Foram encontradas 60 questões.
O tecido hematopoiético é um tipo de tecido conjuntivo responsável pela produção de células sanguíneas e da linfa. Nas figuras abaixo estão representadas algumas células que fazem parte do tecido hematopoiético.

Internet: <mundoeducacao.uol.com.br>.
Assinale a opção em que há correta correspondência entre a célula representada em cada uma das figuras precedentes e o seu respectivo tipo.
Provas
A eletroforese é uma técnica empregada na separação e também purificação de macromoléculas, como proteínas e ácidos nucleicos, que são colocadas sob a influência de um campo elétrico e migram para um polo positivo ou negativo, dependendo de sua carga. No caso da eletroforese desnaturante de proteínas, emprega-se um detergente que confere cargas negativas às moléculas proteicas, garantindo a migração dessas moléculas dentro desse campo elétrico.
Assinale a opção que corresponde ao detergente utilizado na referida técnica.
Provas
As figuras a seguir apresentam equipamentos que são empregados no processo de esterilização de materiais hospitalares e de laboratório.
|
Equipamento I
Internet: <pt.made-in-china.com>. |
Equipamento II
Internet: <oxetilfgf.com.br>. |
|
Equipamento III
Internet: <splabor.com.br>. |
Equipamento IV
Internet: <propp.ufu.br>. |
Com base nessas informações, assinale a opção que relaciona corretamente o equipamento ao seu respectivo método de esterilização.
Provas
Os tubos de coleta de sangue a vácuo representam uma importante ferramenta para as análises clínicas, sendo que, reduzem o risco de exposição direta ao sangue e tornam mais fácil a coleta de múltiplas amostras com uma única punção venal. Os tubos empregados na coleta de sangue podem conter um ou mais aditivos dependendo do tipo de análise desejada. Nesse sentido, o padrão de cores dos tubos trouxe maior agilidade ao procedimento de coleta e, desde que a recomendação da sequência dos tubos seja respeitada, evitará contaminação cruzada dos aditivos, quando há necessidade da coleta para diversos analitos de um mesmo paciente.
Ao se coletar uma amostra a partir da qual se deseje realizar testes de coagulação (por exemplo, tempo de protrombina, fibrinogênio), deve-se empregar um tubo de tampa
Provas
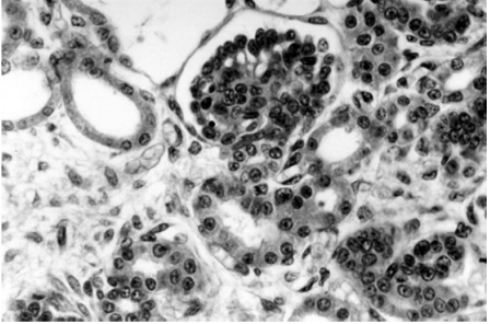
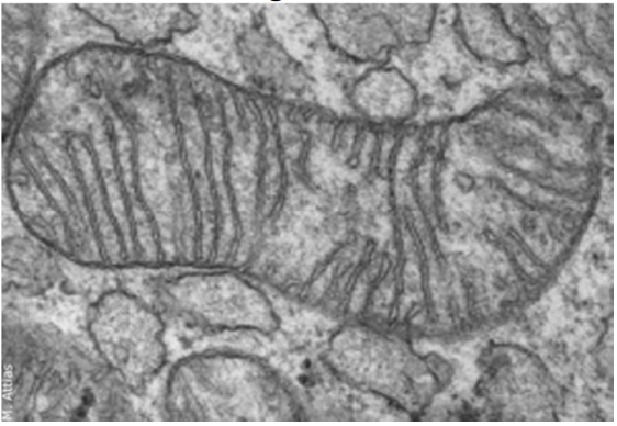
As técnicas de microscopia evoluíram muito desde as primeiras análises de estruturas biológicas realizadas pelo inglês Robert Hooke e pelo holandês Anton Van Leeuwenhoek, no século XVII.
|
Figura I
Internet: <fcav.unesp.br>. |
Figura II
Internet: <researchgate.net>. |
|
Figura III
Internet: <canal.cecierj.edu.br>. |
|
Considerando-se as três figuras precedentes, selecione a opção que apresenta, respectivamente, a modalidade de microscopia empregada na obtenção de cada uma delas.
Provas
|
I |
II |
III |
IV |
Internet: <www2.ufjf.br> (com adaptações).
Entre as vidrarias apresentadas na figura precedente, assinale a opção que indica a vidraria mais adequada ao preparo de soluções com grande precisão.
