Foram encontradas 60 questões.
Informe se é verdadeiro (V) ou falso (F) o que se afirma a seguir e assinale a alternativa com a sequência correta.( ) No Brasil, a saúde é um direito fundamental do ser humano, devendo o Estado prover as condições indispensáveis ao seu pleno exercício.
( ) Um dos objetivos do Sistema Único de Saúde (SUS) é a identificação e divulgação dos fatores condicionantes e determinantes da saúde.
( ) Um dos princípios do Sistema Único de Saúde é a universalidade de acesso aos serviços de saúde em todos os níveis de assistência.
( ) A integralidade de assistência não compõe o conjunto dos princípios do SUS.
Provas
Toda bolsa de componente sanguíneo a ser transfundida precisa de um cartão de transfusão (rótulo ou etiqueta) que indique
Provas
Dor torácica, dispneia, dor lombar, ansiedade e calafrios são sintomas mais comuns de quais dos problemas de saúde abaixo?
Provas
Um paciente renal crônico com planejamento de iniciar diálise, para o qual já foi avaliada a realização de fístula arteriovenosa, começa a apresentar hemoglobina de 8,5g/dl normocítica e normocrômica com perfil de ferro normal e sem deficiências carenciais. O médico residente da clínica médica consulta o médico hematologista em plantão para saber se existe alguma atualização sobre o tratamento, e o colega informa que, no Brasil, há Protocolo Clínico e Diretrizes Terapêuticas (PCDT) para Anemia na Doença Renal Crônica (DRC), o qual é seguido amplamente para o quadro de anemia associado à doença renal crônica. Considerando o referido protocolo, qual seria o possível tratamento para o paciente indicado?
Provas
Em qual das condições relacionadas a seguir a plasmaférese terapêutica tem mais efetividade como tratamento inicial?
Provas
O teste de agregação plaquetária com diferentes agentes agregantes empregados (adrenalina, ADP, colágeno e ristocetina) possibilita a identificação e a caracterização dos seguintes distúrbios hematológicos:
Provas
Paciente de 29 anos, masculino, natural do interior de Santa Catarina, com déficit de aprendizado e úlceras de repetição em membros inferiores há 14 anos, com recidivas e melhora parcial ao tratamento tópico. Desde 2022 (há 03 anos), apresenta lesão vegetante crônica em perna direita. Evoluiu, concomitantemente, com perda visual até amaurose bilateral, mantendo percepção luminosa, além de tetraparesia, arreflexia, ataxia e oftalmoplegia com nistagmo. Exames afastaram causas vasculares, infecciosas, reumatológicas e metabólicas. A retinografia evidenciou achados compatíveis com albinismo ocular, e o exame dermatológico mostrou hipopigmentação cutânea e cabelos acinzentados com biópsia revelando infiltrado linfoplasmocitário. O sangue periférico demonstrou neutrófilos e linfócitos com granulações citoplasmáticas gigantes. O hematologista olhou a lâmina e, pensando ser um caso raro, sugeriu realização de um painel de imunodeficiências hereditárias. O profissional, ao sugerir esse exame para confirmar o diagnóstico, espera encontrar
Provas
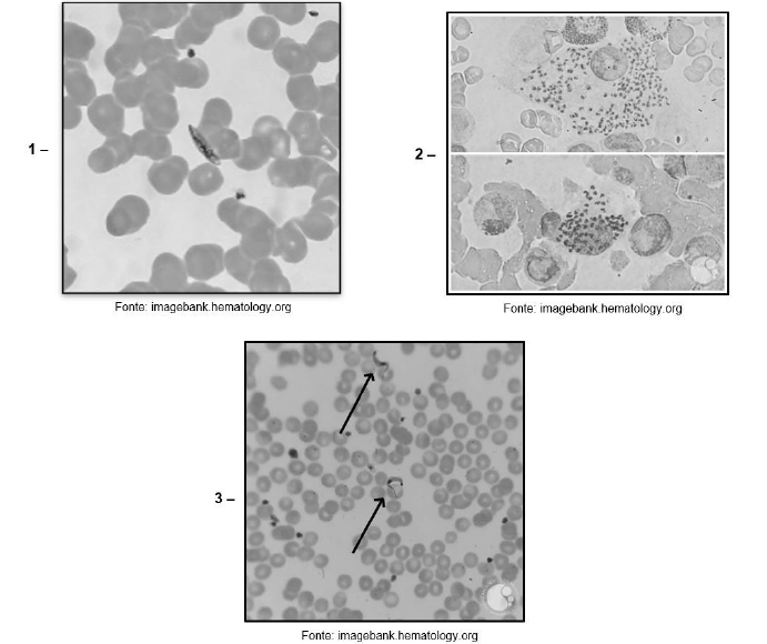
Considere as seguintes imagens:

Assinale a alternativa que apresenta corretamente os possíveis diagnósticos das imagens de lâminas perífericas/medula.
Provas
Infectologista procura o hematologista na capital do estado, em hospital referência da Infectologia, para saber se a isoniazida – medicamento utilizado para tuberculose – causa alterações no hemograma de pacientes que fazem uso. O hematologista explica ao colega que a isoniazida NÃO costuma estar associada à
Provas
Qual das seguintes alterações é critério diagnóstico de linfohistiocitose hemofagocítica?
Provas
Caderno Container