Magna Concursos

Foram encontradas 670 questões.

2825741 Ano: 2022
Disciplina: Saúde Pública
Banca: Verbena
Orgão: Pref. Itiquira-MT
Provas:

É importante considerar, no processo epidêmico, os conceitos de controle, eliminação e erradicação de doenças. Nesse sentido, de acordo com o Ministério da Saúde (Guia de Vigilância em Saúde, 2021), a Organização Pan-Americana da Saúde, em abril de 2015, declarou a Região das Américas livre de

 

Provas

Questão presente nas seguintes provas
2825740 Ano: 2022
Disciplina: Odontologia
Banca: Verbena
Orgão: Pref. Itiquira-MT
Provas:

Enunciado 3769742-1

Fonte: LUDOVICHI, Fernando Felipe et al. Ciência & Saúde Coletiva, v. 23, n. 12, 2018. (Adaptado).

O diagnóstico da síndrome e a característica clínica apontada pela seta na imagem são, respectivamente:

 

Provas

Questão presente nas seguintes provas
2825739 Ano: 2022
Disciplina: Odontologia
Banca: Verbena
Orgão: Pref. Itiquira-MT
Provas:

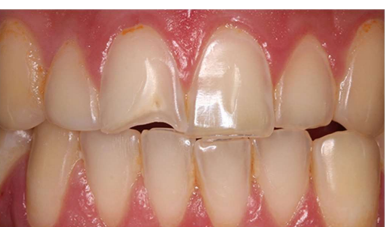
Paciente do sexo masculino, 28 anos, nadador em competições nacionais, procurou atendimento odontológico devido à desgastes dentários como mostra figura que segue. Ele relata utilizar escova de cerdas médias para higiene dentária.

Enunciado 3769741-1

Fonte: SALEM, Mennatallah N & HAFEZ, Shereen. Clinical, Cosmetic and Investigational Dentistry, v. 24, n. 13, 2021.

De acordo com estas informações e com a imagem clínica desse paciente, o diagnóstico e o tratamento para a lesão não cariosa evidenciada no dente 11 é:

 

Provas

Questão presente nas seguintes provas
2825738 Ano: 2022
Disciplina: Odontologia
Banca: Verbena
Orgão: Pref. Itiquira-MT
Provas:

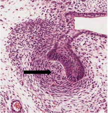
Observe a figura que segue.

Enunciado 3769740-1

Fonte> ABRAHAMSOHN, Paulo & FREITAS, Vanessa. Disponível em: < https://mol.icb.usp.br/index.php/13-3-6-odontogenese/> Acesso em: 4 set. 2022.

De acordo com a fotomicroscopia apresentada, da fase da odontogênese, o nome da estrutura apontada pela seta e o tecido dentário que será originado da estrutura apontada são, respectivamente:

 

Provas

Questão presente nas seguintes provas
2825737 Ano: 2022
Disciplina: Odontologia
Banca: Verbena
Orgão: Pref. Itiquira-MT
Provas:

Após uma queda acidental durante um jogo de futebol, paciente compareceu ao consultório odontológico apresentando o dente 21 fora do plano oclusal, assintomático, sem mobilidade, e que, à percussão, emite um som metálico. Durante a avaliação radiográfica não foi evidenciada a imagem do espaço do ligamento periodontal. Qual é o diagnóstico associado ao dente 21?

 

Provas

Questão presente nas seguintes provas
2825736 Ano: 2022
Disciplina: Odontologia
Banca: Verbena
Orgão: Pref. Itiquira-MT
Provas:

Quais são as estruturas anatômicas que podem ser projetadas em uma radiografia periapical realizada na região de molares inferiores esquerdo?

 

Provas

Questão presente nas seguintes provas
2825735 Ano: 2022
Disciplina: Odontologia
Banca: Verbena
Orgão: Pref. Itiquira-MT
Provas:

Para o atendimento de crianças com quadro clínico de Pulpite, o anestésico local, sem vasoconstritor, melhor indicado é a

 

Provas

Questão presente nas seguintes provas
2825734 Ano: 2022
Disciplina: Odontologia
Banca: Verbena
Orgão: Pref. Itiquira-MT
Provas:

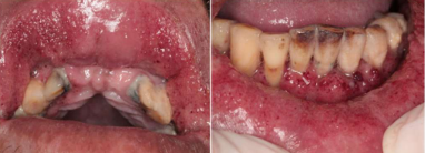
Utilize o caso clínico que segue para responder às questões 43 e 44:

Paciente, 54 anos de idade, trabalhador rural e tabagista, procurou atendimento odontológico apresentando lesões sintomáticas, com aspecto de pontilhado hemorrágico, em cavidade bucal. Relata que as lesões tiveram início há 40 dias, apresentando uma piora clínica. Relata dificuldade de realizar higiene bucal e cansaço ao mínimo esforço. As imagens clínicas são as seguintes:

Enunciado 3769736-1

Considerando as informações clínicas e as imagens apresentadas, a hipótese de diagnóstico para o caso apresentado é de:

 

Provas

Questão presente nas seguintes provas
2825733 Ano: 2022
Disciplina: Odontologia
Banca: Verbena
Orgão: Pref. Itiquira-MT
Provas:

Utilize o caso clínico que segue para responder às questões 43 e 44:

Paciente, 54 anos de idade, trabalhador rural e tabagista, procurou atendimento odontológico apresentando lesões sintomáticas, com aspecto de pontilhado hemorrágico, em cavidade bucal. Relata que as lesões tiveram início há 40 dias, apresentando uma piora clínica. Relata dificuldade de realizar higiene bucal e cansaço ao mínimo esforço. As imagens clínicas são as seguintes:

Enunciado 3769735-1

A lesão fundamental evidenciada nas imagens clínicas do caso é:

 

Provas

Questão presente nas seguintes provas
2825732 Ano: 2022
Disciplina: Odontologia
Banca: Verbena
Orgão: Pref. Itiquira-MT
Provas:

Paciente comparece ao consultório odontológico apresentando o dente 37 com extensa destruição coronária por lesão cariosa. O exame radiográfico periapical, revelou lesão de furca importante associada ao referido dente. O plano de tratamento estabelecido para o paciente foi a exodontia do dente 37. Para realizar este procedimento cirúrgico, faz-se uso do:

 

Provas

Questão presente nas seguintes provas