Magna Concursos

Foram encontradas 50 questões.

3070349 Ano: 2024
Disciplina: Medicina
Banca: CESPE / CEBRASPE
Orgão: Pref. Camaçari-BA
Provas:

Texto 12A4-II


Homem com 66 anos de idade comparece ao ambulatório de geriatria devido a emagrecimento de 10% da massa corporal em um ano. Relata perda de apetite por disgeusia, após infecção por covid-19.

Os resultados do exame clínico do paciente revelam IMC de 19 kg/m2 , força de preensão palmar de 21 kgf, circunferência de panturrilha de 29 cm.

Sem medicação de uso contínuo, o paciente refere ser portador de síndrome da apneia obstrutiva do sono (SAOS), para a qual faz tratamento com CPAP. Os resultados de exames complementares revelam: hematócrito 54%, testosterona total de 280 ng/dL e PSA total de 3 ng/mL.

Ainda em relação ao caso clínico descrito no texto 12A4-II, assinale a opção correta no que diz respeito a terapia de reposição hormonal.
 

Provas

Questão presente nas seguintes provas
3070348 Ano: 2024
Disciplina: Medicina
Banca: CESPE / CEBRASPE
Orgão: Pref. Camaçari-BA
Provas:

Texto 12A4-II


Homem com 66 anos de idade comparece ao ambulatório de geriatria devido a emagrecimento de 10% da massa corporal em um ano. Relata perda de apetite por disgeusia, após infecção por covid-19.

Os resultados do exame clínico do paciente revelam IMC de 19 kg/m2 , força de preensão palmar de 21 kgf, circunferência de panturrilha de 29 cm.

Sem medicação de uso contínuo, o paciente refere ser portador de síndrome da apneia obstrutiva do sono (SAOS), para a qual faz tratamento com CPAP. Os resultados de exames complementares revelam: hematócrito 54%, testosterona total de 280 ng/dL e PSA total de 3 ng/mL.

Considerando o caso clínico descrito no texto 12A4-II, assinale a opção correta em relação ao processo de emagrecimento e desnutrição do paciente.
 

Provas

Questão presente nas seguintes provas
3070347 Ano: 2024
Disciplina: Medicina
Banca: CESPE / CEBRASPE
Orgão: Pref. Camaçari-BA
Provas:

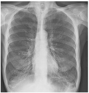
Texto 12A4-I

Uma paciente com 64 anos de idade é atendida em ambulatório de geriatria, onde relata tosse crônica há 10 anos. Há 3 dias, ela apresenta escarro de cor amarelo-esverdeado, principalmente no período noturno, com notável dispneia. Refere fumar desde os 24 anos de idade, em uma média de 10 cigarros por dia, além de ser portadora de tireoidite de Hashimoto, hipertensão e diabetes.


No exame clínico, a paciente apresenta-se lúcida e orientada, com 16 incursões respiratórias por minuto, afebril, pressão arterial de 130 mmHg × 80 mmHg, roncos na base pulmonar bilateral, hidratada e com diurese preservada.

São medicações de uso constante da paciente: levotiroxina, enalapril, sinvastatina, anlodipino, sitagliptina e pioglitazona.

Os resultados de exames complementares feitos no dia da consulta revelam: creatinina de 0,7, ureia de 30, leucócito de 5.000, sem distúrbios hidroeletrolíticos, com PCR de 40. A imagem da radiografia de tórax é mostrada a seguir.

Enunciado 3579965-1

Ainda considerando o caso clínico descrito no texto 12A4-I, assinale a opção correta no que se refere às medicações de uso constante pela paciente.
 

Provas

Questão presente nas seguintes provas
3070346 Ano: 2024
Disciplina: Medicina
Banca: CESPE / CEBRASPE
Orgão: Pref. Camaçari-BA
Provas:

Texto 12A4-I

Uma paciente com 64 anos de idade é atendida em ambulatório de geriatria, onde relata tosse crônica há 10 anos. Há 3 dias, ela apresenta escarro de cor amarelo-esverdeado, principalmente no período noturno, com notável dispneia. Refere fumar desde os 24 anos de idade, em uma média de 10 cigarros por dia, além de ser portadora de tireoidite de Hashimoto, hipertensão e diabetes.


No exame clínico, a paciente apresenta-se lúcida e orientada, com 16 incursões respiratórias por minuto, afebril, pressão arterial de 130 mmHg × 80 mmHg, roncos na base pulmonar bilateral, hidratada e com diurese preservada.

