Magna Concursos

Foram encontradas 40 questões.

O Programa de Saúde da Família é considerado a estratégia que busca reorganizar a atenção básica no país, considerando os preceitos do Sistema Único de Saúde. Sobre o assunto, assinale a alternativa correta.

 

Provas

Questão presente nas seguintes provas

Sobre a conferência de saúde, analise as proposições abaixo e assinale (V) para Verdadeiro ou (F) para Falso.

( ) A conferência reunir-se-á a cada dois anos.

( ) Contará com a representação dos vários segmentos sociais, para avaliar a situação de saúde e propor as diretrizes para a formulação da política de saúde nos níveis correspondentes.

( ) Poderá ser convocada, exclusivamente, pelo Poder Executivo.

Assinale a alternativa que apresenta a sequência correta.

 

Provas

Questão presente nas seguintes provas

De acordo com a Lei n.º 8.080/1990, assinale a alternativa correta.

 

Provas

Questão presente nas seguintes provas

De acordo com a Constituição Federal de 1988, saúde é direito de todos e dever do Estado, sendo garantido mediante políticas sociais e econômicas que possuem o objetivo de

 

Provas

Questão presente nas seguintes provas

Sobre o processo de regionalização, de acordo com a NOASUS, assinale a alternativa correta.

 

Provas

Questão presente nas seguintes provas
3377663 Ano: 2022
Disciplina: Medicina
Banca: IMAIS
Orgão: Pref. Santana Parnaíba-SP
Provas:

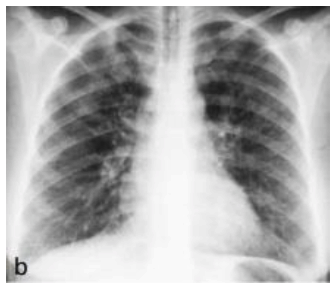
Analise a imagem abaixo para responder à questão.

Enunciado 3479502-1

Considerando a radiografia acima, analise as proposições abaixo.

I. Observa-se que é um paciente do sexo masculino.

II. Radiografia de tórax em PA, demonstra infiltração intersticial reticular bilateral e difusa associada à cardiomegalia.

III. Na porção lateral do pulmão direito identificam-se opacidades lineares perpendiculares à pleura (seta), características de linhas septolinfáticas ou linhas B de Kerley.

É correto o que se afirma em

 

Provas

Questão presente nas seguintes provas
3377662 Ano: 2022
Disciplina: Medicina
Banca: IMAIS
Orgão: Pref. Santana Parnaíba-SP
Provas:

Na apresentação radiográfica clássica da tuberculose pós-primária, predomina nos lobos , com consolidações e áreas de escavação, além de disseminação endobrônquica do processo inflamatório.

Assinale a alternativa que preenche corretamente a lacuna.

 

Provas

Questão presente nas seguintes provas
3377661 Ano: 2022
Disciplina: Medicina
Banca: IMAIS
Orgão: Pref. Santana Parnaíba-SP
Provas:

Dos principais sinais e sintomas presentes no Tromboembolismo Pulmonar (TEP), os mais incidentes são

 

Provas

Questão presente nas seguintes provas
3377660 Ano: 2022
Disciplina: Medicina
Banca: IMAIS
Orgão: Pref. Santana Parnaíba-SP
Provas:

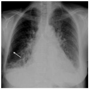
Analise a imagem abaixo para responder à questão.

Enunciado 3479499-1

É correto afirmar que a radiografia acima demonstra

 

Provas

Questão presente nas seguintes provas
3377659 Ano: 2022
Disciplina: Medicina
Banca: IMAIS
Orgão: Pref. Santana Parnaíba-SP
Provas:

Nos casos de TEP, a oclusão de ramos segmentares ou lobares da artéria pulmonar pode causar relativa hipertransparência da região irrigada por estes vasos, caracterizando o sinal de

 

Provas

Questão presente nas seguintes provas