Foram encontradas 40 questões.
O choque que ocorre comumente após lesões raquimedulares, chamado choque neurogênico, é devido a:
Provas
Questão presente nas seguintes provas
Criança com 2 dias de vida e 2,8kg será submetida à correção de atresia de esôfago com fístula distal. Durante a etapa de toracotomia
com descolamento de pulmão, a criança cursa com redução do volume corrente associada a queda da saturação arterial e dos valores de
capnografia, além de distensão abdominal. O que deve ser feito imediatamente?
Provas
Questão presente nas seguintes provas
Paciente 56 anos, em unidade de hemodinâmica para realização de angioplastia coronariana percutânea, evolui com parada
cardiorrespiratória logo após primeira abordarem com balão. O anestesiologista ordena início das manobras de RCP(Ressuscitação
Cardiopulmonar) e garante uma via aérea definitiva. Após monitorização adequada, o ritmo em tela é de atividade elétrica sem pulso e a
capnografia demonstra várias curvas com valor de 8mmHg. O anestesiologista deve:
Provas
Questão presente nas seguintes provas
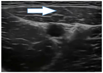
O bloqueio anestésico do ramo femural é facilmente realizado ao nível do canal dos adutores. Esse bloqueio é bastante utilizado para
procedimentos realizados abaixo do joelho. Como referência principal para realização do bloqueio, identifique a estrutura apontada
pela seta presente na imagem.


Provas
Questão presente nas seguintes provas
Na ventilação pulmonar identifique, dentre os termos abaixo, o que representa a diferença entre pressão alveolar e pressão pleural:
Provas
Questão presente nas seguintes provas
Paciente 65 anos, submetido à prostatectomia aberta sob raquianestesia, encontra-se em sala de recuperação anestésica. Apresenta-se
consciente, responde e obedece a comandos, apresenta bromage de 3, sem dispneias, pressão arterial em níveis pré-anestésicos,
saturando 91% em ar ambiente:
Provas
Questão presente nas seguintes provas
Em se tratando de recuperação pós anestésica, são fundamentais o uso de escalas que norteiam a alta para enfermaria. São critérios da
escala de Aldrete-Kroulik:
I- Saturação de O2.
II- Consciência.
III- Níveis de pressão arterial.
IV- Temperatura.
ÉCORRETO o que se afirma em:
I- Saturação de O2.
II- Consciência.
III- Níveis de pressão arterial.
IV- Temperatura.
ÉCORRETO o que se afirma em:
Provas
Questão presente nas seguintes provas
Na anestesia geral, os métodos que melhor monitorizam o grau de hipnose são:
Provas
Questão presente nas seguintes provas
Um circuito de anestesia é conectado a um sistema circular e o volume combinado de ambos é de 6L. O fluxo de gases frescos é de
3L/min. Após ligar o fluxo de isoflurano a 2%, quanto tempo irá levar para que a concentração do circuito alcance 1,96% de isoflurano
(ou seja, 98,1% da concentração ajustada do vaporizador)?
Provas
Questão presente nas seguintes provas
Homem de 50 anos e 60kg é submetido a cirurgia de dupla troca valvar. Foram administrados 240mg de heparina não fracionada e, após
5 min, o valor do TCA(tempo de coagulação ativada) era de 94 segundos. Em seguida, foram administrados mais 100mg de heparina
não fracionada e, após 5 minutos, o TCA era de 102 segundos. O ocorrido pode ser explicado pela deficiência de:
Provas
Questão presente nas seguintes provas
Cadernos
Caderno Container