Magna Concursos

Foram encontradas 512 questões.

2622964 Ano: 2023
Disciplina: Odontologia
Banca: OBJETIVA
Orgão: HMMG

Considerar as seguintes brocas utilizadas em procedimentos cirúrgicos básicos em implantodontia:

Enunciado 3586305-1

(1) Piloto

(2) Helicoidal de 2mm

(3) Esférica

(4) Helicoidal de 3mm

(5) Countersink

Em relação à sequência de brocas utilizadas para o preparo da osteotomia de implantes com diâmetro padrão (4mm), a broca escariadora, utilizada no final da sequência da perfuração óssea, para dar a forma do contorno da crista óssea para adaptação da mesa oclusal dos implantes, é a:

 

Provas

Questão presente nas seguintes provas
2622963 Ano: 2023
Disciplina: Odontologia
Banca: OBJETIVA
Orgão: HMMG
A respeito da implantodontia oral, marcar C para as afirmativas Certas, E para as Erradas e, após, assinalar a alternativa que apresenta a sequência CORRETA:
(_) Clinicamente, a osseointegração é uma fixação rígida assintomática de um material aloplástico (implante) no osso com a capacidade de resistir às forças oclusais.
(_) Inflamação moderada ou movimento acima de certo limite prejudica a formação de tecido cicatricial fibroso no osso e na superfície do implante, podendo levar à falha do implante.
(_) Uma vez alcançada a osseointegração, os implantes podem resistir e exercer função sob as forças oclusais por muitos anos.
 

Provas

Questão presente nas seguintes provas
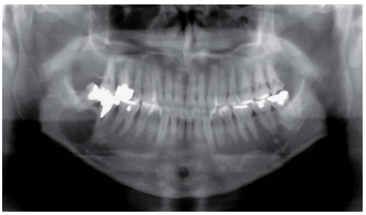
2622962 Ano: 2023
Disciplina: Odontologia
Banca: OBJETIVA
Orgão: HMMG
A radiografia panorâmica abaixo mostra uma radiolucência unilocular associada ao espaço periodontal do segundo molar inferior direito. Enunciado 3586303-1


O aspecto radiográfico da região mencionada é sugestivo de:
 

Provas

Questão presente nas seguintes provas
2622961 Ano: 2023
Disciplina: Odontologia
Banca: OBJETIVA
Orgão: HMMG
Considerando-se os fundamentos da cirurgia periodontal, o procedimento cirúrgico mais empregado no tratamento da bolsa periodontal é:
 

Provas

Questão presente nas seguintes provas
2622960 Ano: 2023
Disciplina: Odontologia
Banca: OBJETIVA
Orgão: HMMG
Configuram-se contraindicações a apicectomia:
I. Dente com obturação com cone de prata.
II. Dente com uma raiz inacessível secundária a estruturas anatômicas.
III. Dente com raiz curta.
IV. Dente com patologia periapical ativa, mas que possui terapia endodôntica adequada.


Estão CORRETOS:
 

Provas

Questão presente nas seguintes provas
2622959 Ano: 2023
Disciplina: Odontologia
Banca: OBJETIVA
Orgão: HMMG
As recomendações pós-operatórias para cirurgia oral e maxilofacial devem ser discutidas com todos os pacientes. Sobre o assunto, assinalar a alternativa CORRETA:
 

Provas

Questão presente nas seguintes provas
2622958 Ano: 2023
Disciplina: Odontologia
Banca: OBJETIVA
Orgão: HMMG
As exodontias simples são um dos pilares da cirurgia oral e maxilofacial. Para um controle ótimo do procedimento, o cirurgião e o paciente devem estar em uma posição de cadeira adequada, isso permite a visibilidade, a iluminação e o acesso ideal. Sobre o assunto, marcar C para as afirmativas Certas, E para as Erradas e, após, assinalar a alternativa que apresenta a sequência CORRETA:
(_) Para melhor visibilidade e acesso nas exodontias mandibulares, a mandíbula do paciente deve estar perpendicular ao chão e deve estar acima do nível do cotovelo do cirurgião.
(_) Para se trabalhar nos dentes superiores do paciente, o plano oclusal maxilar do paciente deve ser de 60 a 90 graus com o chão.
(_) Se o cirurgião for canhoto, ele deve trabalhar na posição de 7 a 11 horas. Se o cirurgião for destro, ele deve trabalhar na posição de 1 a 5 horas.
 

Provas

Questão presente nas seguintes provas
2622957 Ano: 2023
Disciplina: Odontologia
Banca: OBJETIVA
Orgão: HMMG
Acerca das cirurgias de enxerto em Odontologia, assinalar a alternativa que preenche ambas as lacunas abaixo CORRETAMENTE:
Enxertos ósseos são considerados o padrãoouro para enxertia devido à sua manutenção da viabilidade celular e capacidade osteogênica presuntiva. Enxertos ósseos contêm proteínas ósseas morfogenéticas (BMP; do inglês, bone morphogenic protein) que são capazes de induzir células osteogênicas nos tecidos circunvizinhos.
 

Provas

Questão presente nas seguintes provas
2622956 Ano: 2023
Disciplina: Odontologia
Banca: OBJETIVA
Orgão: HMMG
A reabsorção condilar é uma patologia mais prevalente em:
 

Provas

Questão presente nas seguintes provas
2622955 Ano: 2023
Disciplina: Odontologia
Banca: OBJETIVA
Orgão: HMMG
Acerca do tratamento de disfunções temporomandibulares, assinalar a alternativa que preenche a lacuna abaixo CORRETAMENTE:
Enunciado 3586296-1



A ilustração acima exibe a manobra clássica de , com base em pressão bimanual firme na superfície oclusal dos molares. Os polegares são utilizados para compressão e os demais dedos englobam a base da mandíbula. Para o êxito da manobra, o paciente deve estar sentado e sua cabeça deve estar apoiada.
 

Provas

Questão presente nas seguintes provas