Foram encontradas 645 questões.
- DentísticaRestaurações Diretas e Indiretas
- Odontologia Pré-ClínicaMateriais Odontológicos
- Odontologia Pré-ClínicaEquipamentos e Instrumentos Odontológicos
As resinas compostas são os materiais mais utilizados em
restaurações diretas, seja em dentes anteriores ou
posteriores. Elas apresentam características importantes que
favorecem a sua união à estrutura dentária e podem
promover maior resistência de união quando se realiza uma
restauração devido
Provas
Questão presente nas seguintes provas
- EndodontiaPatologias Endodônticas: Diagnóstico e Tratamento
- Odontologia Pré-ClínicaAnatomia Dentária
- Radiologia e Imaginologia
Leia o caso a seguir.
Paciente do sexo masculino sofreu um trauma bucal após queda de um balanço. O atendimento odontológico aconteceu 1 hora após o acidente e através do exame intrabucal, foi possível evidenciar um deslocamento parcial do dente 61 para fora do alvéolo. O exame radiográfico evidenciou rizogênese incompleta do referido dente.
Qual o diagnóstico e a conduta, respectivamente, para esse caso clínico?
Paciente do sexo masculino sofreu um trauma bucal após queda de um balanço. O atendimento odontológico aconteceu 1 hora após o acidente e através do exame intrabucal, foi possível evidenciar um deslocamento parcial do dente 61 para fora do alvéolo. O exame radiográfico evidenciou rizogênese incompleta do referido dente.
Qual o diagnóstico e a conduta, respectivamente, para esse caso clínico?
Provas
Questão presente nas seguintes provas
- EndodontiaObturação dos Canais Radiculares
- EndodontiaAnatomia da Cavidade Pulpar
- Odontologia Pré-ClínicaMateriais Odontológicos
- Odontologia Pré-ClínicaEquipamentos e Instrumentos Odontológicos
O complexo dentino-pulpar é formado por dentina mineralizada,
pré-dentina não mineralizada e polpa dentária, que é um
tecido conjuntivo frouxo altamente especializado. A proteção
desse complexo pode ser realizada por meio de materiais
específicos em vários contextos da Odontologia. Pode ser
considerada como propriedade ideal de um material
utilizado para proteção do complexo dentino-pulpar a
capacidade de
Provas
Questão presente nas seguintes provas
- Anestesiologia
- EndodontiaPatologias Endodônticas: Diagnóstico e Tratamento
- Odontologia Pré-ClínicaAnatomia Dentária
Leia o caso a seguir.
Paciente, 25 anos, sexo feminino, portadora de anemia falciforme, comparece ao consultório odontológico para realizar o tratamento endodôntico do dente 44.
Para a realização desse procedimento odontológico, o cirurgião-dentista deverá evitar o uso de qual anestésico local, devido ao risco de metemoglobinemia?
Paciente, 25 anos, sexo feminino, portadora de anemia falciforme, comparece ao consultório odontológico para realizar o tratamento endodôntico do dente 44.
Para a realização desse procedimento odontológico, o cirurgião-dentista deverá evitar o uso de qual anestésico local, devido ao risco de metemoglobinemia?
Provas
Questão presente nas seguintes provas
Leia o caso a seguir.
Paciente, 34 anos, sexo masculino, apresenta ulceração das papilas interdentais com formação de pseudomembrana, sangramento gengival, halitose, dor e perda óssea rápida. Ele relatou, também, quadro de febre nos últimos 4 dias.
Qual o diagnóstico da condição periodontal apresentada?
Paciente, 34 anos, sexo masculino, apresenta ulceração das papilas interdentais com formação de pseudomembrana, sangramento gengival, halitose, dor e perda óssea rápida. Ele relatou, também, quadro de febre nos últimos 4 dias.
Qual o diagnóstico da condição periodontal apresentada?
Provas
Questão presente nas seguintes provas
Leia o texto a seguir.
Epitélio estratificado pavimentoso não queratinizado, com poucas camadas de células, alta capacidade de permeabilidade e responsável pelo íntimo contato com a superfície dentária.
A descrição histológica refere-se a qual estrutura periodontal?
Epitélio estratificado pavimentoso não queratinizado, com poucas camadas de células, alta capacidade de permeabilidade e responsável pelo íntimo contato com a superfície dentária.
A descrição histológica refere-se a qual estrutura periodontal?
Provas
Questão presente nas seguintes provas
- CariologiaPrevenção e Controle da Doença
- Odontologia Pré-ClínicaMicrobiologia na Odontologia Pré-Clínica
A maturação da placa dental é influenciada por fatores de
origem microbiana e derivados do hospedeiro. São fatores
bacterianos que corroboram a maturação da placa dental:
Provas
Questão presente nas seguintes provas
As mãos constituem a principal via de transmissão de
microrganismos durante a assistência prestada aos pacientes,
pois a pele é um possível reservatório de bactérias, que
podem se transferir de uma superfície para outra, por meio
de contato direto ou indireto. Qual a finalidade da higienização
das mãos para a realização de um procedimento cirúrgico
odontológico?
Provas
Questão presente nas seguintes provas
Leia o caso a seguir.
Paciente de 18 anos de idade procurou atendimento odontológico apresentando lesão cariosa extensa na região oclusal do dente 36. O teste de sensibilidade pulpar foi realizado no referido dente e o resultado foi negativo. Não há evidências de alterações em mucosa bucal.
Qual técnica radiográfica deverá ser indicada para auxiliar no diagnóstico final desse caso?
Paciente de 18 anos de idade procurou atendimento odontológico apresentando lesão cariosa extensa na região oclusal do dente 36. O teste de sensibilidade pulpar foi realizado no referido dente e o resultado foi negativo. Não há evidências de alterações em mucosa bucal.
Qual técnica radiográfica deverá ser indicada para auxiliar no diagnóstico final desse caso?
Provas
Questão presente nas seguintes provas
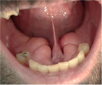
A avaliação física intrabucal é uma etapa do exame clínico
que permite verificar o estado de saúde e a identificação de
possíveis variações de normalidade ou patologias na
cavidade bucal. Observe a imagem intrabucal a seguir.
Qual variação de normalidade pode ser evidenciada nessa imagem intrabucal?
Qual variação de normalidade pode ser evidenciada nessa imagem intrabucal?
Provas
Questão presente nas seguintes provas
Cadernos
Caderno Container