Foram encontradas 50 questões.
De acordo com a Lei e 8.142/1990. O Sistema Único de Saúde (SUS), de que trata a Lei n° 8.080, de 19 de setembro de 1990, contará, em cada esfera de governo, sem prejuízo das funções do Poder Legislativo, com as seguintes instâncias colegiadas. Quais das alternativas abaixo é uma dessas instâncias?
Provas
Analise os itens abaixo de acordo com a Lei e 8.142/1990.
Os recursos do Fundo Nacional de Saúde (FNS) serão alocados como:
I - despesas de custeio e de capital do Ministério da Saúde, seus órgãos e entidades, da administração direta apenas.
II - investimentos previstos no Plano anual do Ministério da Saúde.
III - cobertura das ações e serviços de saúde a serem implementados pelos Municípios, Estados e Distrito Federal.
IV - investimentos previstos em lei orçamentária, de iniciativa do Poder Legislativo e aprovados pelo Congresso Nacional.
Está(ão) incorreta(s) a(s) assertiva(s):
Provas
- SUSLei 8.080/1990: Lei Orgânica da SaúdeSistema Único de SaúdeArts. 8º ao 14-B: Organização, Direção e Gestão
De acordo a Lei Federal 8.080. analise as afirmativas abaixo atribuindo (V) para Verdadeira e (F) para Falsa, em seguida assinale a alternativa com a sequência correta.
( ) O Conselho Nacional de Secretários de Saúde (Conass) e o Conselho Nacional de Secretarias Municipais de Saúde (Conasems) são reconhecidos como entidades representativas dos entes estaduais e municipais para tratar de matérias referentes à saúde e declarados de utilidade pública e de relevante função social, na forma do regulamento.
( ) O Conass e o Conasems receberão recursos do orçamento geral da União por meio do Fundo Nacional de Saúde, para auxiliar no custeio de suas despesas institucionais, podendo ainda celebrar convênios com a União.
( ) Os Conselhos de Secretarias Municipais de Saúde (Cosems) são reconhecidos como entidades que representam os entes municipais, no âmbito estadual, para tratar de matérias referentes à educação, desde que vinculados institucionalmente ao Conasems, na forma que dispuserem seus estatutos.
Provas
Complete a lacuna e assinale a alternativa correta de acordo com a Lei Federal 8.142/1990.
O Conselho de Saúde, em _____________ e deliberativo, órgão colegiado composto por representantes do governo, prestadores de serviço, profissionais de saúde e usuários, atua na formulação de estratégias e no controle da execução da política de saúde na instância correspondente, inclusive nos aspectos econômicos e financeiros, cujas decisões serão homologadas pelo chefe do poder legalmente constituído em cada esfera do governo.
Provas
De acordo a Lei n° 8.080/1990 que dispõe sobre as condições para a promoção, proteção e recuperação da saúde, a organização e o funcionamento dos serviços correspondentes e dá outras providências. Complete a lacuna:
A saúde é um ________ do ser humano, devendo o Estado prover as condições indispensáveis ao seu pleno exercício.
Provas
Sobre o Teste de Duchene, para avaliação do quadril, considere os itens:
I - avalia a força do músculo glúteo médio.
II - o examinador pede para o paciente ficar de pé e verifica as costas do paciente para observar as pequenas depressões que se superpõem às espinhas ilíacas anterossuperiores.
III - o teste é positivo quando a pelve do lado oposto à extremidade que suporta o peso cai, denotando a fraqueza ou paralisia do glúteo médio.
É correto o que se afirma em:
Provas
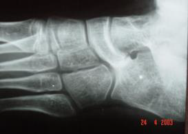
Considere a radiografia a seguir:

A imagem demonstra detalhe de radiografia do pé em incidência oblíqua mostrando alteração do contorno e do formato do osso:
Provas
Bota _______ é a órtese que adveio da necessidade de substituição do gesso nos membros inferiores, em alguns tratamentos em que o mesmo mostrava não resultar totalmente, ou até com efeitos secundários indesejáveis.
Assinale a alternativa que preenche, corretamente, a lacuna do texto:
Provas
Considere a alternativa que descreve, corretamente, a epitrocleíte:
Provas
O processo em que a falange distal não consegue elevar-se ativamente, caindo dobrada a ponta do dedo, é o achado semiológico denominado:
Provas
Caderno Container