da creatinina e de
marcadores inflamatórios. Eletrocardiograma sem alterações
agudas.
Provas
Questão presente nas seguintes provas
Atenção: o caso seguir refere-se a próxima questão.
Homem de 65 anos, com hipertensão arterial, diabetes insulinodependente, dislipidemia e tabagista (25 maços/ano). Portador
também de doença arterial periférica com claudicação
intermitente de membros inferiores. Refere angina progressiva
nos últimos meses, em uso regular de anlodipina, enalapril,
atenolol, aspirina, atorvastatina, mononitrato de isossorbida e
insulina NPH com aderência adequada de todas as medicações.
Ao exame na admissão: eupneico em ar ambiente, corado,
frequência cardíaca: 62 bpm; pressão arterial: 122x76 mmHg,
pulmões sem alterações; ritmo cardíaco regular, 3 tempos (B4),
bulhas normofonéticas, sem sopros. Presença de sopro na
carótida direita. Abdome flácido, com sopro audível no epigastro,
indolor, sem visceromegalias. Membros inferiores sem edema e
pulso pedioso impalpável.
Devido ao quadro cardiológico foi submetido à coronariografia
diagnóstica, que mostrou doença coronariana obstrutiva
multiarterial. Cerca de 24 horas após o exame, o paciente evoluiu
com desconforto abdominal, febre (38ºC), amaurose fugaz no
olho direito, além de alterações cutâneas sugestivas de livedo
reticular nos membros inferiores e cianose associada à dor em
múltiplos pododáctilos bilateralmente. Laboratório inicial revelou
leucocitose com eosinofilia, elevação da creatinina e de
marcadores inflamatórios. Eletrocardiograma sem alterações
agudas.
Provas
Questão presente nas seguintes provas
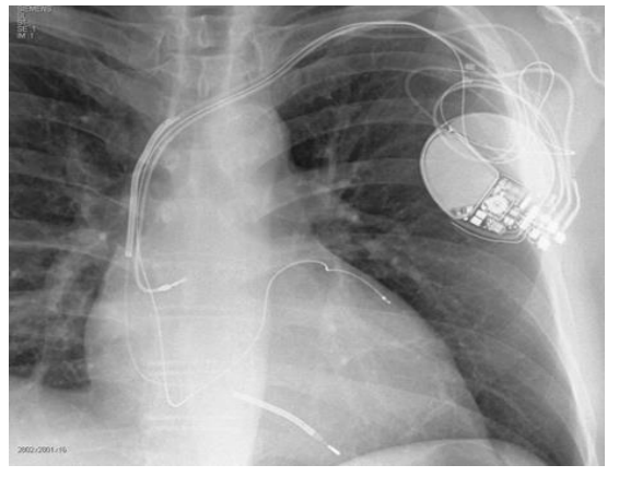
No contexto de pacientes com insuficiência cardíaca, assinale o
caso descrito a seguir que teria maior benefício de receber o
dispositivo observado na radiografia a seguir.

Abreviaturas: BRD: Bloqueio de ramo direito / BRE: Bloqueio de ramo esquerdo / FE: Fração de ejeção / IC: Insuficiência cardíaca / NYHA: New York Heart Association.

Abreviaturas: BRD: Bloqueio de ramo direito / BRE: Bloqueio de ramo esquerdo / FE: Fração de ejeção / IC: Insuficiência cardíaca / NYHA: New York Heart Association.
Provas
Questão presente nas seguintes provas
Em relação às responsabilidades dos médicos do trabalho e
demais médicos que atendem o trabalhador, conforme a
Resolução nº 2.323/2022 do Conselho Federal de Medicina,
avalie as afirmativas a seguir.
I. Fornecer atestados e pareceres para o trabalhador sempre que necessário, considerando que o repouso, o acesso a terapias ou o afastamento da exposição nociva faz parte do tratamento.
II. Quando requerido pelo paciente, deve o médico pôr a sua disposição ou a de seu representante legal tudo o que se refira ao seu atendimento, em especial cópia dos exames e do prontuário médico.
III. O médico do trabalho, ao ser solicitado pelo médico assistente do trabalhador, deverá produzir relatório com descrição dos riscos ocupacionais e da organização do trabalho e entregá-lo ao trabalhador ou ao seu responsável legal mediante recibo de entrega.
Está correto o que se afirma em
I. Fornecer atestados e pareceres para o trabalhador sempre que necessário, considerando que o repouso, o acesso a terapias ou o afastamento da exposição nociva faz parte do tratamento.
II. Quando requerido pelo paciente, deve o médico pôr a sua disposição ou a de seu representante legal tudo o que se refira ao seu atendimento, em especial cópia dos exames e do prontuário médico.
III. O médico do trabalho, ao ser solicitado pelo médico assistente do trabalhador, deverá produzir relatório com descrição dos riscos ocupacionais e da organização do trabalho e entregá-lo ao trabalhador ou ao seu responsável legal mediante recibo de entrega.
Está correto o que se afirma em
Provas
Questão presente nas seguintes provas
Entre as potenciais etiologias de pericardite aguda, assinale a
situação em que não haveria benefício do uso da colchicina para
o tratamento sintomático e/ou prevenção de recorrências.
Provas
Questão presente nas seguintes provas
Atenção: o caso a seguir refere-se a próxima questão.
Mulher de 43 anos, com hipertensão diagnosticada há 5 anos, em
uso regular de anlodipina, enalapril, atenolol e hidroclorotiazida,
com aderência adequada de todas as medicações. Está realizando
atividade física regular, com dieta adequada e IMC de 28 kg/m2
.
Todos os anti-hipertensivos estão em doses máximas toleradas e
nega uso de outras medicações. Refere diagnóstico recente de
síndrome de apneia do sono, adequadamente controlada com um
gerador de pressão positiva contínua (CPAP) noturno. Mãe com
diagnóstico de hipertensão aos 38 anos.
Ao exame: eupneica em ar ambiente, corada, frequência
cardíaca: 68bpm; pressão arterial: 168x96mmHg no membro
superior direito e 166x92mmHg no membro superior esquerdo.
Murmúrio universalmente audível sem ruídos adventícios; Ritmo
cardíaco regular, 3 tempos (B4), bulhas normofonéticas, sem
sopros ou turgência jugular. Abdome flácido, indolor, sem
visceromegalias ou sopros. Membros inferiores sem edema.
Laboratório em jejum: glicemia 98mg/dL; creatinina 1,0mg/dL;
Na+ 140mEq/L; K+ 3,0mEq/L, aldosterona 26ng/dL, atividade de
renina plasmática 0,8ng/mL/h. Eletrocardiograma: Bradicardia
sinusal e sinais de sobrecarga ventricular esquerda. Tomografia
de abdome sem alterações
Provas
Questão presente nas seguintes provas
Cadernos
Caderno Container