Foram encontradas 850 questões.
Segundo o parecer do Conselho Federal de Medicina (CFM), o tratamento da miopia progressiva em crianças pode ser feito com o uso de colírio de atropina na concentração de
Provas
Paciente do sexo feminino, de 69 anos, parda, chega ao consultório dizendo que não consegue enxergar bem a tela de seu computador com seus óculos de leitura (de +3.00 D.E. AO), depois de uma cirurgia de catarata que realizou nos 2 olhos há 6 meses.
Seu exame oftalmológico mostrou:
– Refração sob cicloplegia:
OD +0.50 D.E. = 20/25 Add + 300 J1 a 33 cm
OE–0.75 D.E. = 20/25
– Biomicroscopia: Pseudofacia com LIO monofocal centralizada AO.
– Tonometria de aplanação: 14 mmHg AO (09:30 hs)
– Mapeamento de retina: Sem alterações AO.
Considerando que a tela de seu computador fica a 67 cm de distância de seus olhos, as lentes mais adequadas para ela enxergar a essa distância serão de
Provas
Paciente do sexo masculino, 50 anos, apresenta parada cardiorrespiratória em fibrilação ventricular. É submetido à reanimação cardiopulmonar em via pública durante 20 minutos e dá entrada no hospital, onde é estabilizado e encaminhado para angioplastia por oclusão de artéria descendente anterior. Após 7 dias do evento, e já sem sedação há 4 dias, o médico neurologista é chamado para avaliar o paciente, pois ele não despertou como era esperado. Ao exame físico: isocoria fotorreativa, reflexos oculocefálico e corneopalpebral presentes, presença de respiração espontânea e, ao estímulo doloroso, apresenta resposta em descerebração bilateral. Exame de tomografia computadorizada de crânio realizada no 4o dia do evento mostra perda difusa da diferenciação entre substância branca e cinzenta supratentorial, com sinal do cerebelo branco. Sobre o prognóstico neurológico do paciente, pode-se afirmar corretamente:
Provas
Paciente com hepatopatia crônica apresenta parkinsonismo, e imagem por ressonância magnética mostra hipersinal na sequência T1 em globo pálido bilateralmente. Tal achado se deve a depósito de
Provas
Paciente do sexo masculino, com quadro demencial iniciado aos 45 anos, com alteração comportamental precoce, associado à história familiar positiva: avô materno, mãe e tio materno tiveram coreia e demência iniciados na idade adulta, com evolução progressiva para óbito em alguns anos. A imagem de encéfalo do paciente mostra atrofia da cabeça do núcleo caudado bilateralmente. Com relação à principal hipótese diagnóstica, assinale a alternativa correta.
Provas
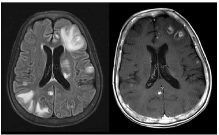
Paciente do sexo masculino, 48 anos, com quadro de confusão mental há 7 dias. Tem antecedente de HIV há 18 anos, com interrupção do tratamento por conta própria há 3 anos. Ao exame, está desorientado e desatento. Realizou a ressonância magnética de crânio mostrada a seguir. O líquor tem 7 células (linfomononuclear) com bioquímica normal e tinta da China negativa.

A principal hipótese diagnóstica é:
Provas
A etiologia mais comum de epilepsia fármaco-resistente com indicação cirúrgica em adultos é:
Provas
Em relação às medicações antiparkinsonianas e seus respectivos mecanismos de ação, assinale a alternativa correta.
Provas
Paciente do sexo feminino, 20 anos, com quadro de dor à movimentação ocular em olho direito, que evoluiu em dois dias para perda visual no mesmo olho, progressiva ao longo de três dias. Ao exame, apresenta acuidade 20/400 em olho direito, defeito pupilar aferente em olho direito e edema de papila à direita. A ressonância magnética de crânio e o líquor são normais e a pesquisa sérica de anticorpo antiaquaporina 4 é positiva. O diagnóstico é de
Provas
Dentre as alternativas a seguir, qual é a de escolha no tratamento da epilepsia ausência juvenil?
Provas
Caderno Container