Magna Concursos

Foram encontradas 1.138 questões.

2898524 Ano: 2022
Disciplina: Medicina
Banca: Avança SP
Orgão: Pref. Amparo-SP
Provas:

São broncodilatadores β2-agonistas, de ação prolongada:

 

Provas

Questão presente nas seguintes provas
2898523 Ano: 2022
Disciplina: Medicina
Banca: Avança SP
Orgão: Pref. Amparo-SP
Provas:

Na década de 1950, quando a cirurgia cardíaca iniciava-se como perspectiva real de tratamento dos defeitos cardíacos congênitos, Donald Heath e Jesse Edwards propuseram um sistema de classificação qualitativa das lesões morfológicas de hipertensão pulmonar. Por essa classificação, a presença de lesões plexiformes indica grau:

 

Provas

Questão presente nas seguintes provas
2898522 Ano: 2022
Disciplina: Medicina
Banca: Avança SP
Orgão: Pref. Amparo-SP
Provas:

A infecção primária da TB pulmonar inicia quando gotículas contendo bacilos provenientes de doentes infecciosos são inaladas pelo indivíduo sadio. Geralmente, menos de 10% dessas gotículas atingem os alvéolos ou bronquíolos e são englobadas, inespecificamente, pelos:

 

Provas

Questão presente nas seguintes provas
2898521 Ano: 2022
Disciplina: Medicina
Banca: Avança SP
Orgão: Pref. Amparo-SP
Provas:

A principal fonte de infecção da tuberculose (TB) é o indivíduo com a forma pulmonar da doença, que elimina bacilos para o exterior. Estima-se que a pessoa que apresenta esse quadro pode infectar de:

 

Provas

Questão presente nas seguintes provas
2898520 Ano: 2022
Disciplina: Medicina
Banca: Avança SP
Orgão: Pref. Amparo-SP
Provas:

A membrana respiratória tem na sua constituição, o endotélio capilar, uma camada unicelular de células endoteliais e a sua membrana basal que a separa da membrana basal do epitélio alveolar pelo espaço intersticial, a camada epitelial de revestimento do alvéolo que é revestida por uma outra camada líquida que contém:

 

Provas

Questão presente nas seguintes provas
2898519 Ano: 2022
Disciplina: Medicina
Banca: Avança SP
Orgão: Pref. Amparo-SP
Provas:

A capacidade residual funcional é a quantidade de ar que permanece nos pulmões ao final de uma expiração normal. Equivale a cerca de 2.300 ml e corresponde à soma do:

 

Provas

Questão presente nas seguintes provas
2898518 Ano: 2022
Disciplina: Medicina
Banca: Avança SP
Orgão: Pref. Amparo-SP
Provas:

O líquido pleural pode manter-se encapsulado na cissura horizontal ou oblíqua, formando uma imagem compatível com uma massa na projeção em PA, mas, em geral, com conformação elíptica na projeção lateral na forma atípica de derrame pleural, denominado:

 

Provas

Questão presente nas seguintes provas
2898517 Ano: 2022
Disciplina: Medicina
Banca: Avança SP
Orgão: Pref. Amparo-SP
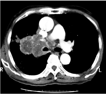
Provas:

Considere a imagem que segue:

Enunciado 3052468-1

Fonte: http://rle.dainf.ct.utfpr.edu.br/hipermidia/images/documentos/Patologias_toracicas_achados_de_imagem.pdf

A figura acima representa um exame por tomografia computadorizada (janela para mediastino) demonstrando um carcinoma broncogênico. O exame indicou a lesão como inoperável devido à invasão da:

 

Provas

Questão presente nas seguintes provas
2898516 Ano: 2022
Disciplina: Medicina
Banca: Avança SP
Orgão: Pref. Amparo-SP
Provas:

Leia:

“Nos de derrames de maior volume, pode ser notado abaulamento do hemitórax acometido e de seus espaços intercostais, que inicialmente perdem suas concavidades habituais, podendo passar a apresentar convexidade.”

O pneumologista identifica os sinais e sintomas apresentados, no trecho acima, por meio do método propedêutico da:

 

Provas

Questão presente nas seguintes provas
2898515 Ano: 2022
Disciplina: Medicina
Banca: Avança SP
Orgão: Pref. Amparo-SP
Provas:

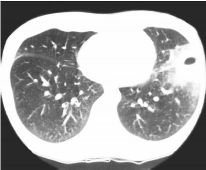
Considere a imagem, a seguir:

Enunciado 3052466-1

Fonte: http://rle.dainf.ct.utfpr.edu.br/hipermidia/images/documentos/Patologias_toracicas_achados_de_imagem.pdf

A figura, acima, representa um exame por tomografia computadorizada demonstrando consolidação do espaço aéreo com lesão escavada de permeio em língula, o que indica:

 

Provas

Questão presente nas seguintes provas