Foram encontradas 50 questões.
Considerando que a física das ondas é a base teórica para o entendimento do funcionamento da ultrassonografia, assinale a afirmativa correta.
Provas
A avaliação dos linfonodos axilares é primordial no diagnóstico e estadiamento do câncer de mama. “Anatomicamente, essa cadeia linfonodal é classificada como linfonodos de Berg, ou seja, o nível I encontra-se ao músculo peitoral menor, o II , e o III, .” Assinale a alternativa que completa correta e sequencialmente a afirmativa anterior.
Provas
Paciente, 16 anos, sexo feminino, comparece para realizar ultrassonografia transvaginal. Ao exame, evidencia-se gestação de 12 semanas, feto único, BCF+, colo medindo 5 cm. Paciente revela que a gestação foi fruto de um estupro, se mostra abalada e chora muito. Verbaliza intenção de realizar aborto clandestino. Não há acompanhante. Diante do caso hipotético, além de acolhimento adequado, qual deverá ser a conduta frente a tal paciente?
Provas
Paciente, 25 anos, sexo feminino, nuligesta, comparece ao exame de ultrassonografia transvaginal para avaliação uterina pré-inserção de dispositivo intrauterino. Ao exame, apresenta útero em anteversoflexão, fundo uterino bocelado com incisura medindo 2 cm, distância intercornual de 5 cm, apresentando apenas um colo do útero. Volume uterino de 50 cm³. Ovários sem alterações. Considerando as informações, a impressão diagnóstica desse exame deve se útero:
Provas
“O ISUOG publicou orientações sobre o uso de ultrassom Doppler no exame de ultrassom fetal de 11 a 13 + 6 semanas. O objetivo é descrever o ultrassom Doppler pulsado e suas diferentes modalidades: Doppler espectral, mapeamento de fluxo em cores e Power Doppler, comumente utilizados para estudar a circulação materno-fetal. Segundo esse documento, ao realizar imagens Doppler, o índice térmico exibido deve ser e o tempo de exposição deve ser , geralmente entre .” Assinale a alternativa que completa correta e sequencialmente a afirmativa anterior.
Provas
Paciente, 30 anos, atleta, sexo masculino, comparece para realizar ultrassonografia de ombro por suspeita de lesão. Refere apresentar dor à rotação interna do úmero. Considerando o caso hipotético, qual ligamento deverá ser avaliado no exame?
Provas
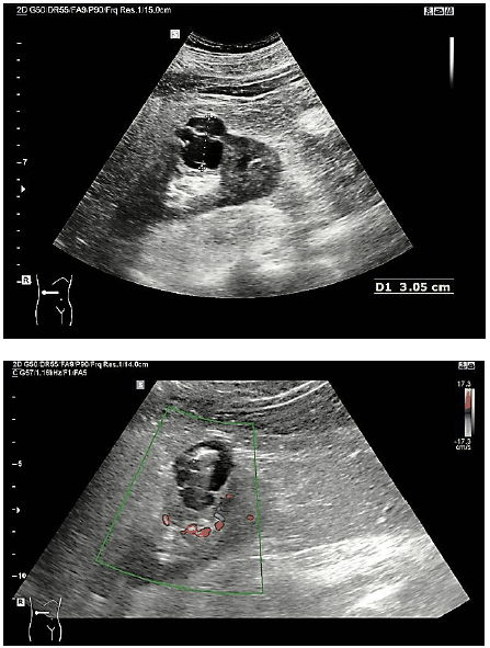
Paciente, 38 anos, sexo masculino, comparece para realizar ultrassonografia abdominal. Assintomático; exame solicitado para perícia médica em concurso público, em que foram observadas as seguintes imagens:

Considerando o caso hipotético, assinale a classificação dessa lesão de acordo com a classificação de Bosniak.
Provas
“No acompanhamento de nódulos de tireoide é importante avaliar o crescimento substancial, o qual é definido como mudança de mais de no volume ou de aumento no diâmetro do nódulo com um aumento mínimo em duas ou mais dimensões de pelo menos .” Assinale a alternativa que completa correta e sequencialmente a afirmativa anterior.
Provas
Considerando o caso hipotético de uma paciente hígida, 29 anos, nuligesta, realizando um exame de ultrassonografia de mama para avaliação de integridade de prótese mamária. Assinale, a seguir, a característica da imagem que permite diagnosticar rotura de cápsula intracapsular.
Provas
A adenomiomatose da vesícula biliar é uma patologia benigna, classificada em focal, segmentar e difusa. A fisiopatologia da doença tem como base o espessamento da parede vesicular, assintomático. Na ultrassonografia, é comum apresentar:
Provas
Caderno Container