Magna Concursos

Foram encontradas 1.440 questões.

2109891 Ano: 2021
Disciplina: Medicina
Banca: AOCP
Orgão: Pref. João Pessoa-PB
Pacientes com a sequência de Pierre Robin apresentam qual tríade clínica clássica?
 

Provas

Questão presente nas seguintes provas
2109890 Ano: 2021
Disciplina: Medicina
Banca: AOCP
Orgão: Pref. João Pessoa-PB
Em caso de paciente vítima de trauma com perda de substancia no nível do joelho e exposição óssea e articular, qual é a melhor conduta?
 

Provas

Questão presente nas seguintes provas
2109889 Ano: 2021
Disciplina: Medicina
Banca: AOCP
Orgão: Pref. João Pessoa-PB
São fatores de risco para o retalho músculo-cutâneo abdominal na reconstrução de mama, EXCETO
 

Provas

Questão presente nas seguintes provas
2109888 Ano: 2021
Disciplina: Medicina
Banca: AOCP
Orgão: Pref. João Pessoa-PB
Um paciente de 25 anos foi vítima de trauma grave, necessitando intubação e cuidados intensivos durante 21 dias. Evoluiu com úlcera sacral de 3x5 cm e, no momento, apresenta previsão de alta hospitalar, sem sequela motora ou neurológica. Diante de tal quadro clínico, qual conduta é a menos apropriada para a cobertura da úlcera existente?
 

Provas

Questão presente nas seguintes provas
2109887 Ano: 2021
Disciplina: Medicina
Banca: AOCP
Orgão: Pref. João Pessoa-PB
Considerando a ventilação pulmonar durante a realização de uma ressecção e anastomose traqueal, assinale a alternativa correta.
 

Provas

Questão presente nas seguintes provas
2109886 Ano: 2021
Disciplina: Medicina
Banca: AOCP
Orgão: Pref. João Pessoa-PB
Em relação ao pré-operatório em cirurgia torácica, é correto afirmar que
 

Provas

Questão presente nas seguintes provas
2109885 Ano: 2021
Disciplina: Medicina
Banca: AOCP
Orgão: Pref. João Pessoa-PB
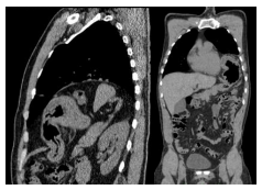
Em relação ao caso apresentado na questão anterior, após estabilização do paciente, ele foi submetido à tomografia de tórax cujo achado mais significativo aparece na seguinte imagem. Com base no exposto, assinale a alternativa correta.
Enunciado 2109885-1
 

Provas

Questão presente nas seguintes provas
2109884 Ano: 2021
Disciplina: Medicina
Banca: AOCP
Orgão: Pref. João Pessoa-PB
Quanto ao estadiamento do mediastino no câncer de pulmão, assinale a alternativa correta.
 

Provas

Questão presente nas seguintes provas
2109883 Ano: 2021
Disciplina: Medicina
Banca: AOCP
Orgão: Pref. João Pessoa-PB
Em relação aos tumores benignos de pulmão, é correto afirmar que
 

Provas

Questão presente nas seguintes provas
2109882 Ano: 2021
Disciplina: Medicina
Banca: AOCP
Orgão: Pref. João Pessoa-PB
Para o tratamento cirúrgico de tumores malignos da parede torácica, assinale a alternativa correta.
 

Provas

Questão presente nas seguintes provas