Foram encontradas 780 questões.

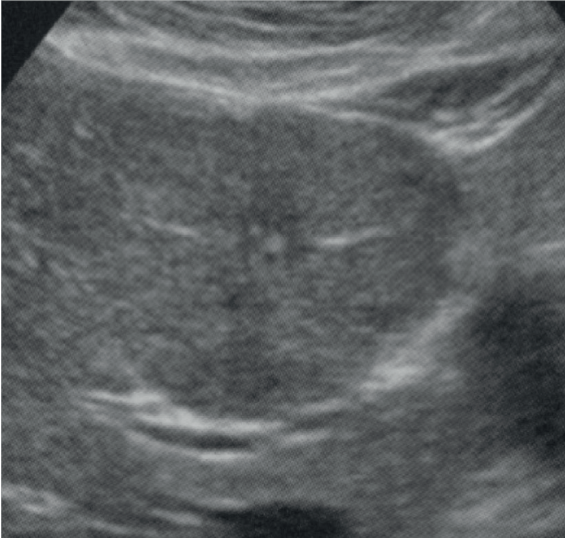
A respeito da imagem acima e tendo em visto as características de intussuscepção intestinal, assinale a alternativa incorreta.
Provas

Considerando a imagem acima e as características de hiperplasia nodular focal, é incorreto afirmar que
Provas
Em relação às estruturas comprometidas pela endometriose profunda, assinale a alternativa que apresenta o local mais frequentemente acometido.
Provas
A estimativa da idade gestacional é um dos principais objetivos da ultrassonografia obstétrica. Em relação à datação da idade gestacional no primeiro trimestre de gestação, assinale a alternativa correta.
Provas
A presença de linfonodos aumentados e sem hilo gorduroso nas regiões axilares bilaterais, com mama correspondente lipossubstituída, apresentando cistos oleosos, e sem doença de base conhecida, corresponde a
Provas

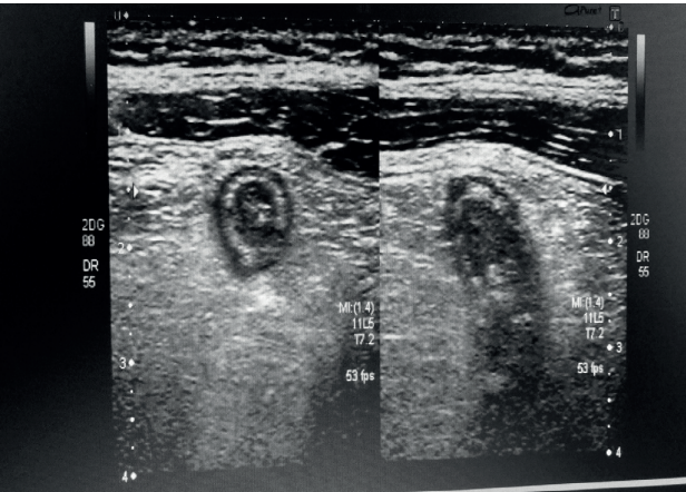
Com base na imagem acima, assinale a alternativa que apresenta achado ultrassonográfico compatível com apendicite aguda.
Provas
Quanto à classificação ultrassonográfica BI-RADS® 6, assinale a alternativa correta.
Provas
Acerca das patologias da glândula tireoide, é correto afirmar que
Provas
Assinale a alternativa que apresenta a qual anomalia congênita a ureterocele ectópica está mais associada.
Provas
Assinale a alternativa correta quanto ao edema pulmonar não cardiogênico.
Provas
Caderno Container