Foram encontradas 60 questões.
Disciplina: Medicina
Banca: GUALIMP
Orgão: Pref. Comendador Levy Gasparian-RJ
Uma complicação da amputação que pode dificultar a colocação e adaptação de próteses é:
Provas
Disciplina: Medicina
Banca: GUALIMP
Orgão: Pref. Comendador Levy Gasparian-RJ
A imagem abaixo mostra o nível de algumas amputações e desarticulações, assinale a alternativa correta:

Provas
Disciplina: Medicina
Banca: GUALIMP
Orgão: Pref. Comendador Levy Gasparian-RJ
Doença inflamatória crônica que pode afetar várias articulações. A causa é desconhecida e acomete as mulheres, duas vezes mais, do que os homens. Inicia-se, geralmente, entre 30 e 40 anos e sua incidência aumenta com a idade.
Provas
Disciplina: Medicina
Banca: GUALIMP
Orgão: Pref. Comendador Levy Gasparian-RJ
O tratamento da osteomielite crônica deve ser multifásico e envolver, basicamente, três estratégias combinadas, exceto:
Provas
Disciplina: Medicina
Banca: GUALIMP
Orgão: Pref. Comendador Levy Gasparian-RJ
A osteomielite fúngica está mais relacionada e é, mais comum, em:
Provas
Disciplina: Medicina
Banca: GUALIMP
Orgão: Pref. Comendador Levy Gasparian-RJ
Existem vários fatores que podem interferir, no processo natural da consolidação óssea, podendo ser divididos em:
Provas
Disciplina: Medicina
Banca: GUALIMP
Orgão: Pref. Comendador Levy Gasparian-RJ
A consolidação de fratura ocorre em três fases, intimamente, integradas e sequenciais:
Provas
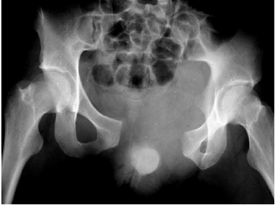
Disciplina: Medicina
Banca: GUALIMP
Orgão: Pref. Comendador Levy Gasparian-RJ
A imagem abaixo mostra:

Provas
Disciplina: Medicina
Banca: GUALIMP
Orgão: Pref. Comendador Levy Gasparian-RJ
A imagem, abaixo, demonstra comprometimento:

Provas
Disciplina: Medicina
Banca: GUALIMP
Orgão: Pref. Comendador Levy Gasparian-RJ
A imagem abaixo caracteriza:

Provas
Caderno Container