Foram encontradas 40 questões.
Analise as afirmativas abaixo.
Quando o dentista for realizar a técnica de isolamento absoluto, ele deverá contar com os seguintes materiais:
I – Arco, que irá perfurar o lençol de borracha. II – Lençol de borracha, que permite levar o grampo até o dente. III – Grampo de isolamento, que mantém o lençol de borracha em posição.
Está(ão) CORRETA(S) a(s) afirmativa(s):
Quando o dentista for realizar a técnica de isolamento absoluto, ele deverá contar com os seguintes materiais:
I – Arco, que irá perfurar o lençol de borracha. II – Lençol de borracha, que permite levar o grampo até o dente. III – Grampo de isolamento, que mantém o lençol de borracha em posição.
Está(ão) CORRETA(S) a(s) afirmativa(s):
Provas
Questão presente nas seguintes provas
Assinale a alternativa CORRETA a respeito da má oclusão.
Provas
Questão presente nas seguintes provas
Trata-se de uma película pegajosa e incolor, que se não for
removida diariamente, endurece e forma o tártaro:
Provas
Questão presente nas seguintes provas
Leia as afirmativas abaixo:
I – A remoção da cárie pode ser feita apenas através da broca dentária. II – Depois da remoção da cárie, é inserido resina para preencher o local. III – Usar cremes dentais com flúor pode prevenir a cárie. IV – Alimentos ricos em fibras contribuem para a diminuição de acidez da boca.
Estão CORRETAS as afirmativas:
I – A remoção da cárie pode ser feita apenas através da broca dentária. II – Depois da remoção da cárie, é inserido resina para preencher o local. III – Usar cremes dentais com flúor pode prevenir a cárie. IV – Alimentos ricos em fibras contribuem para a diminuição de acidez da boca.
Estão CORRETAS as afirmativas:
Provas
Questão presente nas seguintes provas
“O forma o teto curvo da boca e o assoalho da
cavidade nasal. Em sua porção oral, é coberta por túnica
mucosa e densamente povoada por glândulas.”
Assinale a alternativa que preenche CORRETAMENTE a lacuna acima.
Assinale a alternativa que preenche CORRETAMENTE a lacuna acima.
Provas
Questão presente nas seguintes provas
O dente fica inserido no alvéolo dental e é descrito como
decíduo (primário) ou permanente (secundário). Assinale a
alternativa CORRETA a respeito dos dentes molares.
Provas
Questão presente nas seguintes provas
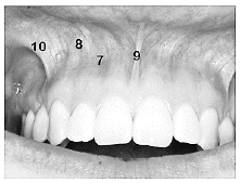
Analise a imagem abaixo.

Podemos afirmar que o número 10 indica o(a):
Provas
Questão presente nas seguintes provas
“O é a comunicação entre a cavidade da
boca com a parte oral da faringe (orofaringe).”
Assinale a alternativa que preenche CORRETAMENTE a lacuna do trecho acima.
Assinale a alternativa que preenche CORRETAMENTE a lacuna do trecho acima.
Provas
Questão presente nas seguintes provas
Assinale a alternativa CORRETA a respeito da Pinça Goiva.
Provas
Questão presente nas seguintes provas
Analise as afirmativas abaixo.
São propriedades ideais de um agente de cimentação ideal: I – Biocompatibilidade. II – Isolante térmico. III – Fácil reparo, remoção/substituição. IV – Propriedades bacteriostáticas/bactericidas.
Estão CORRETAS as afirmativas:
São propriedades ideais de um agente de cimentação ideal: I – Biocompatibilidade. II – Isolante térmico. III – Fácil reparo, remoção/substituição. IV – Propriedades bacteriostáticas/bactericidas.
Estão CORRETAS as afirmativas:
Provas
Questão presente nas seguintes provas
Cadernos
Caderno Container