São medicações de uso constante da paciente: levotiroxina, enalapril, sinvastatina, anlodipino, sitagliptina e pioglitazona.

Os resultados de exames complementares feitos no dia da consulta revelam: creatinina de 0,7, ureia de 30, leucócito de 5.000, sem distúrbios hidroeletrolíticos, com PCR de 40. A imagem da radiografia de tórax é mostrada a seguir.

Enunciado 3579964-1

Em relação ao processo de reabilitação pulmonar da paciente mencionada no texto 12A4-I, assinale a opção correta.
 

Provas

Questão presente nas seguintes provas
3070345 Ano: 2024
Disciplina: Medicina
Banca: CESPE / CEBRASPE
Orgão: Pref. Camaçari-BA
Provas:

Texto 12A4-I

Uma paciente com 64 anos de idade é atendida em ambulatório de geriatria, onde relata tosse crônica há 10 anos. Há 3 dias, ela apresenta escarro de cor amarelo-esverdeado, principalmente no período noturno, com notável dispneia. Refere fumar desde os 24 anos de idade, em uma média de 10 cigarros por dia, além de ser portadora de tireoidite de Hashimoto, hipertensão e diabetes.


No exame clínico, a paciente apresenta-se lúcida e orientada, com 16 incursões respiratórias por minuto, afebril, pressão arterial de 130 mmHg × 80 mmHg, roncos na base pulmonar bilateral, hidratada e com diurese preservada.

São medicações de uso constante da paciente: levotiroxina, enalapril, sinvastatina, anlodipino, sitagliptina e pioglitazona.

Os resultados de exames complementares feitos no dia da consulta revelam: creatinina de 0,7, ureia de 30, leucócito de 5.000, sem distúrbios hidroeletrolíticos, com PCR de 40. A imagem da radiografia de tórax é mostrada a seguir.

Enunciado 3579963-1

Acerca do quadro clínico hipotético apresentado no texto 12A4-I, assinale a opção correta.
 

Provas

Questão presente nas seguintes provas
3070344 Ano: 2024
Disciplina: Medicina
Banca: CESPE / CEBRASPE
Orgão: Pref. Camaçari-BA
Provas:
Idosos que consomem três ou mais medicamentos diários têm quatro vezes mais chances de terem osteoporose em comparação aos que não consomem. Considerando os quadros de osteoporose em idosos, assinale a opção correta.
 

Provas

Questão presente nas seguintes provas
3070343 Ano: 2024
Disciplina: Medicina
Banca: CESPE / CEBRASPE
Orgão: Pref. Camaçari-BA
Provas:
Assinale a opção correta acerca de infecção do trato urinário em pacientes idosos.
 

Provas

Questão presente nas seguintes provas
3070342 Ano: 2024
Disciplina: Medicina
Banca: CESPE / CEBRASPE
Orgão: Pref. Camaçari-BA
Provas:
Pacientes idosos com mais de 65 anos de idade sofrem achatamento da derme e diminuição da proliferação celular, o que aumenta a suscetibilidade a traumas e facilita a entrada de agentes infecciosos. Acerca de doenças dermatológicas em pacientes idosos, assinale a opção correta.
 

Provas

Questão presente nas seguintes provas
3070341 Ano: 2024
Disciplina: Medicina
Banca: CESPE / CEBRASPE
Orgão: Pref. Camaçari-BA
Provas:

A respeito das imunizações indicadas para idosos, julgue os itens a seguir.

I A vacina contra influenza é constituída por vírus vivo atenuado e é contraindicada para idosos com alergia a ovo de galinha.

II As vacinas pneumocócicas são indicadas para todos os idosos com 60 anos de idade ou mais.

III A vacina contra herpes-zóster é constituída por vírus vivo atenuado e pode ser aplicada simultaneamente com outras vacinas.

IV A vacina contra tétano, difteria e coqueluche deve ser aplicada em todos os idosos que receberam esquema completo e repetida a cada dez anos.

Assinale a opção correta.

 

Provas

Questão presente nas seguintes provas
3070340 Ano: 2024
Disciplina: Medicina
Banca: CESPE / CEBRASPE
Orgão: Pref. Camaçari-BA
Provas:
Tendo em vista as anemias mais preponderantes em idosos, anemia ferropriva, anemia de doenças crônicas e anemia de causas inexplicadas, assinale a opção correta com referência à anemia em pacientes longevos.
 

Provas

Questão presente nas seguintes provas