Foram encontradas 708 questões.
No caso de uma endoscopia com sangramento ativo gástrico Forrest IA, a conduta é
Provas
Paciente idosa de 84 anos, portadora de insuficiência cardíaca congestiva grau IV e em uso de AAS, foi admitida na sala de emergência com hematêmese e melena há mais de 24 horas. Apresenta-se obnubilada, escala de Coma Glasgow 7, PA= 70/40 mmHg, FC=110 bpm. A primeira conduta para essa paciente, antes da endoscopia, é
Provas
Paciente cirrótico, 45 anos, é admitido na sala de emergência com hematêmese. PA 95/65 mmHg, FC=98 bpm, eupneico, consciente. Exames admissionais com Hb= 8,2 g/dL, endoscopia digestiva alta apresentando varizes esofágicas de grosso calibre, com red spots não sangrantes. A conduta a ser tomada antes da endoscopia é
Provas
No tratamento da doença de Crohn fistulizante em que não se obteve resposta satisfatória com infliximabe,
Provas
No tratamento da doença ativa de Crohn,
Provas
Em relação a pacientes em uso de aspirina preventiva para doenças coronarianas, segundo quarto consenso brasileiro de infecção pelo H.pylori, é correto afirmar que
Provas
Em relação ao tratamento e pesquisa do Helicobacter pylori, segundo o quarto consenso brasileiro de infecção pelo H.pylori, é correto afirmar que
Provas
Um paciente de 4 anos de idade, em pósoperatório recente de transplante cardíaco por miocardiopatia dilatada, dá entrada no pronto-socorro por quadro de síncope. Previamente assintomático. Faz uso de tacrolimus, captopril, furosemida e prednisona. Permanece em observação, monitorado e, durante a noite, apresenta episódios transitórios de taquicardia ventricular. Qual é a possível causa da arritmia nesse paciente?
Provas
Sobre a patologia ilustrada a seguir, é corretor afirmar que

Provas
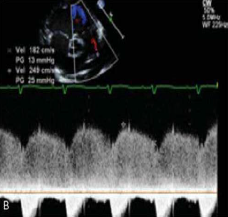
Ao realizar o ecocardiograma de um paciente de 8 meses de vida, evidencia-se apenas canal arterial pérvio conforme ilustrado na seguinte figura. Os sintais vitais do paciente são FC 110bpm PA 85x40 FR 48irpm. Qual é a estimativa da pressão da artéria pulmonar?

Provas
Caderno Container