Magna Concursos

Foram encontradas 270 questões.

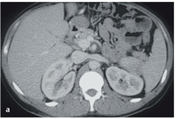
3699228 Ano: 2025
Disciplina: Radiologia
Banca: IDECAN
Orgão: SESAP-RN
Provas:
Analise a imagem abaixo. Em seguida, marque o item correspondente ao exame de imagem e ao/a corte/incidência em questão.

Enunciado 4449851-1
Fonte:JUNIOR, Carlos Fernando de M. Radiologia Básica. 3. ed. Rio de Janeiro: Thieme Revinter, 2021. E-book. p.2
 

Provas

Questão presente nas seguintes provas
3699227 Ano: 2025
Disciplina: Radiologia
Banca: IDECAN
Orgão: SESAP-RN
Provas:
A avaliação da adequação técnica de uma radiografia de tórax é imprescindível, sendo necessário a familiarização com armadilhas no diagnóstico que determinados artefatos técnicos podem apresentar. Esse conhecimento é importante para que problemas técnicos não sejam confundidos com anormalidades.

Sobre a temática, assinale o item que for verdadeiro acerca da adequação técnica de uma radiografia de tórax.
 

Provas

Questão presente nas seguintes provas
3699226 Ano: 2025
Disciplina: Radiologia
Banca: IDECAN
Orgão: SESAP-RN
Provas:
Identifique a alternativa que apresenta corretamente o princípio básico da tomografia computadorizada.
 

Provas

Questão presente nas seguintes provas
3699225 Ano: 2025
Disciplina: Radiologia
Banca: IDECAN
Orgão: SESAP-RN
Provas:
É de grande importância o conhecimento básico sobre a eletricidade, o átomo e a interação entre as cargas elétricas para a produção dos raios X.

Sobre o assunto, marque a alternativa correta.
 

Provas

Questão presente nas seguintes provas
3699224 Ano: 2025
Disciplina: Radiologia
Banca: IDECAN
Orgão: SESAP-RN
Provas:
Observe a figura da realização do exame de imagem abaixo em um paciente com luxação de quadril.

Enunciado 4449847-1

Fonte:FELISBERTO, Marcelo. Fundamentos de Radiologia. Rio de Janeiro: Érica, 2014. E-book. p.70. ISBN 9788536520964.

Sinalize o item com o respectivo nome e método referente a imagem acima.
 

Provas

Questão presente nas seguintes provas
3699223 Ano: 2025
Disciplina: Radiologia
Banca: IDECAN
Orgão: SESAP-RN
Provas:
Os termos mais frequentemente utilizados nas descrições das imagens em uma radiografia estão relacionados com a transparência radiológica dos tecidos avaliados, ou seja, a capacidade de determinada estrutura do corpo humano absorver ou permitir a passagem dos raios X, fazendo com que este atinja em menor ou maior proporção o filme radiográfico.
Sendo nominadas como estruturas radiotransparentes (pretas) radiopacas (brancas).

Sobre a temática, assinale a afirmativa que contempla uma densidade radiotransparente e uma radiopaca, respectivamente.
 

Provas

Questão presente nas seguintes provas
3699222 Ano: 2025
Disciplina: Radiologia
Banca: IDECAN
Orgão: SESAP-RN
Provas:
Sobre escanometria dos membros inferiores, assinale a alternativa correta.
 

Provas

Questão presente nas seguintes provas
3699221 Ano: 2025
Disciplina: Radiologia
Banca: IDECAN
Orgão: SESAP-RN
Provas:
Um paciente de 30 anos comparece ao pronto atendimento após lesão em jogo de futebol. O médico de plantão suspeita de fratura em membro inferior e solicita radiografia simples de joelho, com ênfase em imagem de patela.

De acordo com o enunciado, marque o item que contém a descrição do posicionamento correto para realização de tal exame de forma efetiva.
 

Provas

Questão presente nas seguintes provas
3699220 Ano: 2025
Disciplina: Radiologia
Banca: IDECAN
Orgão: SESAP-RN
Provas:
Colocar o paciente em pé na posição AP. Rodar o corpo até formar um ângulo de 35 a 40º em relação à estativa. Flectir o cotovelo e encostar a palma da mão no ombro oposto. Raio central angulado 20º, cefálico, na direção da articulação glenoumeral. Chassi 18x24, transversal e panorâmico. DFoFi 100 cm, com bucky.

Tal descrição se refere a uma imagem localizada no ombro. Assinale o item com o respectivo nome da incidência referente.
 

Provas

Questão presente nas seguintes provas
3699219 Ano: 2025
Disciplina: Radiologia
Banca: IDECAN
Orgão: SESAP-RN
Provas:
Em casos de fratura, luxação ou até mesmo condição de osteoporose, é coerente a solicitação de realização de radiografia simples de mão, na incidência oblíqua.

Sobre o exame supracitado, assinale o item que descreve a técnica e posição corretas para a realização da imagem.
 

Provas

Questão presente nas seguintes provas