Foram encontradas 570 questões.
O microscópio que apresenta a vantagem de produzir fatias ópticas de diferentes espessuras é denominado:
Provas
As regiões hipervariáveis do DNA mitocondrial humano HVI, HVIl, HVlIll apresentam os respectivos tamanhos em pares de base:
Provas
O estudo de um tipo raro de câncer infantil levou à descoberta do primeiro gene supressor tumoral humano, identificado como retinoblastoma (RB). Normalmente, a proteína codificada por este gene atua da seguinte forma:
Provas
Sabe-se que um tipo nomenclatural (fypus) é o elemento ao qual o nome de um táxon está permanentemente ligado. Quando o tipo nomenclatural usado pelo autor de uma nova espécie se constitui de um único espécimen, esse tipo é designado:
Provas
Para a obtenção de plantas transgênicas por meio da Agrobaterium tumefaciens, são utilizadas linhagens desarmadas. A opção que apresenta as características dessas linhagens é:
Provas
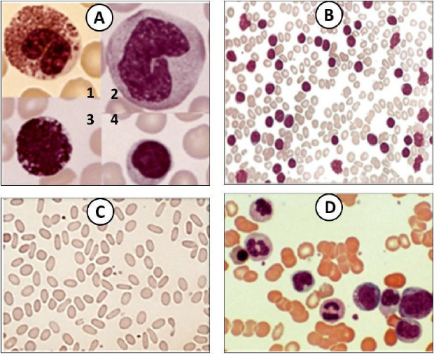
Analise as imagens abaixo:

As letras A, B, Ce D, representam respectivamente:
Provas
Para a realização da preparação cirúrgica da microcirculação cerebral em ratos, um dos procedimentos correto é:
Provas
O Trypanosoma cruzi apresenta em seu ciclo de vida as seguintes formas evolutivas:
Provas
imagem abaixo mostra a placa de perfuração da espécie Citharexylum myrianthum Cham. (Verbenaceae).

Fonte: GASSON, P.E.; BAAS, P.; WHEELER, E.A. IAWA list of microscopic features for hardwood identification. IAWA COMMITTEE, 1989.
Essa placa de perfuração é classificada como:
Provas
Após a realização de um exame coproparasitológico em uma amostra de fezes de origem inicialmente desconhecida, observa-se a existência de ovos de Trichuris trichiura. Neste caso, pode-se concluir que as fezes foram provenientes de:
Provas
Caderno Container