Provas
Texto CB1A1
Efeitos positivos sobre o metabolismo lipídico e glicídico, sobre a pressão arterial, a composição corporal, a densidade óssea, os hormônios, os antioxidantes, e ainda sobre o trânsito intestinal e as funções psicológicas aparentam ser as principais evidências da ação protetiva da atividade física contra doenças crônicas.
O corpo humano foi programado para exercitar-se, especialmente para fazer caminhadas. Há evidências de que a atividade física, como caminhadas regulares, produz bons resultados para a saúde: diminui pela metade o risco do diabetes; em mais de 25%, o risco de acidente vascular encefálico; o de certos tipos de câncer; o de resfriados; e previne ou melhora quadros de depressão.
Nos Estados Unidos da América (EUA), verificou-se que a atividade física regular moderada baixa as taxas de mortalidade em idosos, e a atividade física mais intensa diminui a mortalidade em jovens e adultos. Nesse país, a atividade física regular está associada à diminuição do risco de desenvolvimento de condições crônicas de saúde; à redução de fraturas por osteoporose; ao controle do peso; à manutenção de ossos, músculos e articulações saudáveis; à melhoria do movimento de pessoas idosas; e à promoção do bem-estar e de melhor qualidade de vida. Na Europa, resultados semelhantes foram identificados, mostrando que a atividade física regular diminui a mortalidade e a morbidade por doenças cardiovasculares, os riscos de câncer de colo de útero e de mama, e o risco de diabetes tipo 2.
A capacidade cardiorrespiratória, associada à atividade física, tem sido considerada como um dos mais importantes fatores relacionados a todas as causas de mortalidade, especialmente às mortes por doenças cardiovasculares, independentemente do peso corporal. Cientes dos evidentes resultados positivos da atividade física na saúde, a Organização Mundial da Saúde e a Federação Internacional de Medicina de Esportes recomendam que as pessoas aumentem gradualmente o tempo de suas atividades físicas até atingirem uma atividade física moderada de 30 min diários, esclarecendo que atividades mais intensas como corridas, ciclismo, tênis, natação e futebol podem prover, se indicadas, benefícios adicionais. A atividade física recomendada deve ter intensidade pelo menos moderada e deve ser frequente, ou seja, diária. Essa proposta de atividade moderada pode ser incorporada ao dia a dia e não se deve restringir aos momentos de lazer, podendo ser praticada também nos ambientes de trabalho, durante as atividades domiciliares e no transporte, o que permite ampliar os seus benefícios para além das pessoas que normalmente se interessam pelas práticas de exercícios vigorosos e de esportes.
Não obstante a crescente divulgação dos benefícios da atividade física, ela é pouco praticada no Brasil. Para mudar esse quadro, ações voltadas para o estímulo às atividades físicas já vêm sendo executadas em diferentes municípios brasileiros, como Aracaju, Belo Horizonte, Recife e Vitória, com evidências de sua eficácia para a melhoria da saúde dos que aderiram à ideia.
Eugênio Vilaça Mendes. O cuidado das condições crônicas na atenção primária à saúde: o imperativo da consolidação da estratégia da saúde da família. Brasília: Organização Pan-Americana da Saúde, 2012, cap. 6, pp.192-193. Internet: bvsms.saude.gov.br (com adaptações).
Estariam mantidas a correção gramatical e a coerência das ideias do texto CB1A1 caso se substituísse
Provas
- OrtografiaPontuaçãoVírgula
- SintaxeRegênciaRegência Nominal
- SintaxeCrase
- MorfologiaVerbosConjugaçãoFlexão Verbal de ModoImperativo
Texto CB1A1
Efeitos positivos sobre o metabolismo lipídico e glicídico, sobre a pressão arterial, a composição corporal, a densidade óssea, os hormônios, os antioxidantes, e ainda sobre o trânsito intestinal e as funções psicológicas aparentam ser as principais evidências da ação protetiva da atividade física contra doenças crônicas.
O corpo humano foi programado para exercitar-se, especialmente para fazer caminhadas. Há evidências de que a atividade física, como caminhadas regulares, produz bons resultados para a saúde: diminui pela metade o risco do diabetes; em mais de 25%, o risco de acidente vascular encefálico; o de certos tipos de câncer; o de resfriados; e previne ou melhora quadros de depressão.
Nos Estados Unidos da América (EUA), verificou-se que a atividade física regular moderada baixa as taxas de mortalidade em idosos, e a atividade física mais intensa diminui a mortalidade em jovens e adultos. Nesse país, a atividade física regular está associada à diminuição do risco de desenvolvimento de condições crônicas de saúde; à redução de fraturas por osteoporose; ao controle do peso; à manutenção de ossos, músculos e articulações saudáveis; à melhoria do movimento de pessoas idosas; e à promoção do bem-estar e de melhor qualidade de vida. Na Europa, resultados semelhantes foram identificados, mostrando que a atividade física regular diminui a mortalidade e a morbidade por doenças cardiovasculares, os riscos de câncer de colo de útero e de mama, e o risco de diabetes tipo 2.
