Foram encontradas 853 questões.
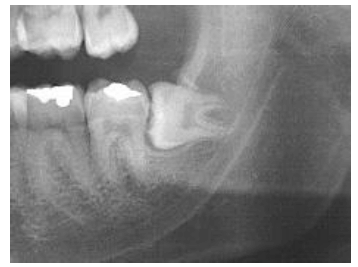
Quanto à classificação dos elementos impactados de Pell e Gregory, qual das afirmativas a seguir é a CORRETA para o elemento 38?

Provas
Um paciente apresenta odontalgia intensa, contínua e pulsátil, envolvendo o elemento dentário 36, há cerca de 12 horas. O dente em questão está extrusionado e com alta sensibilidade à percussão. Existe aumento de volume doloroso não muito definido quanto à localização nas regiões submandibular e submentoniana, “lado esquerdo”. O paciente está febril e acamado. Assinale a alternativa que apresenta o diagnóstico CORRETO.
Provas
Sobre o tratamento e o manejo das fraturas mandibulares, assinale a alternativa CORRETA.
Provas
Assinale a alternativa CORRETA. Na cirurgia ortognática as situações mais comuns que exigem enxertos interposicionais são:
Provas
A anquilose de ATM (têmporo-mandibular) constitui um grande desafio para o cirurgião bucomaxilofacial. Sobre este tema, identifique se são verdadeiras (V) ou falsas (F) as afirmativas abaixo.
( ) A falsa anquilose (origem extracapsular) pode se desenvolver por queimaduras.
( ) A verdadeira anquilose (origem extracapsular) pode se desenvolver no pós-operatório da cirurgia de ATM.
( ) A anquilose verdadeira de ATM pode ser consequência de otites a mastoidites.
( ) A pseudoanquilose (interferência mecânica) pode ser originada por neoplasia do processo coronoide.
( ) Os traumas por arma de fogo podem originar anquiloses verdadeiras e falsas.
Assinale a alternativa que apresenta a sequência CORRETA, de cima para baixo.
Provas
Um dos temas mais importantes no dia a dia do cirurgião bucomaxilofacial é o uso de ansiolíticos. Assinale a alternativa CORRETA sobre estes fármacos.
Provas
A mucosite por irradiação é um eritema bolhoso na mucosa bucal, na faringe e na laringe. Esta patologia é comum nos pacientes irradiados e exige conhecimento pelo cirurgião bucomaxilofacial. Identifique se são verdadeiras (V) ou falsas (F) as afirmativas abaixo.
( ) Normalmente se desenvolve duas semanas após sessão de radioterapia.
( ) Regride 06 semanas após o término do tratamento.
( ) Independe da dose diária de radioterapia.
( ) O palato duro e as cordas vocais são especialmente afetados.
( ) O laser de alta potência oferece boa resposta no tratamento .
Assinale a alternativa que apresenta a sequência CORRETA, de cima para baixo.
Provas
O deslocamento mandibular abrupto, também conhecido como luxação mandibular, é uma patologia que exige conduta imediata e lógica quanto à hierarquia de procedimentos. Assinale a conduta CORRETA.
Provas
Em relação ao tratamento de tumores que frequentemente acometem pacientes jovens (infanto-juvenis), é CORRETO afirmar que:
Provas
Assinale a alternativa que responde CORRETAMENTE à pergunta abaixo. Qual o primeiro passo no protocolo de tratamento da anquilose têmporo-mandibular verdadeira “intracapsular” (ATM) em crianças com comprimento mandibular normal?
Provas
Caderno Container