Foram encontradas 50 questões.
Uma mulher de 55 anos de idade apresenta taquicardia,
hipertensão, perda de peso e intolerância ao calor. Ao
exame físico da tireoide foi visto um nódulo tireoidiano
palpável. O TSH está suprimido, o T4 livre está elevado
e o TRAb (anticorpo do receptor de TSH) é negativo. A
cintilografia da tireoide mostra uma única área de captação
aumentada, com supressão do restante da glândula.
Com base nesse caso clínico hipotético, assinale a opção que contempla a principal hipótese diagnóstica.
Com base nesse caso clínico hipotético, assinale a opção que contempla a principal hipótese diagnóstica.
Provas
Questão presente nas seguintes provas
Uma mulher de 28 anos apresenta confusão de início agudo,
febre e uma crise convulsiva tônico-clônica generalizada. Ela
tem histórico de erupção cutânea fotossensível e artralgias.
Os exames laboratoriais revelam linfopenia, creatinina
elevada, fan positivo e anticorpos anti-DNA positivos. A
ressonância magnética mostra lesões hiperintensas nos
lobos temporais. A análise do LCR evidencia pleocitose
linfocitária discreta, proteína levemente aumentada e
glicose normal.
Com base nesse caso clínico hipotético, assinale a opção que contempla a principal hipótese diagnóstica.
Com base nesse caso clínico hipotético, assinale a opção que contempla a principal hipótese diagnóstica.
Provas
Questão presente nas seguintes provas
Uma paciente de 54 anos de idade, apresentava
antecedente pessoal de nefrolitíase, e encontrava-se
em tratamento conservador. Deu entrada com febre
de 38,5 graus celsius, disúria, piúria, dor lombar a
esquerda, náusea e vômitos. Urina 1 com nitrito positivo e
leucocitúria importante. Aguarda resultado de urocultura
e hemoculturas. Após 48 horas de ceftriaxone endovenoso
mantém sintomas e picos febris.
Com base nesse caso clínico hipotético, assinale a opção que contempla a conduta mais adequada.
Com base nesse caso clínico hipotético, assinale a opção que contempla a conduta mais adequada.
Provas
Questão presente nas seguintes provas
Um paciente com dor crônica compareceu ao ambulatório
de clínica médica. Ele fazia uso crônico de metadona oral
e descreveu a sua dor atualmente como suportável. O
homem apresentou o resultado de ECG a seguir.
Com base nesse caso clínico hipotético, assinale a opção que apresenta a conduta adequada.
Com base nesse caso clínico hipotético, assinale a opção que apresenta a conduta adequada.
Provas
Questão presente nas seguintes provas
Uma mulher de 72 anos de idade com cirrose
descompensada, ascite refratária e má performance e
status funcional não é candidata a transplante nem a TIPS.
Ela solicita alívio dos sintomas em casa.
Com base nesse caso clínico hipotético, assinale a opção que contempla a opção mais apropriada para manejo paliativo do caso
Com base nesse caso clínico hipotético, assinale a opção que contempla a opção mais apropriada para manejo paliativo do caso
Provas
Questão presente nas seguintes provas
Mulher der 55 anos de idade, empresária (dona de
hotel para gatos) e com antecedente de estenose mitral
reumática grave com necessidade para troca por valva
protética. A paciente vem apresentando na última semana
um quadro de febre e mal estar. Foi a outro serviço com
realização de exames e hemoculturas negativas. Não fez
uso de medicamentos além de sintomáticos e foi orientada
a observar evolução. Paciente manteve febre e então
optaram por realizar ecocardiograma transtorácico com
pequena vegetação mitral, hemoculturas persistentemente
negativas.
Com base nesse caso clínico hipotético, assinale a opção que contempla o exame diagnóstico mais provável em identificar o microorganismo causador.
Com base nesse caso clínico hipotético, assinale a opção que contempla o exame diagnóstico mais provável em identificar o microorganismo causador.
Provas
Questão presente nas seguintes provas
Uma mulher obesa de 55 anos de idade, tabagista 15
anos maço e diabética apresenta dispneia aos esforços. A
espirometria mostra: VEF₁ = 70% do previsto, CVF = 68% do
previsto, VEF₁/CVF = 0,82.
Com base nesse caso clínico hipotético, assinale a opção que contempla o padrão ventilatório mais provável.
Com base nesse caso clínico hipotético, assinale a opção que contempla o padrão ventilatório mais provável.
Provas
Questão presente nas seguintes provas
Caso clínico hipotético para a questão.
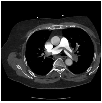
Um homem de 62 anos de idade, com câncer de pâncreas
metastático, apresentou-se com dispneia, dor torácica
ventilatório dependente e palpitações. Na admissão,
detectou-se que o paciente era hipotenso, taquicardíaco e
que estava com queda de saturação. Exames apontaram: PA
83x62 mmHg; FC de 128 bpm; ECG em ritmo de fibrilação
atrial; pocus com sinal de McConnell; e veia cava túrgida. A
angio TC de tórax está disposta na imagem a seguir.

Provas
Questão presente nas seguintes provas
Caso clínico hipotético para a questão.
Um homem de 62 anos de idade, com câncer de pâncreas
metastático, apresentou-se com dispneia, dor torácica
ventilatório dependente e palpitações. Na admissão,
detectou-se que o paciente era hipotenso, taquicardíaco e
que estava com queda de saturação. Exames apontaram: PA
83x62 mmHg; FC de 128 bpm; ECG em ritmo de fibrilação
atrial; pocus com sinal de McConnell; e veia cava túrgida. A
angio TC de tórax está disposta na imagem a seguir.

Provas
Questão presente nas seguintes provas
Mulher de 65 anos de idade com diabetes tipo 2,
hipertensão arterial sistêmica e insuficiência cardíaca está
em uso de metformina. Sua HbA1C está em 8,1 %.
Com base nesse caso clínico hipotético, assinale a opção que contempla a medicação preferível para reduzir o risco cardiovascular.
Com base nesse caso clínico hipotético, assinale a opção que contempla a medicação preferível para reduzir o risco cardiovascular.
Provas
Questão presente nas seguintes provas
Cadernos
Caderno Container