Foram encontradas 40 questões.
Na maior parte dos tumores metastáticos para a pleura, cerca de 75% dos casos tem como local de origem:
Provas
Questão presente nas seguintes provas
Com relação ao tratamento da asma, podemos afirmar que:
Provas
Questão presente nas seguintes provas
No tratamento do tabagismo com uso do tartarato de vareniclina, são considerados importantes os seguintes efeitos colaterais:
Provas
Questão presente nas seguintes provas
O teste do exercício cardiopulmonar, quando apresenta PuO2 máximo muito diminuído, reserva cronotrópica diminuída, relação SaO2/PaO2 mantida e reserva ventilatória inalterada , indica:
Provas
Questão presente nas seguintes provas
Na avaliação diagnóstica de nódulos pulmonares solitários, pode-se afirmar, em relação ao papel da broncoscopia flexível, que:
Provas
Questão presente nas seguintes provas
O sinal do halo, visto na tomografia computadorizada de tórax, pode sugerir:
Provas
Questão presente nas seguintes provas
As complicações pulmonares não infecciosas mais comuns nos pacientes com SIDA/AIDS são as seguintes:
Provas
Questão presente nas seguintes provas
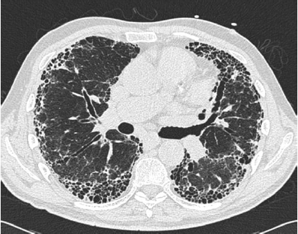
A tomografia computadorizada de alta resolução é de grande ajuda no diagnóstico das doenças pulmonares. O principal diagnóstico relacionado à imagem abaixo é:

Provas
Questão presente nas seguintes provas
A epidemia do crack é um real problema de saúde pública e o pneumologista possui poucos instrumentos para o seu diagnóstico, dentre eles se destaca o lavado broncoalveolar (LBA). O achado que pode sugerir o uso do crack no LBA é:
Provas
Questão presente nas seguintes provas
Marque a afirmativa correta, em relação às micoses pulmonares:
Provas
Questão presente nas seguintes provas
Cadernos
Caderno Container