Magna Concursos

Foram encontradas 1.120 questões.

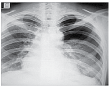
2671423 Ano: 2012
Disciplina: Medicina
Banca: VUNESP
Orgão: PM-SP
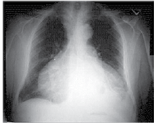
Mulher de 49 anos é internada devido dispneia, febre e dor torácica à esquerda iniciados há 3 dias. Pressão arterial: 110 x 60 mmHg, pulso: 115 bpm; temperatura: 38,3 ºC, frequência respiratória: 26 ipm e saturação arterial de oxigênio: 85%. Radiografia realizada é ilustrada a seguir.
Enunciado 3309351-1
Nesse momento, é correto afirmar:
 

Provas

Questão presente nas seguintes provas
2671422 Ano: 2012
Disciplina: Medicina
Banca: VUNESP
Orgão: PM-SP
Homem de 68 anos é internado com a hipótese de uma síndrome coronariana aguda. Exame físico à chegada (cerca de 1 hora do início do quadro): pressão arterial: 100 x 60 mmHg; ausculta pulmonar: crepitações nas bases pulmonares. Eletrocardiograma realizado é mostrado a seguir.
Enunciado 3309350-1
Neste momento, é correto afirmar:
 

Provas

Questão presente nas seguintes provas
2671421 Ano: 2012
Disciplina: Medicina
Banca: VUNESP
Orgão: PM-SP
Mulher de 29 anos é internada devido a infecção de partes moles extensa (coxa esquerda). Exame físico: extremidades frias e pegajosas, temperatura: 39,1 ºC; pulso: 132 bpm. Exames iniciais: ureia: 74 mg/dL, creatinina: 1,9 mg/dL; gasometria arterial: bicarbonato: 15,1 mmol/L e excesso de bases (base excess): -13,2 mmol/L; lactato arterial: 66 mg/dL (normal: até 14).
Com relação ao excesso de bases (base excess), é correto afirmar:
 

Provas

Questão presente nas seguintes provas
2671420 Ano: 2012
Disciplina: Medicina
Banca: VUNESP
Orgão: PM-SP
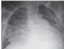
Homem de 62 anos, com história de insuficiência cardíacagrave, é internado devido um quadro dispneico. Pressão arterial: 140 x 115 mmHg, pulso: 122 bpm; ausculta pulmonar: crepitações até ápices bilateralmente. Radiografia de tórax é realizada e mostrada a seguir.
Enunciado 3309348-1
Em relação ao quadro clínico, é correto afirmar:
 

Provas

Questão presente nas seguintes provas
2671419 Ano: 2012
Disciplina: Medicina
Banca: VUNESP
Orgão: PM-SP
Homem de 57 anos é internado na unidade de terapia intensiva em virtude de dor anginosa iniciada há 12 horas. Logo em seguida, o monitor mostra o traçado a seguir e o paciente sofre uma parada cardiorrespiratória.
Enunciado 3309347-1
A conduta imediata correta inclui:
 

Provas

Questão presente nas seguintes provas
2671418 Ano: 2012
Disciplina: Medicina
Banca: VUNESP
Orgão: PM-SP
Homem de 42 anos é internado devido a quadro súbito de dor torácica e dispneia. Exame físico: pressão arterial: 80 x 40 mmHg; taquipneico e sudoreico.
Enunciado 3309346-1
A atitude e/ou conduta médica correta e imediata é
 

Provas

Questão presente nas seguintes provas
2671417 Ano: 2012
Disciplina: Medicina
Banca: VUNESP
Orgão: PM-SP
Homem, 68 anos, tabagista, é internado devido a falta de ar de início há 1 hora. Exame físico: pressão arterial: 240 x 140 mmHg, ausculta pulmonar: diminuição de murmúrios vesiculares e estertores crepitantes até ápices de ambos os hemitórax. A hipótese diagnóstica e conduta correta, respectivamente, são:
 

Provas

Questão presente nas seguintes provas
2671416 Ano: 2012
Disciplina: Medicina
Banca: VUNESP
Orgão: PM-SP
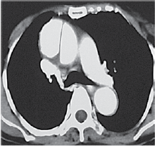
Homem de 37 anos é internado devido dor intensa em todo o braço esquerdo iniciada há 30 minutos. Encontra-se bastante ansioso e agitado pedindo ajuda. Pressão arterial (MSD): 230 x 170 mmHg. Uma tomografia com contraste foi realizada e ilustrada a seguir.
Enunciado 3309344-1
Em relação à dor no braço, é correto afirmar:
 

Provas

Questão presente nas seguintes provas
2671415 Ano: 2012
Disciplina: Medicina
Banca: VUNESP
Orgão: PM-SP
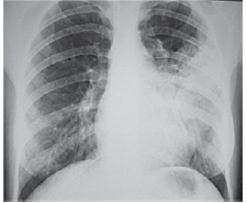
Homem de 58 anos procurou assistência médica devido a dor em hemitórax esquerdo há 10 dias. Ausculta pulmonar: normal; turgência jugular 3+/4+. Radiografia de tórax a seguir.
Enunciado 3309343-1
Nesse momento, é correto afirmar:
 

Provas

Questão presente nas seguintes provas
2671414 Ano: 2012
Disciplina: Medicina
Banca: VUNESP
Orgão: PM-SP
Homem de 56 anos, portador de cirrose alcoólica Child -Pugh C, é internado devido à hemorragia digestiva alta.
Exame físico: estável hemodinamicamente. Escala de Glasgow: 15; ascite moderada. Em relação ao quadro clínico descrito, é correto afirmar:
 

Provas

Questão presente nas seguintes provas