A capacidade cardiorrespiratória, associada à atividade física, tem sido considerada como um dos mais importantes fatores relacionados a todas as causas de mortalidade, especialmente às mortes por doenças cardiovasculares, independentemente do peso corporal. Cientes dos evidentes resultados positivos da atividade física na saúde, a Organização Mundial da Saúde e a Federação Internacional de Medicina de Esportes recomendam que as pessoas aumentem gradualmente o tempo de suas atividades físicas até atingirem uma atividade física moderada de 30 min diários, esclarecendo que atividades mais intensas como corridas, ciclismo, tênis, natação e futebol podem prover, se indicadas, benefícios adicionais. A atividade física recomendada deve ter intensidade pelo menos moderada e deve ser frequente, ou seja, diária. Essa proposta de atividade moderada pode ser incorporada ao dia a dia e não se deve restringir aos momentos de lazer, podendo ser praticada também nos ambientes de trabalho, durante as atividades domiciliares e no transporte, o que permite ampliar os seus benefícios para além das pessoas que normalmente se interessam pelas práticas de exercícios vigorosos e de esportes.
Não obstante a crescente divulgação dos benefícios da atividade física, ela é pouco praticada no Brasil. Para mudar esse quadro, ações voltadas para o estímulo às atividades físicas já vêm sendo executadas em diferentes municípios brasileiros, como Aracaju, Belo Horizonte, Recife e Vitória, com evidências de sua eficácia para a melhoria da saúde dos que aderiram à ideia.
Eugênio Vilaça Mendes. O cuidado das condições crônicas na atenção primária à saúde: o imperativo da consolidação da estratégia da saúde da família. Brasília: Organização Pan-Americana da Saúde, 2012, cap. 6, pp.192-193. Internet: bvsms.saude.gov.br (com adaptações).
Assinale a opção correta em relação a aspectos linguísticos do texto CB1A1.
Provas
Texto CB1A1
Efeitos positivos sobre o metabolismo lipídico e glicídico, sobre a pressão arterial, a composição corporal, a densidade óssea, os hormônios, os antioxidantes, e ainda sobre o trânsito intestinal e as funções psicológicas aparentam ser as principais evidências da ação protetiva da atividade física contra doenças crônicas.
O corpo humano foi programado para exercitar-se, especialmente para fazer caminhadas. Há evidências de que a atividade física, como caminhadas regulares, produz bons resultados para a saúde: diminui pela metade o risco do diabetes; em mais de 25%, o risco de acidente vascular encefálico; o de certos tipos de câncer; o de resfriados; e previne ou melhora quadros de depressão.
Nos Estados Unidos da América (EUA), verificou-se que a atividade física regular moderada baixa as taxas de mortalidade em idosos, e a atividade física mais intensa diminui a mortalidade em jovens e adultos. Nesse país, a atividade física regular está associada à diminuição do risco de desenvolvimento de condições crônicas de saúde; à redução de fraturas por osteoporose; ao controle do peso; à manutenção de ossos, músculos e articulações saudáveis; à melhoria do movimento de pessoas idosas; e à promoção do bem-estar e de melhor qualidade de vida. Na Europa, resultados semelhantes foram identificados, mostrando que a atividade física regular diminui a mortalidade e a morbidade por doenças cardiovasculares, os riscos de câncer de colo de útero e de mama, e o risco de diabetes tipo 2.
A capacidade cardiorrespiratória, associada à atividade física, tem sido considerada como um dos mais importantes fatores relacionados a todas as causas de mortalidade, especialmente às mortes por doenças cardiovasculares, independentemente do peso corporal. Cientes dos evidentes resultados positivos da atividade física na saúde, a Organização Mundial da Saúde e a Federação Internacional de Medicina de Esportes recomendam que as pessoas aumentem gradualmente o tempo de suas atividades físicas até atingirem uma atividade física moderada de 30 min diários, esclarecendo que atividades mais intensas como corridas, ciclismo, tênis, natação e futebol podem prover, se indicadas, benefícios adicionais. A atividade física recomendada deve ter intensidade pelo menos moderada e deve ser frequente, ou seja, diária. Essa proposta de atividade moderada pode ser incorporada ao dia a dia e não se deve restringir aos momentos de lazer, podendo ser praticada também nos ambientes de trabalho, durante as atividades domiciliares e no transporte, o que permite ampliar os seus benefícios para além das pessoas que normalmente se interessam pelas práticas de exercícios vigorosos e de esportes.
