Magna Concursos

Foram encontradas 1.120 questões.

2671403 Ano: 2012
Disciplina: Medicina
Banca: VUNESP
Orgão: PM-SP
As principais características laboratoriais encontradas nos pacientes com síndrome de lise tumoral são:
 

Provas

Questão presente nas seguintes provas
2671402 Ano: 2012
Disciplina: Medicina
Banca: VUNESP
Orgão: PM-SP
No paciente que se apresenta febril e que fez uma sessão de quimioterapia há 10 dias, quando é recomendado associarvancomicina ao esquema antimicrobiano?
 

Provas

Questão presente nas seguintes provas
2671401 Ano: 2012
Disciplina: Medicina
Banca: VUNESP
Orgão: PM-SP
Dentre as situações a seguir, assinale qual delas constitui uma contraindicação à trombólise química endovenosa do acidente vascular cerebral isquêmico (AVCI).
 

Provas

Questão presente nas seguintes provas
2671400 Ano: 2012
Disciplina: Medicina
Banca: VUNESP
Orgão: PM-SP
Paciente apresenta um quadro febril agudo, cuja etiologia é uma pielonefrite aguda. Logo após a internação na UTI, ele evolui com inquietação, extremidades frias e pressão arterial sistólica de 80 mmHg. Dentre os achados a seguir, assinale a alternativa com o que se associa com redução da mortalidade nessa situação.
 

Provas

Questão presente nas seguintes provas
2671399 Ano: 2012
Disciplina: Medicina
Banca: VUNESP
Orgão: PM-SP
Dentre as alternativas a seguir, qual delas tem 3 achados que sugerem acometimento de tronco cerebral no acidente vascular cerebral isquêmico?
 

Provas

Questão presente nas seguintes provas
2671398 Ano: 2012
Disciplina: Medicina
Banca: VUNESP
Orgão: PM-SP
Na intubação orotraqueal de sequência rápida no paciente com crise aguda grave de asma, admitindo-se que haja contraindicações, as drogas de escolha são:
 

Provas

Questão presente nas seguintes provas
2671397 Ano: 2012
Disciplina: Medicina
Banca: VUNESP
Orgão: PM-SP
O recrutamento alveolar tem como característica
 

Provas

Questão presente nas seguintes provas
2671396 Ano: 2012
Disciplina: Medicina
Banca: VUNESP
Orgão: PM-SP
Mulher de 53 anos apresentou tosse, febre e expectoração iniciados há 10 dias. Procurou um hospital, sendo prescrito levofloxacino oral (750 mg, por 5 dias). Entretanto, houve melhora apenas parcial e há 1 dia a febre retornou. Exame físico: estado geral ruim; pressão arterial: 90 x 30 mmHg, pulso: 117 bpm, temperatura: 39,5 ºC, frequência respiratória: 28 ipm e saturação arterial de oxigênio: 88%. Radiografia de tórax demonstrada a seguir.
Enunciado 3309324-1
Nesse momento, além da prescrição de soro fisiológico (20 mL/kg de peso), a conduta inicial correta é:
 

Provas

Questão presente nas seguintes provas
2671395 Ano: 2012
Disciplina: Medicina
Banca: VUNESP
Orgão: PM-SP
Dentre os achados a seguir, constitui um que mais frequentemente se correlaciona com disfunção orgânica relacionada à sepse grave:
 

Provas

Questão presente nas seguintes provas
2671394 Ano: 2012
Disciplina: Medicina
Banca: VUNESP
Orgão: PM-SP
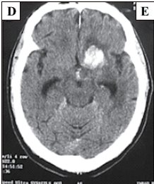
Paciente de 43 anos, hipertenso, apresenta quadro agudo de cefaleia e hemiparesia direita. Exame físico: escala de Glasgow: 14 (sonolento); pressão arterial: 230 x 160 mmHg, pulso: 83 bpm; hemiparesia direita. Tomografia de crânio sem contraste mostrada a seguir.
Enunciado 3309322-1
A conduta correta imediata é
 

Provas

Questão presente nas seguintes provas