Foram encontradas 740 questões.
Com relação às características comuns aos pacientes com periodontite agressiva, analise as proposições abaixo e assinale (V) para Verdadeiro ou (F) para Falso.
( ) Quantidade de depósitos microbianos compatíveis com a gravidade da doença.
( ) Sítios doentes infectados com Actinobacillus actinomycetemcomitans.
( ) Macrófagos hiper-responsivos que produzem níveis aumentados de prostaglandina E2 e interleucina-1β.
Assinale a alternativa que apresenta a sequência correta.
Provas
São características comuns aos pacientes com periodontite crônica, EXCETO,
Provas
As manifestações orais de condições sistêmicas que produzem lesões nos tecidos do periodonto são
Provas
As doenças gengivais modificadas pela desnutrição têm recebido atenção por causa das descrições clínicas de uma gengiva sangrante, avermelhada, edemaciada e brilhante associada à deficiência grave de
Provas
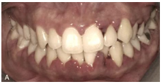
Analise a imagem abaixo para responder à questão 28.

(Carranza 2016).
A imagem demonstra uma garota de 13 anos de idade com inflamação papilar e marginal exacerbada por hormônios, com profundidade de bolsa de 1 a 4 mm, com mínima perda de inserção clínica, portanto, é correto afirmar que a avaliação foi feita por uma vista
Provas
Dos fatores sistêmicos que contribuem para a gengivite, sabe-se que pode ser exacerbado como resultado de alterações na resposta inflamatória gengival o(a)
Provas
Assinale a alternativa que apresenta uma doença gengival de origem fúngica.
Provas
A periodontite crônica, com Perda de Inserção Clínica (PIC) de 3 ou 4 mm é classificada como
Provas
Sobre os fatores localizados relacionados aos dentes que predispõe um indivíduo a doenças gengivais induzidas por placa ou periodontite, analise as proposições abaixo.
I. Deformidades e condições mucogengivais ao redor dos dentes.
II. Deformidades e condições mucogengivais em rebordos edêntulos.
III. Trauma oclusal.
É correto o que se afirma em
Provas
De acordo com Carranza (2016), a periodontite agressiva pode ser
Provas
Caderno Container