Não obstante a crescente divulgação dos benefícios da atividade física, ela é pouco praticada no Brasil. Para mudar esse quadro, ações voltadas para o estímulo às atividades físicas já vêm sendo executadas em diferentes municípios brasileiros, como Aracaju, Belo Horizonte, Recife e Vitória, com evidências de sua eficácia para a melhoria da saúde dos que aderiram à ideia.
Eugênio Vilaça Mendes. O cuidado das condições crônicas na atenção primária à saúde: o imperativo da consolidação da estratégia da saúde da família. Brasília: Organização Pan-Americana da Saúde, 2012, cap. 6, pp.192-193. Internet: bvsms.saude.gov.br (com adaptações).
Considerando os mecanismos de coesão no texto CB1A1, assinale a opção em que há correta correspondência entre o termo ou expressão destacados e o respectivo elemento de referência.
Provas
Texto CB1A1
Efeitos positivos sobre o metabolismo lipídico e glicídico, sobre a pressão arterial, a composição corporal, a densidade óssea, os hormônios, os antioxidantes, e ainda sobre o trânsito intestinal e as funções psicológicas aparentam ser as principais evidências da ação protetiva da atividade física contra doenças crônicas.
O corpo humano foi programado para exercitar-se, especialmente para fazer caminhadas. Há evidências de que a atividade física, como caminhadas regulares, produz bons resultados para a saúde: diminui pela metade o risco do diabetes; em mais de 25%, o risco de acidente vascular encefálico; o de certos tipos de câncer; o de resfriados; e previne ou melhora quadros de depressão.
Nos Estados Unidos da América (EUA), verificou-se que a atividade física regular moderada baixa as taxas de mortalidade em idosos, e a atividade física mais intensa diminui a mortalidade em jovens e adultos. Nesse país, a atividade física regular está associada à diminuição do risco de desenvolvimento de condições crônicas de saúde; à redução de fraturas por osteoporose; ao controle do peso; à manutenção de ossos, músculos e articulações saudáveis; à melhoria do movimento de pessoas idosas; e à promoção do bem-estar e de melhor qualidade de vida. Na Europa, resultados semelhantes foram identificados, mostrando que a atividade física regular diminui a mortalidade e a morbidade por doenças cardiovasculares, os riscos de câncer de colo de útero e de mama, e o risco de diabetes tipo 2.
A capacidade cardiorrespiratória, associada à atividade física, tem sido considerada como um dos mais importantes fatores relacionados a todas as causas de mortalidade, especialmente às mortes por doenças cardiovasculares, independentemente do peso corporal. Cientes dos evidentes resultados positivos da atividade física na saúde, a Organização Mundial da Saúde e a Federação Internacional de Medicina de Esportes recomendam que as pessoas aumentem gradualmente o tempo de suas atividades físicas até atingirem uma atividade física moderada de 30 min diários, esclarecendo que atividades mais intensas como corridas, ciclismo, tênis, natação e futebol podem prover, se indicadas, benefícios adicionais. A atividade física recomendada deve ter intensidade pelo menos moderada e deve ser frequente, ou seja, diária. Essa proposta de atividade moderada pode ser incorporada ao dia a dia e não se deve restringir aos momentos de lazer, podendo ser praticada também nos ambientes de trabalho, durante as atividades domiciliares e no transporte, o que permite ampliar os seus benefícios para além das pessoas que normalmente se interessam pelas práticas de exercícios vigorosos e de esportes.
Não obstante a crescente divulgação dos benefícios da atividade física, ela é pouco praticada no Brasil. Para mudar esse quadro, ações voltadas para o estímulo às atividades físicas já vêm sendo executadas em diferentes municípios brasileiros, como Aracaju, Belo Horizonte, Recife e Vitória, com evidências de sua eficácia para a melhoria da saúde dos que aderiram à ideia.
Eugênio Vilaça Mendes. O cuidado das condições crônicas na atenção primária à saúde: o imperativo da consolidação da estratégia da saúde da família. Brasília: Organização Pan-Americana da Saúde, 2012, cap. 6, pp.192-193. Internet: bvsms.saude.gov.br (com adaptações).
Assinale a opção em que é apresentada proposta de reescrita correta e coerente para o seguinte período do quarto parágrafo do texto CB1A1: “A atividade física recomendada deve ter intensidade pelo menos moderada e deve ser frequente, ou seja, diária.”
Provas
Caderno Container










