Foram encontradas 60 questões.
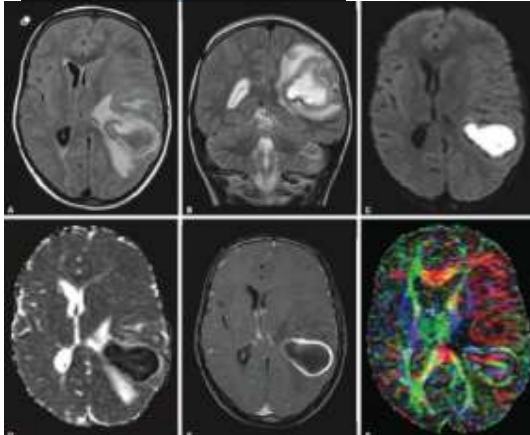
Paciente do sexo feminino, 30 anos, sem comorbidades, imunocompetente, apresentando histórico de cefaleia progressiva e hemiparesia direita. Encaminhada pelo médico assistente para realização de exame de imagem, que segue abaixo.

Baseado na imagem acima, assinale a alternativa correta.
Provas
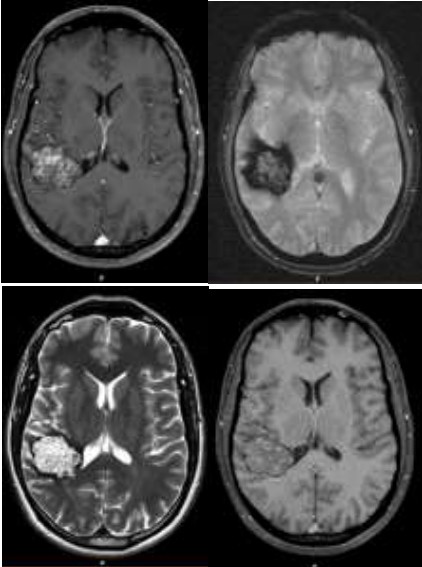
Paciente do sexo masculino, 40 anos, tabagista, apresentando episódio único de crise convulsiva tônico-clônica generalizada. Sem antecedentes de doença neurológica familiar. Encaminhado pelo neurologista assistente para investigação complementar com exames de imagem, que demonstrou os achados abaixo.

Baseado na história clínica e exames de imagem, assinale a alternativa correta.
Provas
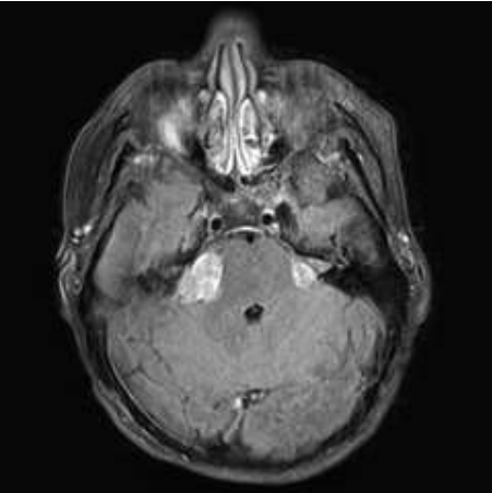
Paciente de 25 anos, sexo masculino, com histórico de perda auditiva e alterações do equilíbrio há 3 meses. A avaliação com ressonância magnética demonstrou a seguinte imagem:

Assinale a alternativa correta
Provas
Acerca das disposições sobre jornada de trabalho no Regulamento de Pessoal da Empresa Brasileira de Serviços Hospitalares (EBSERH), assinale a alternativa correta.
Provas
De acordo com as disposições do Estatuto Social da Empresa Brasileira de Serviços Hospitalares (EBSERH) sobre a Assembleia Geral, analise as afirmativas abaixo e dê valores Verdadeiro (V) ou Falso (F).
( ) Assembleia Geral realizar-se-á ordinariamente, uma vez por ano, nos 4 (quatro) primeiros meses seguintes ao encerramento de cada exercício social, para deliberação das matérias previstas em lei e extraordinariamente, sempre que os interesses sociais, a legislação ou as disposições deste Estatuto Social exigirem.
( ) Fica assegurada a participação do Presidente da Ebserh nas reuniões da Assembleia Geral como convidado, sempre com direito a voto.
( ) As pautas das Assembleias Gerais serão constituídas, exclusivamente, dos assuntos constantes dos editais de convocação, não se admitindo a inclusão de assuntos gerais.
Assinale a alternativa que apresenta a sequência correta de cima para baixo.
Provas
Leia abaixo o artigo 3º do Código de Ética e Conduta da Empresa Brasileira de Serviços Hospitalares (EBSERH):
Art. 3º A Ebserh observará os princípios constantes no art. 37 da Constituição Federal, zelando pela predominância da probidade administrativa, da integridade, da dignidade da pessoa humana, da urbanidade, da , da , da , do repúdio ao preconceito e ao assédio, do respeito à diversidade, da responsabilidade social e do desenvolvimento sustentável, do interesse público, do sigilo profissional, e dos demais princípios norteadores já consagrados da Administração Pública Federal.
Código de Ética e Conduta da Empresa Brasileira de Serviços Hospitalares (EBSERH). Comissão de Ética – Brasília: Ebserh – Empresa Brasileira de Serviços Hospitalares, 2020.
Assinale a alternativa que preencha correta e respectivamente as lacunas.
Provas
De acordo com o Código de Ética e Conduta Empresa Brasileira de Serviços Hospitalares (EBSERH) e os compromissos de conduta, assinale a alternativa incorreta.
Provas
Sobre o Regimento Interno da Administração Central da Empresa Brasileira de Serviços Hospitalares (EBSERH), analise as afirmativas abaixo.
I. Os Colegiados Internos com atuação no âmbito da Administração Central serão instituídos por meio de portaria emitida pela autoridade competente.
II. A portaria de instituição dos colegiados internos deverá conter os objetivos e competências do colegiado, sendo dispensada a previsão do coordenador do colegiado interno.
III. A participação nos colegiados internos não será remunerada.
Assinale a alternativa correta.
Provas
De acordo com o Regimento Interno da Administração Central da Empresa Brasileira de Serviços Hospitalares (EBSERH), assinale a alternativa que apresenta corretamente uma unidade interna de governança da EBSERH:
Provas
De acordo com a Lei nº 12.550/2011, analise as afirmativas abaixo e dê valores Verdadeiro (V) ou Falso (F).
( ) A EBSERH, respeitado o princípio da autonomia universitária, poderá prestar os serviços relacionados às suas competências mediante contrato com as instituições federais de ensino ou instituições congêneres.
( ) A EBSERH será administrada por um Conselho de Administração, com funções deliberativas, e por uma Diretoria Executiva e contará ainda com um Conselho Fiscal e um Conselho Consultivo.
( ) A atuação de membros da sociedade civil no Conselho Consultivo não será remunerada e será considerada como função relevante.
Assinale a alternativa que apresenta a sequência correta de cima para baixo.
Provas
Caderno Container