Foram encontradas 1.625 questões.
Provas
A Hiperplasia Prostática Benigna (HPB) é um diagnóstico comum em homens após os 50 anos. Sobre a HPB, analise as afirmativas abaixo.
I. É caracterizada por um aumento no número de células epiteliais e estromais, não no aumento do seu tamanho.
II. Quanto maior o volume prostático, piores os sintomas obstrutivos.
III. Constitui um dos principais fatores de risco para câncer de próstata.
IV. O valor sérico do PSA se encontra sempre alterado.
V. O tamanho da próstata usualmente guia a escolha do procedimento cirúrgico a ser realizado.
Assinale a alternativa correta:
Provas
A incidência do câncer de testículo tem aumentado ao longo dos anos. Sobre os tumores de testículo, analise as afirmativas abaixo e dê os valores Verdadeiro (V) ou Falso (F):
( ) A principal manifestação é dor intensa associada a crescimento de massa testicular.
( ) Linfoma testicular ocorre usualmente em pacientes com menos de 20 anos.
( ) A maioria das neoplasias malignas testiculares se desenvolvem a partir de células germinativas.
( ) Os principais marcadores séricos tumorais são a Alfa-feto-proteína, o hCG e o LDH, essenciais para o diagnóstico, porém sem importância no prognóstico e estadiamento.
Assinale a alternativa que apresenta a sequência correta de cima para baixo .
Provas
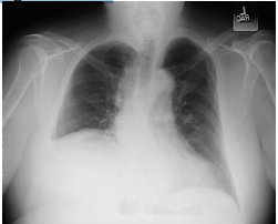
Paciente de 66 anos é avaliado no pronto-socorro por quadro de dor precordial. Refere que dor é em pontada na região esternal, irradiada para dorso, de forte intensidade. Havia se iniciado ao repouso e teve duração de 40 minutos. Antecedentes pessoais: Hipertensão arterial, em uso de Anlodipino. Ao exame físico: Afebril, Frequência cardíaca de 110 batimentos por minutos e Pressão arterial de 180/80 mmHg em ambos os membros. Ausculta respiratória sem alterações. Impulso carotídeo normal, pressão venosa jugular normal, B1 e B2 normais, sopro diastólico aspirativo 2+/6+ em rebordo esternal esquerdo.
Exames laboratoriais com CKMB: 8 (Valor Referência <5) e Troponina 0,5 (Valor Referência < 0,09). Eletrocardiograma: Taquicardia sinusal e alteração não específica da onda T e do segmento ST na parede lateral Radiografia de tórax:
Considerando a principal hipótese diagnóstica, assinale a alternativa que apresenta qual seria o melhor exame a ser realizado neste momento.
Provas
Em relação ao quadro clínico e ao diagnóstico do paciente, assinale a alternativa incorreta.

Provas
Provas
Provas
Provas
Provas
Paciente sexo masculino, 55 anos. Refere ser assintomático. Acompanha em consulta ambulatorial por Hipertensão Arterial. Em uso de Losartana 50mg 2x ao dia, anlodipino 10mg ao dia e Hidroclorotiazida 25mg ao dia. Exame físico da consulta sem alterações. Traz Monitorização ambulatorial de Pressão Arterial (MAPA) com média de 24 horas de 145/88 mmHg; em relação ao manejo clínico do paciente, assinale a alternativa incorreta.
Provas
Caderno Container