Foram encontradas 40 questões.
Julgue as afirmativas abaixo e marque a
alternativa correta:
O Município de Alagoa Nova-PB apoiará e
incentivará o turismo, como atividade econômica,
reconhecendo-o como forma de promoção e
desenvolvimento social e cultural.
Juntamente com os segmentos envolvidos no
setor, definirá a política de turismo, observadas
as seguintes diretrizes e ações:
Provas
Questão presente nas seguintes provas
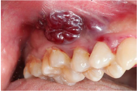
Paciente do sexo feminino, 33 anos, portadora do
vírus HIV, buscou o serviço odontológico queixandose de um inchaço de cor enegrecida em sua gengiva,
a paciente relatou não ser dolorosa e nem sentir
coceira ou formigamento na região. Após analise
clínica, observou-se a seguinte lesão:
Qual provável diagnóstico?
Qual provável diagnóstico?
Provas
Questão presente nas seguintes provas
Sobre os princípios cirúrgicos, antes de qualquer
coisa deve-se fazer uma boa anti-sepsia
acompanhada da colocação do campo cirúrgico. A
anti-sepsia é feita com álcool iodado, povidine
(PVPI), em sentido centrífugo (em círculo, do centro
para a borda) em relação à área de interesse. Feito
isto aplica-se a anestesia e deve-se seguir o
protocolo cirúrgico que envolve de maneira geral 4
etapas, associe essas etapas de acordo com sua
descrição:
COLUNA I
1. Diérese 2. Exérese 3. Síntese 4. Hemostasia
COLUNA II
(____) Etapa cirúrgica que reaproxima os extremos dos tecidos ressecados seccionados.
(____) Etapa cirúrgica na qual se divide os tecidos para acessar a região operada.
(____) Etapa cirúrgica na qual se realiza manobra cirúrgica para remoção parcial ou total do tecido ou órgão com objetivo terapêutico.
(____) Etapa cirúrgica que percorre todo o procedimento cirúrgico.
COLUNA I
1. Diérese 2. Exérese 3. Síntese 4. Hemostasia
COLUNA II
(____) Etapa cirúrgica que reaproxima os extremos dos tecidos ressecados seccionados.
(____) Etapa cirúrgica na qual se divide os tecidos para acessar a região operada.
(____) Etapa cirúrgica na qual se realiza manobra cirúrgica para remoção parcial ou total do tecido ou órgão com objetivo terapêutico.
(____) Etapa cirúrgica que percorre todo o procedimento cirúrgico.
Provas
Questão presente nas seguintes provas
A Dentição Decídua inicia-se aproximadamente
aos 6 meses de vida, com erupção do ICId (Incisivo
Central Inferior deciduo). Completa
aproximadamente aos 24-30 meses com erupção
dos últimos dentes decíduos (segundos molares
descidos). Seu término é dado até os 5,5 – 6 anos
com erupção do primeiro dente permanente, sendo o
1MI (primeiro molar inferior) permanente. A
cronologia de erupção é muito variável, sendo a
sequência mais importante.
Com relação aos tipos de dentições humanas e suas
características julgue as assertivas em verdadeiras
ou falsas e em seguida assinale a alternativa correta:
(____) I. A dentição decídua completa normalmente apresenta 20 dentes.
(____) II. A dentição decídua completa normalmente apresenta 32 dentes
(____) III. Dentes incisivos são encontrados nas dentições permanente e decídua
(____) IV. Dentes Pré-Molares são encontrados nas dentições permanente e decídua.
(____) V. Primeiros molares são encontrados nas dentições permanente e decídua.
(____) I. A dentição decídua completa normalmente apresenta 20 dentes.
(____) II. A dentição decídua completa normalmente apresenta 32 dentes
(____) III. Dentes incisivos são encontrados nas dentições permanente e decídua
(____) IV. Dentes Pré-Molares são encontrados nas dentições permanente e decídua.
(____) V. Primeiros molares são encontrados nas dentições permanente e decídua.
Provas
Questão presente nas seguintes provas
A erupção dental é um processo no qual o dente
migra da sua posição intraóssea na maxila e
mandíbula para sua posição funcional, envolvendo,
portanto, outros tecidos e mecanismos fisiológicos
além do simples irrompimento no tecido gengival.
Segundo a cronologia de erupção da dentição
decídua, o primeiro elemento a erupcionar na
cavidade bucal é o incisivo central:
Provas
Questão presente nas seguintes provas
_____________ são facilmente confundidos
pelos pais com os dentes, enquanto na verdade são
cistos da lâmina dentária (remanescentes de
tecidos). Geralmente encontrados na parte vestibular
(lado de fora) ou lingual (lado de dentro) dos rodetes
gengivais. São estruturas benignas, não precisam de
tratamento, pois desaparecem normalmente durante
os primeiros 3 meses de vida.
Provas
Questão presente nas seguintes provas
As características abaixo descrevem qual
patologia?
1. Doença causada por vírus. 2. Popularmente conhecida como “doença do beijo”. 3. Sua transmissão se dá, em grande parte, através da saliva. 4. Acomete principalmente adolescentes e jovens adultos.
Provoca febre, enfartamento dos gânglios do pescoço e das axilas, comprometimento do fígado e do baço, entre outros sintomas.
1. Doença causada por vírus. 2. Popularmente conhecida como “doença do beijo”. 3. Sua transmissão se dá, em grande parte, através da saliva. 4. Acomete principalmente adolescentes e jovens adultos.
Provoca febre, enfartamento dos gânglios do pescoço e das axilas, comprometimento do fígado e do baço, entre outros sintomas.
Provas
Questão presente nas seguintes provas
O conhecimento da Síndrome de Down é de
extrema importância para o cirurgião dentista, pois
estes pacientes apresentam inúmeras alterações
bucais relacionadas com a Trissomia do
cromossomo 21, necessitando assim de atendimento
diferenciado. Desta forma, durante o atendimento
para exame de rotina o dentista deve ficar atento às
manifestações bucais mais comuns, que são:
Provas
Questão presente nas seguintes provas
A tradução do termo Mock-Up significa “maquete”
ou “modelo”. Quando usado na Odontologia, ele
significa “ensaio restaurador intra-oral” e permite ao
paciente pré-visualizar o resultado final do
tratamento, sem que nenhum desgaste dentário seja
realizado. Torna-se uma importante ferramenta para
que o dentista consiga demonstrar para seu paciente
quantos benefícios estéticos ele ganhará no
tratamento proposto. O material ideal utilizado para
realização do muck-up é :
Provas
Questão presente nas seguintes provas
A pulpite é reversível quando ocorre a
inflamação da polpa e ela pode ser tratada,
devolvendo ao dente sua vitalidade. Porém, o quadro
se torna irreversível apenas quando essa
inflamação já afetou tão gravemente a polpa de
forma que o único tratamento possível é a
endodontia. As pulpites irreversíveis representam
grande número de urgências no consultório
odontológico. São características de uma pulpite
irreversível:
Provas
Questão presente nas seguintes provas
Cadernos
Caderno Container