Foram encontradas 800 questões.
Na figura a seguir, identifique a estrutura representada em B.

Provas
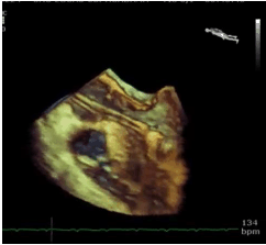
Em relação à figura a seguir, identifique a condição patológica evidenciada no fluxo aórtico na via de saída do VE.

Provas
Identifique o nome do dispositivo protético presente na foto abaixo.

Provas
O diagnóstico laboratorial de doenças infecciosas inicia-se com uma indicação clínica adequada do exame microbiológico. Assim, é fundamental o conhecimento da epidemiologia e fisiopatologia do processo infeccioso, além das etapas críticas de coleta e transporte das amostras para que o exame seja bem realizado.
Com relação a esse tema, leia as afirmativas a seguir e marque V para verdadeira ou F para falsa.
( ) A coleta da amostra deve ser feita, sempre que possível, antes da administração da antibioticoterapia; caso contrário, deve-se informar qual antibiótico foi utilizado.
( ) O método de coleta e o sistema de transporte que suporta a viabilidade do microorganismo de ser o agente etiológico responsável pela infecção, devem ser realizados por meio de um padrão único.
( ) Toda amostra, no caso de secreção, deve coletada preferencialmente através de swab com algodão normal, em solução salina a 0,89%.
As afirmativas são, respectivamente,
Provas
Avalie se a técnica de imunofenotipagem por citometria de fluxo pode ser utilizada para:
I. quantificação de linfócitos T auxiliadores (CD4+) nos pacientes com infeção pelo vírus da imunodeficiência humana (HIV).
II. quantificação das células-tronco hematopoiéticas (D34+) nas amostras para transplante de medula óssea.
III. Caracterização das células linfoides nas doenças linfoproliferativas crônicas (linfócitos B, T e NK).
Está correto o que se afirma em
Provas
Em relação à Biossegurança em laboratório clínico, analise as afirmativas a seguir.
I. O jaleco ou avental fornece uma barreira ou proteção e reduz a oportunidade de transmissão de micro-organismos e contaminação química e devem ser guardados no armário onde são guardados objetos pessoais do operador.
II. As cabines de segurança biológica (CSB), depende em primeiro lugar, do tipo de proteção que se pretende obter para o operador e da Classificação de risco dos agentes biológicos a ser manuseado, conforme Portaria do MS.
III. O transporte de amostras biológicas intra e Inter laboratorial, deve ser feitas em caixas apropriadas, com tampa identificadas com símbolo de risco biológico, nome, local, endereço e telefone da unidade solicitante e os documentos referente as amostras devem ser colocadas dentro das caixas isotérmicas.
IV. Os agentes de risco ergonômico podem produzir alterações no organismo e no estado emocional dos trabalhadores, comprometendo sua produtividade, saúde e segurança, como por exemplo, dores musculares, hipertensão arterial entre outras alterações.
Estão corretas as afirmativas
Provas
Com relação ao controle de qualidade da análise de Valores encontrados em exames laboratoriais, analise as afirmativas a seguir e assinale V para afirmativa verdadeira e F para a afirmativa falsa.
( ) Antes que um método seja realizado rotineiramente, é indispensável que os protocolos de avaliação deste método assegurem que o procedimento de medida satisfaça à critérios previamente definidos, como por exemplo a acurácia, a precisão, especificidade e a sensibilidade.
( ) A acurácia é a capacidade de um exame de apresentar o mesmo resultado quando repetido no mesmo paciente ou na mesma amostra.
( ) A sensibilidade é definida como a capacidade do exame de identificar corretamente as pessoas que tem a doença, e é calculada pela razão entre o número de pessoas que possuem um resultado e com a doença e dividido pelo número total de pessoas com a doença.
As afirmativas são respectivamente
Provas
Os procedimentos de validação do processo analítico empregado para garantia da qualidade das medições químicas de amostras laboratoriais são realizados por meio da sua comparabilidade, rastreabilidade e confiabilidade.
Avalie se, na validação de métodos bioanalíticos para o laboratório de análise clínicas, são necessários os seguintes métodos de validação:
I. Precisão, exatidão e linearidade.
II. Limite inferior de quantificação, de detecção e robustez.
III. Carry-over, instabilidade e análise de efeito matriz.
Está correto o que se afirma em
Provas
Paciente JCA, sexo masculino, 36 anos, chegou ao hospital com suspeita de meningite. Lá foi realizada a coleta de líquido cefalorraquidiano (LCR). A coleta foi enviada ao laboratório clinico, onde foram achados os seguintes resultados:
Aspecto – opaco, discretamente amarelo, coágulo delicado.
Proteínas(mg/dL) – 150.
Glicose (mg/dL) < 45.
Leucócitos (μL) 60, com predominância de Linfócitos e 100% de especificidade ao teste de PCR.
Esses resultados são compatíveis com
Provas
A concentração de algumas proteínas circulantes eleva-se em resposta a estados inflamatórios ou após traumas teciduais. Embora sejam inespecíficas quanto à causa, a determinação da concentração de proteínas de fase aguda pode auxiliar na definição do diagnóstico e, principalmente, para acompanhamento, em amostras seriadas, como marcador cinético de evolução e prognóstico.
Avalie se a determinação da concentração da proteína reativa C – PRC é útil para monitorar, identificar e acompanhar:
I. o infarto agudo do miocárdio, com pico máximo em 12 a 48 horas após o infarto.
II. a reagudização de processos reumáticos autoimunes ou inflamatórios.
III. Possíveis processos hemolíticos intravasculares, como a hemólise crônica.
Está correto o que se afirma em
Provas
Caderno Container