Magna Concursos

Foram encontradas 859 questões.

932446 Ano: 2019
Disciplina: Medicina
Banca: FUNDEP
Orgão: Pref. Lagoa Santa-MG
Provas:
Analise o caso clínico a seguir.
Kauã tem 8 anos de idade e está previamente hígido. É trazido à consulta médica com queixa de cefaleia holocraniana, em aperto, de início há 3 semanas, de média para forte intensidade e piora ao longo do dia. Há uma semana, começou a apresentar despertar noturno, com náuseas e mudança de comportamento. Exame físico: FR = 12 irpm; FC = 70 bpm; PA = 130 X 90 mmHg (acima do percentil 95).
Nesse caso, qual é a conduta a ser adotada?
 

Provas

Questão presente nas seguintes provas
932445 Ano: 2019
Disciplina: Medicina
Banca: FUNDEP
Orgão: Pref. Lagoa Santa-MG
Provas:

Analise o caso clínico a seguir.

Paciente de 48 anos de idade, sexo masculino, portador de DM2 diagnosticado recentemente, foi admitido em uma UPA com quadro de desidratação +++, acidose ++ e hiperglicemia leve após ter corrido uma prova de meia maratona.

Considerando essas informações, esse paciente faz uso da seguinte classe de medicamento oral para diabetes:

 

Provas

Questão presente nas seguintes provas
932444 Ano: 2019
Disciplina: Medicina
Banca: FUNDEP
Orgão: Pref. Lagoa Santa-MG
Provas:
A natureza invasiva local dos carcinomas basocelulares pode ser explicada pela presença de
 

Provas

Questão presente nas seguintes provas
932443 Ano: 2019
Disciplina: Medicina
Banca: FUNDEP
Orgão: Pref. Lagoa Santa-MG
Provas:
Na síndrome de Adams, a hipotensão postural decorre de
 

Provas

Questão presente nas seguintes provas
932442 Ano: 2019
Disciplina: Medicina
Banca: FUNDEP
Orgão: Pref. Lagoa Santa-MG
Provas:
Em relação ao quadro clínico da doença de Parkinson, assinale a alternativa correta.
 

Provas

Questão presente nas seguintes provas
932441 Ano: 2019
Disciplina: Medicina
Banca: FUNDEP
Orgão: Pref. Lagoa Santa-MG
Provas:

Analise o caso clínico a seguir.

Paciente do sexo masculino, 69 anos de idade, portador de diabetes tipo 2 há 10 anos, hipertenso, portador de insuficiência cardíaca com fração de ejeção reduzida, com dispneia aos médios esforços, usuário de metformina 1.000 mg/dia, losartan 100 mg/dia, carvedilol 25 mg/dia, atorvastatina 20 mg/dia, AAS 100 mg/dia. Realizou os seguintes exames: glicose de jejum = 192 mg/dL, HbA1c = 8,2%, creatinina = 2,8 mg/dL, TFG = 25 mL/min.

Em relação ao tratamento do diabetes, qual é a melhor conduta a ser adotada, considerando a suspensão da metformina?

 

Provas

Questão presente nas seguintes provas
932440 Ano: 2019
Disciplina: Medicina
Banca: FUNDEP
Orgão: Pref. Lagoa Santa-MG
Provas:
Em relação à vacinação de crianças de mãe infectadas pelo HIV, é incorreto afirmar:
 

Provas

Questão presente nas seguintes provas
932439 Ano: 2019
Disciplina: Medicina
Banca: FUNDEP
Orgão: Pref. Lagoa Santa-MG
Segundo o Ministério da Saúde do Brasil (2016), assinale a alternativa que não apresenta uma recomendação para conduta inicial frente aos resultados alterados de exames citopatológicos do colo uterino.
 

Provas

Questão presente nas seguintes provas
932438 Ano: 2019
Disciplina: Medicina
Banca: FUNDEP
Orgão: Pref. Lagoa Santa-MG
Provas:
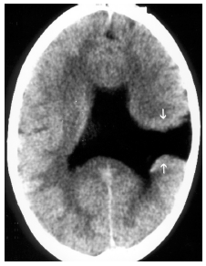
Considere que, após analisar a tomografia de um adulto jovem com crises epiléptica, foi notada uma alteração importante na imagem, como apresentado a seguir.
Enunciado 932438-1
Diante desse quadro neurorradiológico e da imagem apresentada, qual é o diagnóstico?
 

Provas

Questão presente nas seguintes provas
932437 Ano: 2019
Disciplina: Medicina
Banca: FUNDEP
Orgão: Pref. Lagoa Santa-MG
Provas:

Analise o caso clínico a seguir.

Paciente do sexo feminino, 54 anos idade, apresentou nódulo tireoidiano à palpação cervical. É assintomática. Nega história prévia de radiação ou história familiar de câncer de tireoide. O nódulo é móvel e indolor à palpação. Não há linfonodomegalias. As provas de função tireoidianas estão normais, e a ultrassonografia cervical mostra-se tratar de um nódulo único de 2 cm no maior diâmetro, hipoecoico, de contornos regulares, com fluxo periférico e central ao Doppler. Foi realizada punção aspirativa por agulha fina, cujo resultado foi presença de atipias de significado indeterminado.

Nesse caso, qual é a melhor conduta a ser adotada?

 

Provas

Questão presente nas seguintes provas