Magna Concursos

Foram encontradas 2.179 questões.

3784967 Ano: 2024
Disciplina: Medicina
Banca: FGV
Orgão: ENARE
Uma mulher de 20 anos se queixa de edema generalizado iniciado há 3 semanas, que evoluiu com piora progressiva. Relata hiporexia e astenia nesse período. Desconhece ser portadora de doenças atuais ou prévias e não faz uso de quaisquer medicamentos ou drogas. Ao exame físico, PA: 160 x 90 mmHg, FC: 97 bpm, FR: 22 ipm, SpO2 98% (em ar ambiente). As mucosas estão hipocoradas, ictéricas e hidratadas. Há edema na face, pálpebras, parede abdominal e membros inferiores. Há também ascite e síndrome de derrame pleural. Exames de laboratório: sangue: Hb: 7,0 g/dL; Hct: 24%; VCM: 98 fL; HCM: 31 pg; CHCM: 32 g/dL; RDW: 18, 3%; leucócitos: 3.400/mm³; neutrófilos segmentados: 1.500/mm³; linfócitos: 700/mm³; Plq.: 201.000/mm³; PCR: 28m g/dL; FAN reagente: 1:320 padrão nuclear homogêneo; anti-DNA reagente; anti-SSA reagente; anti-SSB reagente; anti-Sm reagente; ANCA não reagente; C3: 43 mg/dL (90- 170 mg/dL); C4: 10 mg/dL (VR: 12-36 mg/dL); exame de urina: densidade 1.020; pH 6,0; nitrito negativo; proteínas ++++; hemoglobina ++; 4 piócitos/campo, 145 hemácias/campo; presença de cilindros hemáticos. Para investigação da anemia apresentada pela paciente, são solicitados os seguintes exames: LDL: 1150 UI/L (VR: 120-246 UI/L); BT: 4,2 mg/dL; BD: 0,4 mg/dL; reticulócitos: 18%, Coombs direto positivo; ferro sérico: 52 mcg/dL (VR: 65-175 mcg/dL); ferritina 650 ng/mL (VR: 10-291 ng/mL); capacidade total de ligação do ferro: 200 mcg/dL (250-425 mcg/dL).
A conduta imediata mais adequada para o tratamento da anemia é:
 

Provas

Questão presente nas seguintes provas
3784966 Ano: 2024
Disciplina: Medicina
Banca: FGV
Orgão: ENARE
Uma paciente de 49 anos foi internada na enfermaria de clínica médica por quadro de síndrome consumptiva, ascite e fraqueza em membros inferiores. A paciente conta que tudo começou 1 ano antes com dormência nas pernas ascendendo até o meio da perna e posterior redução de força em membros inferiores. Naquela época, houve turvação visual e cefaleia. Com aproximadamente 4 meses de sintomas, sem limitação para trabalhar e realizar as tarefas da vida diária, a cefaleia e a turvação visual ficaram mais proeminentes. Segundo a paciente, foram realizados diversos exames (ressonância de crânio, coluna cervical e lombar), sem evidência de alterações. A pressão do liquor estava alta, motivando o uso de acetazolamida por 8 meses (até a internação). No dia da internação, pôde-se observar hepatoesplenomegalia, ascite de grande volume, déficit sensitivo-motor distal em membros inferiores com hiporreflexia, fenômeno de Raynaud, cistos em tireoide (ultrassom confirmando e uso prévio de levotiroxina) e lesões cutâneas hipercrômicas. Outros exames demonstraram lesões osteoescleróticas em esterno, derrame pleural e pericárdico e padrão de polirradiculoneuropatia desmielinizante crônica.
A conduta adequada para o quadro é:
 

Provas

Questão presente nas seguintes provas
3784965 Ano: 2024
Disciplina: Medicina
Banca: FGV
Orgão: ENARE
Um rapaz de 18 anos foi atendido no ambulatório de clínica médica para acompanhamento de lúpus eritematoso sistêmico com nefrite e cardite. Estava em bom estado geral após 3 pulsoterapias com corticoide e ciclofosfamida, mas deveria fazer nova dose de corticoide sistêmico naquele mês. No entanto, apresentava lesões hiperemiadas com vesículas e algumas pústulas em dermátomos oftálmico e maxilar da hemiface direita. A impressão do médico foi de herpes-zóster.
A conduta adequada para esse caso é:
 

