Magna Concursos

Foram encontradas 330 questões.

1853072 Ano: 2018
Disciplina: Medicina
Banca: IMPARH
Orgão: Pref. Fortaleza-CE

Considerando o estadiamento da Lesão Renal Aguda (LRA) em paciente adulto internado em UTI, que apresenta aumento maior que 3 vezes a creatinina basal, ou creatinina maior que 4 mg/dL com aumento agudo > 0,5 mg/dL. Podemos afirmar que esse paciente se encontra no seguinte estágio da LRA:

 

Provas

Questão presente nas seguintes provas
1853071 Ano: 2018
Disciplina: Medicina
Banca: IMPARH
Orgão: Pref. Fortaleza-CE

Diante de um paciente cirrótico que apresenta quadro de encefalopatia hepática, deve-se seguir a seguinte estratégia terapêutica, EXCETO:

 

Provas

Questão presente nas seguintes provas
1853070 Ano: 2018
Disciplina: Medicina
Banca: IMPARH
Orgão: Pref. Fortaleza-CE

Qual o melhor método isolado para avaliar a gravidade da pancreatite aguda após 48 horas da instalação do quadro clínico?

 

Provas

Questão presente nas seguintes provas
1853069 Ano: 2018
Disciplina: Medicina
Banca: IMPARH
Orgão: Pref. Fortaleza-CE

Você foi acionado para avaliar um senhor de 68 anos, com história de pneumonia adquirida na comunidade, com quadro de confusão mental, apresentando frequência respiratória de 32ipm e pressão arterial de 85x45 mmHg. Diante do exposto, qual a melhor conduta em relação ao tratamento desse paciente?

 

Provas

Questão presente nas seguintes provas
1853068 Ano: 2018
Disciplina: Medicina
Banca: IMPARH
Orgão: Pref. Fortaleza-CE

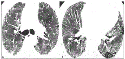
Você está diante de um paciente portador de fibrose pulmonar idiopática, última tomografia mostrada abaixo, com prognóstico reservado em relação à doença de base, familiares conscientes da situação. Diante do quadro de exacerbação aguda da doença, o que é melhor indicado?

enunciado 1853068-1

 

Provas

Questão presente nas seguintes provas
1853067 Ano: 2018
Disciplina: Medicina
Banca: IMPARH
Orgão: Pref. Fortaleza-CE

Acerca das ações a serem realizadas no paciente que apresenta hipertensão pulmonar e insuficiência ventricular direita, marque o item CORRETO.

 

Provas

Questão presente nas seguintes provas
1853066 Ano: 2018
Disciplina: Medicina
Banca: IMPARH
Orgão: Pref. Fortaleza-CE

Você indica Ventilação Não Invasiva (VNI) para um paciente portador de DPOC agudizada. Para que a VNI possa ser considerada bem-sucedida, deve-se observar os seguintes fatores, EXCETO:

 

Provas

Questão presente nas seguintes provas
1853065 Ano: 2018
Disciplina: Medicina
Banca: IMPARH
Orgão: Pref. Fortaleza-CE

Nas condições de infarto agudo do miocárdio com supra de ST, qual das medicações antiplaquetárias deve ter dose de manutenção de 12 meses, podendo ser utilizada tanto na angioplastia primária como na trombólise?

 

Provas

Questão presente nas seguintes provas
1853064 Ano: 2018
Disciplina: Medicina
Banca: IMPARH
Orgão: Pref. Fortaleza-CE

Mulher de 68 anos, diabética, com história de insuficiência arterial periférica, é admitida na UTI com Síndrome Coronariana Aguda, sem supra de ST. Ao exame físico: frequência cardíaca 115bpm, pressão arterial sistólica 90 mmHg. Exames: hematócrito 30%, clearence de creatinina = 80 mL/min. Qual o risco de sangramento maior intra-hospitalar dessa paciente?

 

Provas

Questão presente nas seguintes provas
1853063 Ano: 2018
Disciplina: Medicina
Banca: IMPARH
Orgão: Pref. Fortaleza-CE

Homem de 68 anos, com quadro clínico compatível com infarto sem supra do segmento ST, apresenta os seguintes achados: lesão coronariana avaliada pelo cateterismo de 60%, uso de AAS nas últimas duas semanas, três crises de angina em 24 horas, aumento de marcadores de necrose miocárdica, desvio de ST 0,5 mm em 3 derivações precordiais. Considerando escore de risco Timi, podemos afirmar que esse paciente apresenta:

 

Provas

Questão presente nas seguintes provas