Foram encontradas 50 questões.
Um paciente de vinte anos de idade deu entrada no pronto-socorro, com dor de início súbito há duas horas, em região escrotal esquerda, sem melhora com uso de dipirona. Nega traumatismos locais ou febre. Ao exame físico, apresentava dor à palpação do testículo esquerdo, um pouco mais elevado que o direito, sem sinais flogísticos locais e com reflexo cremastérico abolido.
Com base nesse caso hipotético, assinale a alternativa correta.
Provas
Um paciente de 72 anos de idade, em acompanhamento no ambulatório da hepatologia por esquistossomose, apresentou dois episódios de hematêmese franca. Após estabilização inicial, optou-se pela endoscopia digestiva alta, com tentativa de ligadura.
Com base nesse caso hipotético, é correto afirmar que a melhor conduta para o paciente será um(a)
Provas
Um paciente de trinta anos de idade foi levado ao pronto-socorro por amigos após ter um traumatismo craniano em uma disputa de cabeça em um jogo de futebol. No local, não houve nenhum episódio de vômito nem perda de consciência, mas, como o impacto foi de alta energia, seus colegas de time preferiram levá-lo para avaliação médica. Ao exame físico inicial, ganhava 15 pontos na escala de coma de Glasgow e estava completamente estável, reclamando somente de cefaleia. Foi solicitada uma tomografia computadorizada de crânio e, antes de realizar o exame, a enfermagem acionou a equipe médica, pois o paciente apresentou rebaixamento súbito do nível de consciência. Na nova avaliação, o paciente estava arresponsivo e com respiração ruidosa.
Com base nesse caso hipotético, assinale a alternativa que apresenta o próximo passo no atendimento do paciente.
Provas
Uma paciente de quarenta anos de idade, usuária de anticoncepcional oral e tabagista, chegou ao pronto-socorro com dor abdominal. Foi realizada uma angiotomografia, que evidenciou uma trombose da artéria mesentérica superior. Por apresentar sinais de peritonite, optou-se pelo tratamento operatório, com posterior anticoagulação. Durante a cirurgia, foi encontrada necrose extensa do intestino delgado, desde 50 cm do ângulo de Treitz até cerca de 20 cm da válvula ileocecal (não havia necrose no cólon).
Com base nesse caso hipotético, assinale a alternativa correta.
Provas
Uma paciente de 63 anos de idade, vítima de atropelamento por automóvel, foi levada ao pronto-socorro em prancha rígida e com colar cervical, GCS 15, eupneica, com FC de 120 bpm, PA de 100 x 60 mmHg, A e B sem alterações, dor na região suprapúbica, membro inferior direito com rotação interna, equimose inguinal e sinal de Destot positivo. Após estabilização com lençol e expansão volêmica, a paciente teve melhora transitória da taquicardia, sendo possível a realização da tomografia de crânio, tórax, abdômen e pelve, que descartaram focos de hemorragia nesses segmentos e evidenciaram uma lesão em compressão lateral à direita.
Com base nesse caso hipotético, assinale a alternativa que apresenta a conduta mais adequada nesse momento.
Provas
Um paciente de quarenta anos de idade, portador de encefalopatia crônica não evolutiva, foi levado ao pronto-socorro pelos genitores, pois estava vomitando e com fácies de dor há cerca de quatro dias. Ao exame físico, apresentava-se em regular estado geral, taquipneico, desidratado, corado, 100 bpm, com pulso fino e rápido, perfusão periférica de 3 segundos, abdome plano, flácido, com aparente dor à palpação superficial do epigastro e sem sinais de peritonite. Foi passada uma sonda nasogástrica com saída de cerca de 1.000 mL de líquido de estase. Após as medidas iniciais de hidratação e correção de distúrbios metabólicos, o paciente se mostrou estável, sendo encaminhado para a tomografia de abdome, cujo achado mais relevante foi uma hérnia hiatal de grandes proporções, sendo que o estômago se encontrava no mediastino. Optou-se pela realização de uma endoscopia, que determinou que a transição esofagogástrica estava situada a 15 cm do pinçamento diafragmático.
Com base nesse caso hipotético, assinale a alternativa que apresenta o provável diagnóstico do paciente.
Provas

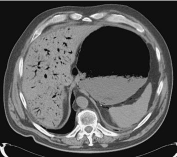
Assinale a alternativa que apresenta o achado da tomografia computadorizada acima.
Provas
Uma paciente de 65 anos de idade, com antecedente de hipertensão arterial sistêmica e angioplastia coronariana há dois anos (em uso de AAS), foi admitida no pronto-socorro com melena há doze horas, normal hemodinamicamente. Realizou endoscopia digestiva alta e colonoscopia, que não evidenciaram sangramento. A dosagem inicial de hemoglobina sérica era de 8 g/dL (normal: 12-18 g/dL) e o toque retal confirmava a presença de melena.
Com base nesse caso hipotético, assinale a alternativa que apresenta o próximo passo na investigação diagnóstica.
Provas
Um paciente de vinte anos de idade, sem comorbidades, foi levado ao pronto-socorro após queda de bicicleta. À admissão, apresentava-se com a via aérea pérvia, eupneico, com expansão torácica preservada bilateralmente, ausculta pulmonar normal, sem alterações hemodinâmicas e com 15 pontos na escala de coma de Glasgow. Foi submetido a uma tomografia computadorizada de abdome com contraste endovenoso, que evidenciou uma grande laceração esplênica, levando à desvascularização de cerca de 50% da víscera, sem extravasamento de contraste na fase arterial e com moderada quantidade de líquido livre na cavidade abdominal. O paciente continuava normal do ponto de vista hemodinâmico e não apresentava sinais de peritonite.
Com base nesse caso hipotético, assinale a alternativa que apresenta a melhor conduta.
Provas
Em relação à abordagem terapêutica de quadro de epistaxe nasal, assinale a alternativa correta.
Provas
Caderno Container