Foram encontradas 90 questões.

Provas
Questão presente nas seguintes provas

Provas
Questão presente nas seguintes provas

Provas
Questão presente nas seguintes provas

Provas
Questão presente nas seguintes provas

Provas
Questão presente nas seguintes provas

Provas
Questão presente nas seguintes provas

Provas
Questão presente nas seguintes provas
Paciente do sexo feminino, 68 anos, obesa, tabagista, refere queixa de pirose retroesternal, principalmente associada ao decúbito após alimentações. Além disso, relata quadro de tosse seca, muitas vezes também associada ao decúbito dorsal. Nega sudorese, náuseas ou outros sintomas associados ao quadro clínico atual. Nega perda ponderal ou alteração do hábito intestinal. Solicitada endoscopia digestiva e a porção distal do esôfago encontra-se ilustrada a seguir.

É correto afirmar, em relação ao caso clínico exposto, que

É correto afirmar, em relação ao caso clínico exposto, que
Provas
Questão presente nas seguintes provas
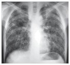
Paciente do sexo masculino, 34 anos, procedente do Ceará, refere dispneia que se intensificou há dois anos. Refere que há 20 anos trabalha no interior do Ceará cavando cacimbas (poço de água potável). Realizado exame radiológico (ilustrado a seguir), que evidenciou infiltrado reticulonodular e pequenos nódulos difusos que poupam os seios costofrênicos.

A hipótese diagnóstica mais provável é a

A hipótese diagnóstica mais provável é a
Provas
Questão presente nas seguintes provas

Provas
Questão presente nas seguintes provas
Cadernos
Caderno Container