Foram encontradas 1.138 questões.
Sobre a segmentação do corpo caloso, no terço anterior, encontram-se as seguintes estruturas, exceto:
I - córtex pré-frontal.
II - córtex pré-motor.
III - córtex suplementar.
Está correto o que se afirma em:
Provas
A punção transfontanelar promove o alívio temporário de hipertensão intracraniana por hidrocefalia ou coleções intracranianas. Sobre o procedimento, é correto afirmar que a drenagem excessiva de líquor pode ocasionar:
Provas
A coleta da amostra de líquor é de responsabilidade do médico requisitante e das vias clássicas para coleta, sendo a:
Provas
O líquido cefalorraquiniano – LCR:
I - é um tumor com composição semelhante a um ultrafiltrado de plasma.
II – é encontrado nos plexos ventriculares, no canal central da medula e no espaço subaracnoide.
III - sua homeostasia pode ser danificada na presença de tumores, isquemias, hidrocefalias e infecções, o que pode provocar mudanças na produção e/ou na composição desse fluido.
Está correto o que se afirma em:
Provas
Dos frequentes, na tomografia computadorizada do crânio em neonatos com síndrome congênita pelo vírus Zika confirmada, o achado mais frequente, entre os neonatos é:
Provas
Calcificações patológicas são um grupo de doenças, comumente, associado a calcificações, sendo um dos representantes mais característicos o complexo:
Provas
Múltiplas e pequenas calcificações confluentes em lesão expansiva de fossa posterior, referente ao TC axial de crânio, com janela de partes moles, sem uso de meio de contraste, é característico de:
Provas
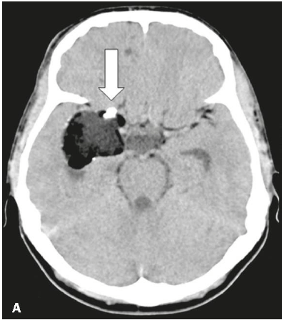
Observe a tomografia, abaixo:

Fonte: https://www.scielo.br/scielo.php?pid=S0100-39842020000400273&script=sci_arttext&tlng=pt
O processo expansivo, demonstrado à imagem, é característico de:
Provas
Síndromes neurometabólicas, raramente, apresentam calcificações, ressaltando-se a síndrome de com calcificações palidais e a leucoencefalopatia com cistos e calcificações periventriculares (síndrome de ).
Assinale a alternativa que preenche, respectiva e corretamente, as lacunas do texto:
Provas
Existe uma série de doenças que apresentam em comum acometimento neurológico e cutâneo, algumas delas com a presença de calcificações, vistas, radiologicamente, por vezes características, e que permitem o diagnóstico definitivo. Dessas doenças, não se enquadra, nessa definição:
Provas
Caderno Container