Magna Concursos

Foram encontradas 708 questões.

3754502 Ano: 2021
Disciplina: Medicina
Banca: AOCP
Orgão: ENARE

Paciente masculino de 40 anos, assintomático, em exame de rotina, traz exame anterior com diagnóstico de rins em “ferradura”. Nesse caso, o que você espera encontrar?

 

Provas

Questão presente nas seguintes provas
3754501 Ano: 2021
Disciplina: Medicina
Banca: AOCP
Orgão: ENARE

A pediatra de plantão faz contato com um radiologista para discutir o caso de um lactente de 16 meses, apresentando choro e flexão dos membros inferiores em direção ao abdome e fezes na fralda com aspecto de “geleia de framboesa”. O radiologista prontamente atende, certo de que

 

Provas

Questão presente nas seguintes provas
3754500 Ano: 2021
Disciplina: Medicina
Banca: AOCP
Orgão: ENARE

Uma mãe leva ao pronto atendimento um lactente do sexo masculino, 3 meses de idade, primogênito, relatando irritabilidade, vômitos não biliosos e aumento do volume (distensão) do abdome superior. A pediatra faz contato com o radiologista para solicitar seu parecer e a indicação dos exames de imagem e acrescenta que palpa uma “massa” no quadrante superior direito do abdome. Nesse caso, o radiologista responsável

 

Provas

Questão presente nas seguintes provas
3754499 Ano: 2021
Disciplina: Medicina
Banca: AOCP
Orgão: ENARE

O fechamento precoce das suturas cranianas é conhecido como cranioestenose, a qual pode acontecer em suturas únicas ou múltiplas. Sabendo disso, relacione a sutura à deformidade encontrada se seu fechamento for precoce e assinale a alternativa com a sequência correta.

1. Sutura sagital.

2. Sutura metópica.

3. Sutura coronal (unilateral).

4. Suturas coronais.

5. Sutura Lambdoide.

A. Braquicefalia.

B. Plagiocefalia anterior.

C. Plagiocefalia posterior.

D. Trigonocefalia.

E. Escafocefalia.

 

Provas

Questão presente nas seguintes provas
3754498 Ano: 2021
Disciplina: Medicina
Banca: AOCP
Orgão: ENARE

Na avaliação por imagem do acidente vascular encefálico, é imprescindível o conhecimento da anatomia vascular arterial do encéfalo. Sobre esse assunto, é correto afirmar que

 

Provas

Questão presente nas seguintes provas
3754497 Ano: 2021
Disciplina: Medicina
Banca: AOCP
Orgão: ENARE

A ressonância magnética é o exame de escolha para a avaliação das alterações da esclerose múltipla no sistema nervoso central. Acerca do tema, assinale a alternativa correta.

 

Provas

Questão presente nas seguintes provas
3754496 Ano: 2021
Disciplina: Medicina
Banca: AOCP
Orgão: ENARE

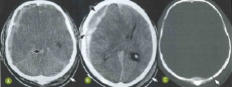
Paciente de 26 anos foi vítima de acidente automobilístico com traumatismo cranioencefálico. Nas imagens tomográficas a seguir, pode-se observar

Enunciado 4535183-1

 

Provas

Questão presente nas seguintes provas
3754495 Ano: 2021
Disciplina: Medicina
Banca: AOCP
Orgão: ENARE

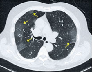
Paciente de 72 anos apresenta anosmia, febre e tosse há 3 dias. A principal hipótese diagnóstica é Covid-19. Quais achados na imagem tomográfica a seguir corroboram para esse diagnóstico?

Enunciado 4535182-1

 

Provas

Questão presente nas seguintes provas
3754494 Ano: 2021
Disciplina: Medicina
Banca: AOCP
Orgão: ENARE

Assinale a alternativa que NÃO apresenta um possível achado do TEP crônico na tomografia.

 

Provas

Questão presente nas seguintes provas
3754493 Ano: 2021
Disciplina: Medicina
Banca: AOCP
Orgão: ENARE

O Tromboembolismo Pulmonar (TEP), na sua fase aguda, é muito bem avaliado na tomografia de tórax com contraste. O RX apresenta baixas especificidade e sensibilidade, mas, quando realizado, pode apresentar qual dos seguintes achados?

 

Provas

Questão presente nas seguintes provas