Foram encontradas 1.440 questões.
2111132
Ano: 2021
Disciplina: Técnicas em Laboratório
Banca: AOCP
Orgão: Pref. João Pessoa-PB
Disciplina: Técnicas em Laboratório
Banca: AOCP
Orgão: Pref. João Pessoa-PB
Provas:
- Microbiologia nas Técnicas em Laboratório
- Aplicação e Execução de Técnicas Bacteriológicas Para o Diagnóstico das Doenças Infecciosas
Assinale a alternativa que apresenta
respectivamente como se denominam os
meios de cultura que permitem o crescimento
de certos tipos de microrganismos e inibem o
crescimento de outros e um exemplo desses
meios de cultura.
Provas
Questão presente nas seguintes provas
2111131
Ano: 2021
Disciplina: Técnicas em Laboratório
Banca: AOCP
Orgão: Pref. João Pessoa-PB
Disciplina: Técnicas em Laboratório
Banca: AOCP
Orgão: Pref. João Pessoa-PB
Provas:
Como se chama o dispositivo no qual são
realizadas as contagens e que pode ser
utilizado para determinar a quantidade de
hemácias na urina?
Provas
Questão presente nas seguintes provas
2111130
Ano: 2021
Disciplina: Técnicas em Laboratório
Banca: AOCP
Orgão: Pref. João Pessoa-PB
Disciplina: Técnicas em Laboratório
Banca: AOCP
Orgão: Pref. João Pessoa-PB
Provas:
Para a execução do método parasitológico de
Faust, é utilizado qual do seguintes
equipamentos?
Provas
Questão presente nas seguintes provas
2111129
Ano: 2021
Disciplina: Técnicas em Laboratório
Banca: AOCP
Orgão: Pref. João Pessoa-PB
Disciplina: Técnicas em Laboratório
Banca: AOCP
Orgão: Pref. João Pessoa-PB
Provas:
Assinale a alternativa que descreve
corretamente parte do procedimento na
coleta da secreção uretral masculina para o
diagnóstico de clamídia.
Provas
Questão presente nas seguintes provas
2111128
Ano: 2021
Disciplina: Técnicas em Laboratório
Banca: AOCP
Orgão: Pref. João Pessoa-PB
Disciplina: Técnicas em Laboratório
Banca: AOCP
Orgão: Pref. João Pessoa-PB
Provas:
Preencha as lacunas e assinale a alternativa
correta.
O teste , também conhecido como técnica de dupla camada, é utilizado na detecção de anticorpos no do paciente por meio de antígenos fixados em uma lâmina, na qual se aplica primeiramente um específico não fluorescente.
O teste , também conhecido como técnica de dupla camada, é utilizado na detecção de anticorpos no do paciente por meio de antígenos fixados em uma lâmina, na qual se aplica primeiramente um específico não fluorescente.
Provas
Questão presente nas seguintes provas
2111127
Ano: 2021
Disciplina: Técnicas em Laboratório
Banca: AOCP
Orgão: Pref. João Pessoa-PB
Disciplina: Técnicas em Laboratório
Banca: AOCP
Orgão: Pref. João Pessoa-PB
Provas:
- Identificação dos Diversos Equipamentos de um Laboratório, sua Utilização e Conservação
- Vidrarias para Laboratórios
Em relação às vidrarias para uso em
laboratório, a pipeta volumétrica de 25 mL é
adequada para
Provas
Questão presente nas seguintes provas
O objetivo do uso de filtros nos
equipamentos de raio-x é
Provas
Questão presente nas seguintes provas
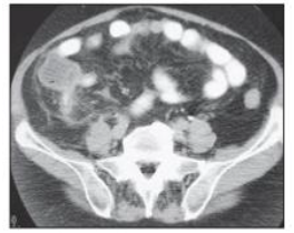
Paciente masculino de 45 anos dá entrada ao
PA com dor em FID há 7 horas, inapetência e
febre. Ao exame clínico, há dor à
descompressão brusca da FID. A imagem
tomográfica a seguir confirma o diagnóstico
de


Provas
Questão presente nas seguintes provas
Quais são os quatro segmentos da uretra
masculina?
Provas
Questão presente nas seguintes provas
De acordo com a 5ª edição do BI-RADS, qual
alternativa se enquadra adequadamente na
classificação 3?
Provas
Questão presente nas seguintes provas
Cadernos
Caderno Container