Foram encontradas 100 questões.

Essa figura mostra um exemplo de implante para osteotomia
Provas
Caso clínico para responder à questão.

Uma paciente de 63 anos de idade compareceu ao consultório queixando-se de dor nos joelhos há cerca de cinco anos. Nega trauma. Refere que a dor começou a piorar nos últimos três meses. Relata ainda diabetes mellitus, e que seu joelho começou a entortar (sic) e que, quando acorda, o seu joelho frequentemente está rígido.
Provas
Caso clínico para responder à questão.

Uma paciente de 63 anos de idade compareceu ao consultório queixando-se de dor nos joelhos há cerca de cinco anos. Nega trauma. Refere que a dor começou a piorar nos últimos três meses. Relata ainda diabetes mellitus, e que seu joelho começou a entortar (sic) e que, quando acorda, o seu joelho frequentemente está rígido.
Provas
Caso clínico para responder à questão.

Uma paciente de 63 anos de idade compareceu ao consultório queixando-se de dor nos joelhos há cerca de cinco anos. Nega trauma. Refere que a dor começou a piorar nos últimos três meses. Relata ainda diabetes mellitus, e que seu joelho começou a entortar (sic) e que, quando acorda, o seu joelho frequentemente está rígido.
Provas
Caso clínico para responder à questão.

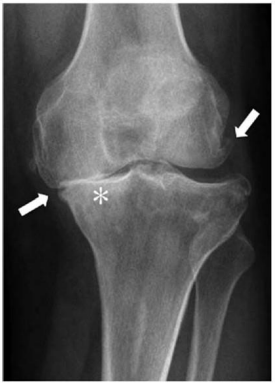
Uma paciente de 63 anos de idade compareceu ao consultório queixando-se de dor nos joelhos há cerca de cinco anos. Nega trauma. Refere que a dor começou a piorar nos últimos três meses. Relata ainda diabetes mellitus, e que seu joelho começou a entortar (sic) e que, quando acorda, o seu joelho frequentemente está rígido.
Provas
Caso clínico para responder à questão.

Uma paciente de 63 anos de idade compareceu ao consultório queixando-se de dor nos joelhos há cerca de cinco anos. Nega trauma. Refere que a dor começou a piorar nos últimos três meses. Relata ainda diabetes mellitus, e que seu joelho começou a entortar (sic) e que, quando acorda, o seu joelho frequentemente está rígido.
Considere que a paciente do caso clínico relatado realizou o exame representado na figura. De acordo com a classificação de Kellgren e Lawrence, trata-se do grau
Provas
Caso clínico para responder à questão.

Uma paciente de 63 anos de idade compareceu ao consultório queixando-se de dor nos joelhos há cerca de cinco anos. Nega trauma. Refere que a dor começou a piorar nos últimos três meses. Relata ainda diabetes mellitus, e que seu joelho começou a entortar (sic) e que, quando acorda, o seu joelho frequentemente está rígido.
Provas
Caso clínico para responder à questão.

Uma paciente de 63 anos de idade compareceu ao consultório queixando-se de dor nos joelhos há cerca de cinco anos. Nega trauma. Refere que a dor começou a piorar nos últimos três meses. Relata ainda diabetes mellitus, e que seu joelho começou a entortar (sic) e que, quando acorda, o seu joelho frequentemente está rígido.
Provas
Caso clínico para responder à questão.

Uma paciente de 63 anos de idade compareceu ao consultório queixando-se de dor nos joelhos há cerca de cinco anos. Nega trauma. Refere que a dor começou a piorar nos últimos três meses. Relata ainda diabetes mellitus, e que seu joelho começou a entortar (sic) e que, quando acorda, o seu joelho frequentemente está rígido.
Provas
Caso clínico para responder à questão.

Uma paciente de 63 anos de idade compareceu ao consultório queixando-se de dor nos joelhos há cerca de cinco anos. Nega trauma. Refere que a dor começou a piorar nos últimos três meses. Relata ainda diabetes mellitus, e que seu joelho começou a entortar (sic) e que, quando acorda, o seu joelho frequentemente está rígido.
Provas
Caderno Container