Foram encontradas 60 questões.
Assinale a alternativa que apresenta qual dos seguintes tumores cerebrais pediátricos é caracterizado como um tumor benigno, de crescimento lento, geralmente localizado na fossa posterior e frequentemente associado à doença de von Hippel-Lindau.
Provas
Em relação aos achados radiológicos, assinale a alternativa que apresenta qual das seguintes opções diferencia de forma mais característica um acidente vascular cerebral (AVC) hemorrágico devido à hipertensão arterial sistêmica da angiopatia amiloide.
Provas
Em relação aos achados de neurorradiologia do AVC isquêmico na tomografia computadorizada (TC) de crânio e a utilização da escala ASPECTS (Alberta Stroke Program Early CT Score), assinale a alternativa correta.
Provas
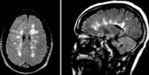
Assinale a alternativa que descreve corretamente o sinal radiológico abaixo e o possível diagnóstico a ele associado.

Provas
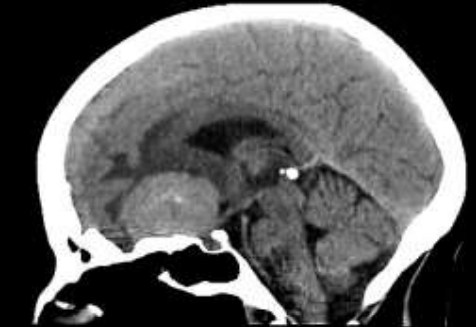
Na imagem abaixo é possível identificar uma lesão expansiva intracraniana sendo a causa provável um meningioma.

Assinale a alternativa correta acerca da classificação topográfica desta lesão.
Provas
Sobre as alterações radiológicas da coluna vertebral nos pacientes com artrite reumatóide, assinale a alternativa incorreta.
Provas
Sobre as hérnias de disco lombares, a compressão causada por um mesmo disco vertebral pode resultar apresentações clínicas diferentes, como sintomatologia condizente com a raiz emergente no mesmo nível ou no nível abaixo. Assinale a alternativa que apresenta a explicação anatômica para este fato.
Provas
Assinale a alternativa que melhor explica a razão anatômica de as hérnias de disco vertebrais serem mais frequentemente laterais do que centrais. a) Isso ocorre devid
Provas
Sobre os aspectos radiológicos da doença de Pott (tuberculose espinhal), assinale a alternativa correta.
Provas
Sobre os aspectos radiológicos do meduloblastoma em exames de imagem, assinale a alternativa correta.
Provas
Caderno Container