Magna Concursos

Foram encontradas 1.695 questões.

3370734 Ano: 2023
Disciplina: Medicina
Banca: Avança SP
Orgão: Pref. Rio Claro-SP
Provas:

O contraste oral é utilizado para modificar a densidade da luz do trato gastrintestinal. Salvo raras exceções, seu uso é obrigatório em qualquer exame de TC do abdome e da pelve, para:

I - Melhor individualizar as vísceras ocas (estômago, baço e alças intestinais).

II - Definir possíveis anormalidades das vísceras.

III - Para contornar o problema das alças intestinais que, sem contraste endoluminal, podem ser confundidas com massas, adenomegalias ou hematomas.

Está correto o que se afirma em:

 

Provas

Questão presente nas seguintes provas
3370733 Ano: 2023
Disciplina: Medicina
Banca: Avança SP
Orgão: Pref. Rio Claro-SP
Provas:

A densidade _______ pode ser identificada nas condições de uso de meios de contraste, em corpos estranhos, órteses, próteses, fios e clipes metálicos cirúrgicos.

Assinale a alternativa que completa, corretamente, a lacuna do texto:

 

Provas

Questão presente nas seguintes provas
3370732 Ano: 2023
Disciplina: Medicina
Banca: Avança SP
Orgão: Pref. Rio Claro-SP
Provas:

A terminologia empregada em radiografias deve ser bem utilizada. Para estruturas hipotransparentes deve-se utilizar o termo:

 

Provas

Questão presente nas seguintes provas
3370731 Ano: 2023
Disciplina: Medicina
Banca: Avança SP
Orgão: Pref. Rio Claro-SP
Provas:

Na tomografia computadorizada (TC), o tamanho do campo de visão (FOV - Field of View) determina as dimensões da imagem que será adquirida no interior do gantry. Portanto, quanto menor o FOV:

 

Provas

Questão presente nas seguintes provas
3370730 Ano: 2023
Disciplina: Medicina
Banca: Avança SP
Orgão: Pref. Rio Claro-SP
Provas:

A matriz gerada por meio dos coeficientes de atenuação pode ser convertida para uma escala numérica associada aos diferentes tecidos. Essa escala foi desenvolvida para a aplicação, na tomografia computadorizada e é chamada de escala de:

 

Provas

Questão presente nas seguintes provas
3370729 Ano: 2023
Disciplina: Medicina
Banca: Avança SP
Orgão: Pref. Rio Claro-SP
Provas:

Leia:

“(...) aparece como uma opacidade pulmonar alongada, curva e verticalizada, lembrando esta espada, nos pacientes com retorno venoso parcial anômalo a direita.”

Dos achados na radiografia de tórax, o excerto define o sinal de:

 

Provas

Questão presente nas seguintes provas
3370728 Ano: 2023
Disciplina: Medicina
Banca: Avança SP
Orgão: Pref. Rio Claro-SP
Provas:

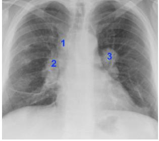
Sobre a radiografia torácica, o sinal do 1-2-3 está relacionado à linfonodopatia da sarcoidose nas regiões:

Enunciado 3621809-1

 

Provas

Questão presente nas seguintes provas
3370727 Ano: 2023
Disciplina: Medicina
Banca: Avança SP
Orgão: Pref. Rio Claro-SP
Provas:

A radiografia PA de tórax é uma das incidências mais solicitadas na clínica. Contudo, áreas cegas são suas limitações. Não é uma área cega dessa incidência:

 

Provas

Questão presente nas seguintes provas
3370726 Ano: 2023
Disciplina: Medicina
Banca: Avança SP
Orgão: Pref. Rio Claro-SP
Provas:

A US deve ser realizada, inicialmente, em todo paciente com pancreatite aguda para detectar cálculos na vesícula biliar ou no colédoco, mesmo nos consumidores de álcool. Este método é mais limitado no diagnóstico da coledocolitíase distal e para visualização do pâncreas e da região peripancreática, devido à ausência de janela acústica pela interposição:

 

Provas

Questão presente nas seguintes provas
3370725 Ano: 2023
Disciplina: Medicina
Banca: Avança SP
Orgão: Pref. Rio Claro-SP
Provas:

Achados tomográficos na diverticulite incluem:

I - espessamento inflamatório da parede intestinal (maior que 5mm, com a distensão luminal adequada).

II - densificação da gordura pericólica.

III - bolhas de ar extraluminais, presença de abscessos e líquido livre.

É correto o que se afirma em:

 

Provas

Questão presente nas seguintes provas