Foram encontradas 100 questões.
Entre pacientes com lesão traumática de menisco dos joelhos, o paciente ideal para a realização de uma sutura meniscal será um paciente jovem com lesão
Provas
Considere que os itens a seguir correspondam a manifestações clínicas na região perianal.
I condiloma acuminado
II papulose bowenoide
III tumor de Buschke-Lowestein
IV doença de Bowen
V neoplasia intraepitelial anal
Estão relacionadas à infecção pelo papilomavírus humano (HPV) as manifestações indicadas
Provas
Acerca da hérnia inguinocrural, assinale a alternativa correta.
Provas
Um homem de 52 anos de idade, com antecedentes de hiperplasia prostática benigna, procurou o pronto-atendimento com relato de dor abdominal e anuria havia um dia. Na admissão, verificou-se frequência cardíaca de 70 bpm, pressão arterial de 130 mmHg × 80 mmHg e saturação de O2 igual a 96%. O paciente apresentava-se em bom estado geral, consciente e orientado, hidratado, sem alterações cardiovasculares ou respiratórias. No exame abdominal, identificou-se dor e distensão em região hipogástrica.
Os exames laboratoriais estão listados abaixo.
|
parâmetro |
resultado |
referência |
|
pH |
7,41 |
7,35 – 7,45 |
|
bicarbonato |
26 mmol/L |
22 – 28 mmol/L |
|
potássio |
4,1 mEq/L |
3,5 – 5,3 mEq/L |
|
cálcio |
1,3 mmol/L |
1,1 – 1,4 mmol/L |
|
ureia |
180 mg/dL |
até 50 mg/dL |
|
creatinina |
2,1 mg/dL |
até 1,3 mg/dL |
|
fósforo |
3,8 mg/dL |
2,3 – 4,3 mg/dL |
|
paratormônio |
40 pg/mL |
10 – 65 pg/mL |
Assinale a alternativa que apresenta a conduta inicial mais adequada para o caso clínico acima.
Provas
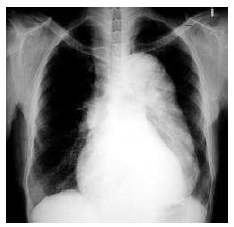
Um homem de 62 anos de idade, com antecedentes de hipertensão e diabetes, procurou o pronto-socorro com relato de dor torácica intensa, lancinante, irradiada para o dorso havia uma hora. No exame, o paciente apresentava fácies de dor, frequência cardíaca de 85 bpm e pressão arterial de 160 mmHg × 80 mmHg. Inicialmente, ele foi submetido a uma radiografia de tórax, cujo resultado está reproduzido a seguir.
Após o exame inicial, a principal hipótese diagnóstica foi confirmada pela angiotomografia.

Nesse caso clínico, a conduta medicamentosa essencial na sala de emergência deve ser composta de
Provas
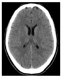
Um homem de quarenta anos de idade, em situação de rua, foi levado pelo SAMU ao hospital, devido a rebaixamento do nível de consciência em via pública. Na admissão, foram verificados sinais de desnutrição importante, hálito etílico e glicemia de 25 mg/dL. O paciente foi tratado exclusivamente com glicose endovenosa, evoluindo com melhora do nível de consciência e surgimento de confusão mental, nistagmo e ataxia.
Foi realizada uma tomografia de crânio, cujo resultado está representado abaixo.

Com relação ao caso clínico acima, assinale a alternativa que apresenta, respectivamente, o diagnóstico mais provável e o tratamento indicado ao paciente.
Provas
Um paciente de 28 anos de idade foi encaminhado para a sala de emergência com relato de desconforto respiratório. Na admissão, verificou-se pressão arterial de 70 mmHg × 40 mmHg, frequência cardíaca de 130 bpm, frequência respiratória de 20 ipm e saturação de O2 igual a 95% em ar ambiente. Foi realizada uma ultrassonografia à beira do leito.
Abaixo está representada a imagem do corte quatro câmaras.

A partir do caso clínico acima, assinale a alternativa que apresenta o quadro clínico mais provável do paciente.
Provas
Uma mulher de setenta anos de idade, acompanhada de seus familiares, foi admitida no pronto-socorro com quadro de dispneia. Durante a investigação inicial, foi realizada tomografia de tórax, que evidenciou uma imagem sugestiva de neoplasia pulmonar primária em estado avançado. A paciente estava consciente e orientada, de modo que a equipe realizou a comunicação de notícias difíceis conforme o protocolo SPIKES.
Acerca das etapas do referido protocolo no caso clínico acima, assinale a alternativa correta.
Provas
Uma paciente de 65 anos idade, com antecedentes de hipertensão e diabetes, deu entrada no pronto-socorro, e seus dados eram os seguintes: paciente sonolenta e taquidispneica; MEG; escala de coma Glasgow 7; FC de 120 bpm; frequência respiratória (FR) de 40 ipm; PA igual a 100 mmHg × 55 mmHg; BRNF 2T sem sopros; MV+ bilateral sem RA. Exame abdominal prejudicado pelo neurológico.
Foram colhidos exames, que revelaram o seguinte: pH = 7,32; pCO2 = 22 mmHg; bicarbonato = 12; pO2 = 100; saturação = 99%; creatinina = 1,5; ureia = 40 mg/dL (normal: até 40); ácido úrico = 10 (referência para mulheres: 2,4 – 5,7); HB = 10; leucócitos = 10.000; e plaquetas = 80.000.
Considere que a paciente tenha evoluído com necessidade de ventilação mecânica, sendo colocada no modo ventilatório, conforme apresentado na figura a seguir.

Nesse caso, a paciente está sendo ventilada no modo
Provas
Uma paciente de 65 anos idade, com antecedentes de hipertensão e diabetes, deu entrada no pronto-socorro, e seus dados eram os seguintes: paciente sonolenta e taquidispneica; MEG; escala de coma Glasgow 7; FC de 120 bpm; frequência respiratória (FR) de 40 ipm; PA igual a 100 mmHg × 55 mmHg; BRNF 2T sem sopros; MV+ bilateral sem RA. Exame abdominal prejudicado pelo neurológico.
Foram colhidos exames, que revelaram o seguinte: pH = 7,32; pCO2 = 22 mmHg; bicarbonato = 12; pO2 = 100; saturação = 99%; creatinina = 1,5; ureia = 40 mg/dL (normal: até 40); ácido úrico = 10 (referência para mulheres: 2,4 – 5,7); HB = 10; leucócitos = 10.000; e plaquetas = 80.000.
Considere que um familiar tenha relatado ao médico que a paciente já tinha recebido, havia dois anos, os diagnósticos relatados e estava bem compensada, fazendo uso das seguintes medicações: metformina 750 mg/dia; ácido acetilsalicílico (AAS) 200 mg; furosemida 40 mg; e losartana 40 mg/dia. Considerando as informações apresentadas, assinale a alternativa que apresenta a principal hipótese diagnóstica para essa paciente.
Provas
Caderno Container