Provas

Questão presente nas seguintes provas
3784964 Ano: 2024
Disciplina: Medicina
Banca: FGV
Orgão: ENARE
Durante o atendimento ambulatorial, José, de 68 anos, queixouse de dor toracolombar de intensidade moderada, constante, iniciada há 3 semanas. Foi associada a dormência nas duas pernas, havendo piora da dor quando ele ficava muito tempo em pé e melhora quando se sentava ou se deitava. O paciente já estava em tratamento para diabetes mellitus há 10 anos, com elevação recente da dose de metformina para 2 g/dia. Segundo ele, a glicemia estava bem controlada, mas o tabagismo e o alcoolismo persistiam (75 maços x ano e 40 g de álcool por dia). Na anamnese dirigida, revelou-se constipação de início recente, sem mudança do volume ou consistência das fezes. Não houve qualquer outra queixa ou sintoma relatado. No exame físico, notam-se dor à palpação da musculatura paravertebral bilateralmente, bem como dor em queimação agravada em flexão de quadril e coxa. Sinais de Lasègue e Kernig positivos bilateralmente. O restante do exame físico não mostrou alterações.
Considerando o quadro exposto, é correto afirmar que:
 

Provas

Questão presente nas seguintes provas
3784963 Ano: 2024
Disciplina: Medicina
Banca: FGV
Orgão: ENARE
Após o início de tratamento antirretroviral (TARV) há 1 mês, um paciente com síndrome consumptiva, candidíase e diarreia crônica foi internado por outras manifestações. O grupo de residentes da clínica médica percebeu, durante os primeiros três dias de internação, febre vespertina, linfadenomegalias cervicais e axilares com fistulização e constipação intestinal com cólicas abdominais. Os exames demonstraram anemia e VHS e PCR elevados, bem como imagens reticulonodulares difusas e bilaterais em ambos os hemitóraces. As tomografias reforçaram os infiltrados reticulonodulares com linfadenomegalias mediastinais com centro necrótico, além de linfadenomegalias mesentéricas com espessamento de íleo distal. O paciente piorou clinicamente, apresentando-se prostrado e com hipoxemia no 4º dia de internação. A contagem de linfócitos CD4 no início do tratamento era de 45 células/mm³ e a PPD (prova tuberculínica anérgica) era 0 mm.
Diante do exposto, a conduta mais adequada é:
 

Provas

Questão presente nas seguintes provas
3784962 Ano: 2024
Disciplina: Medicina
Banca: FGV
Orgão: ENARE
Uma paciente de 60 anos foi internada para investigação de anemia associada a déficit cognitivo. O médico percebeu lentidão de raciocínio e redução da capacidade executiva. A paciente estava atenta e cooperando com o examinador quando se queixou de parestesias (dormência e queimação) simétricas em ambos os membros inferiores. Em relação à anemia, havia macrocitose e reticulocitopenia. O nível de vitamina B12 sérica foi 125 pg/mL (normal: acima de 200 pg/mL). Diante desse quadro clínico, além da investigação da causa da anemia, deve-se proceder à reposição:
 

Provas

Questão presente nas seguintes provas
3787140 Ano: 2024
Disciplina: Medicina
Banca: FGV
Orgão: ENARE
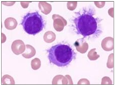
Um homem de 50 anos de idade é internado para investigação de um quadro de astenia intensa, anemia normocítica e normocrômica, trombocitopenia e volumosa esplenomegalia. O esfregaço do sangue periférico mostra linfócitos B com prolongamentos citoplasmáticos (abaixo). 
Enunciado 4578935-1
A hipótese diagnóstica mais provável é:
Questão Anulada

Provas

Questão presente nas seguintes provas
3787139 Ano: 2024
Disciplina: Medicina
Banca: FGV
Orgão: ENARE

Uma mulher de 28 anos, gestante de 30 semanas (G3P2A0), com histórico de asma desde a infância e rinite alérgica, fazia uso de beclometasona HFA spray 200mcg, 1 jato de 12/12h. Parou o uso quando descobriu a gestação. Realizou a mesma conduta nas duas gestações anteriores, sem maiores consequências e sem crise de asma. Nega tabagismo e etilismo. Nega HAS, DM e alergia medicamentosa. Frequenta regularmente as consultas de pré-natal. Sorologias para HIV, hepatites e sífilis são não reagentes. No momento, relata dispneia com tosse e chiado no peito 5 vezes por semana, após contato com poeira e mofo no guarda-roupa. Nega febre e despertares noturnos.

Além das medidas de controle ambiental, a paciente acima deve ser orientada a realizar o seguinte tratamento:

Questão Anulada

Provas

Questão presente nas seguintes provas
3787138 Ano: 2024
Disciplina: Medicina
Banca: FGV
Orgão: ENARE
Dentre todos os tipos de hematomas intraparenquimatosos espontâneos, os hematomas cerebelares são os mais adequados para drenagem cirúrgica.
O volume (em ml) de hematoma cerebelar que requer drenagem imediata é:
Questão Anulada

Provas

Questão presente nas seguintes provas
3787137 Ano: 2024
Disciplina: Medicina
Banca: FGV
Orgão: ENARE
O papel da craniotomia descompressiva no contexto do traumatismo cranioencefálico grave permanece controverso. Para redução da mortalidade e para melhora do prognóstico neurológico, é recomendada craniotomia descompressiva:
Questão Anulada

Provas

Questão presente nas seguintes provas