Foram encontradas 300 questões.
O tipo de articulação encontrada entre as extremidades
distais da fíbula e da tíbia é a
Provas
Questão presente nas seguintes provas
Micotoxinas são metabólitos tóxicos produzidos por fungos microscópicos, cuja ingestão, o contato ou a inalação
pode ocasionar doenças ou, eventualmente, a morte.
Assinale a alternativa que apresenta corretamente os principais gêneros de fungos produtores de micotoxinas.
Assinale a alternativa que apresenta corretamente os principais gêneros de fungos produtores de micotoxinas.
Provas
Questão presente nas seguintes provas
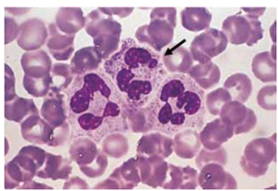
Analise a imagem a seguir.

(Junqueira & Carneiro, Histologia básica)
As células apontadas pela seta são
Provas
Questão presente nas seguintes provas
Hematopoese é o processo contínuo e regulado de produção de células sanguíneas, que envolve renovação,
proliferação, diferenciação e maturação celular. As células do sangue têm vida curta e são constantemente renovadas pela proliferação mitótica de células localizadas
nos órgãos hematopoéticos.
Assinale a alternativa que corretamente identifica a célula precursora das plaquetas.
Assinale a alternativa que corretamente identifica a célula precursora das plaquetas.
Provas
Questão presente nas seguintes provas
As microvilosidades encontradas no intestino delgado
são
Provas
Questão presente nas seguintes provas
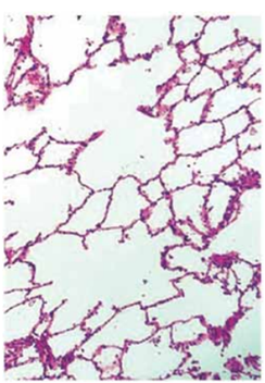
Analise a imagem a seguir.

(Junqueira & Carneiro, Histologia básica)
Assinale a alternativa que corretamente identifica o tecido visualizado.
Provas
Questão presente nas seguintes provas
O centrossomo é o principal centro organizador de
microtúbulos em células animais. Ele consiste em um
par de centríolos circundado por uma matriz proteica,
que inclui centenas de estruturas em forma de anel que
atuam como sítios de nucleação ou ponto de partida
para o crescimento de um microtúbulo.
Esses sítios de nucleação são constituídos de
Esses sítios de nucleação são constituídos de
Provas
Questão presente nas seguintes provas
A beta-oxidação de ácidos graxos de cadeia curta ocorre
principalmente
Provas
Questão presente nas seguintes provas
A primeira reação que inicia o ciclo de Krebs é catalisada
pela seguinte enzima:
Provas
Questão presente nas seguintes provas
A degradação das condições de vida da classe trabalhadora durante o processo histórico é visível. Sua moradia
consistia em vilas operárias desprovidas de infraestrutura
urbana, que irradiavam epidemias e doenças. Contudo, a
burguesia não se sensibilizava com essas situações, pois
tinha os olhos voltados para a
Provas
Questão presente nas seguintes provas
Cadernos
Caderno Container