Magna Concursos

Foram encontradas 100 questões.

3892391 Ano: 2025
Disciplina: Medicina
Banca: NUCEPE
Orgão: UESPI
"As anomalias estruturais do coração são as malformações congênitas mais comuns. A incidência de cardiopatias congênitas, se considerado somente o períodopós-natal, varia de 3 a 12 por 1.000 nascimentos vivos”. Assim, a propedêutica fetal tem melhorado nessa perspectiva diagnóstica. Sobre o tema, é CORRETO o seguinte:
 

Provas

Questão presente nas seguintes provas
3892390 Ano: 2025
Disciplina: Medicina
Banca: NUCEPE
Orgão: UESPI
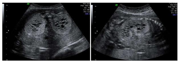
Gestante, 28 anos, primigesta, com 23 semanas de idade gestacional, vem para realização de rotina de ultrassonografia morfológica fetal, apresentando o seguinte achado associado a anidramnia.

Enunciado 4671121-1

Sobre tal patologia em questão, é CORRETO afirmar:
 

Provas

Questão presente nas seguintes provas
3892389 Ano: 2025
Disciplina: Medicina
Banca: NUCEPE
Orgão: UESPI
Mulher de 25 anos, nulípara, chega ao pronto socorro referindo dor abdominal discreta, sangramento genital há cerca de 1 semana e amenorréia de 7 semanas. Ao exame físic , apresenta-se com estado geral regular, mucosas hipocoradas (+/+4), estável hemodinamicamente, abdome flácido e levemente doloroso à palpação em flanco inferior esquerdo, colo uterino impérvio, sangramento em dedo de luva. A propedêutica complementar mostrou β- HCG sérico = 980 mUi/ml, ultrassonografia com eco endometrial = 18mm e regiões anexiais normais. A decisão clínica mais recomendada é
 

Provas

Questão presente nas seguintes provas
3892388 Ano: 2025
Disciplina: Medicina
Banca: NUCEPE
Orgão: UESPI
"Apesar da evolução tecnológica e científica das últimas décadas, a prematuridade ainda constitui um grande desafio — é a principal causa de morbidade e mortalidade neonatal”. Sobre isso é CORRETO afirmar:
 

Provas

Questão presente nas seguintes provas
3892387 Ano: 2025
Disciplina: Medicina
Banca: NUCEPE
Orgão: UESPI
O perfil biofísico fetal é a análise de múltiplas variáveis biofísicas fetais combinadas, com o objetivo de avaliar a hipóxia do sistema nervoso central fetal que altera os parâmetros biofísicos na seqüência seguinte:
 

Provas

Questão presente nas seguintes provas
3892386 Ano: 2025
Disciplina: Medicina
Banca: NUCEPE
Orgão: UESPI
A doença hemolítica perinatal, ou isoimunizacão materna, apresenta elevados índices de morbidade e mortalidade fetal e perinatal. Dentre os seguintes achados, qual NÃO se associa com essa patologia?
 

Provas

Questão presente nas seguintes provas
3892385 Ano: 2025
Disciplina: Saúde Pública
Banca: NUCEPE
Orgão: UESPI
"Para atingir a meta do quinto Objetivo de Desenvolvimento do Milênio (ODM), o Brasil deverá apresentar razão da mortalidade materna (RMM) igual ou inferior a 35 óbitos por 100 mil nascidos vivos (NV) até 2015, o que corresponde a uma redução de três quartos em relação ao valor estimado para 1990”. Sobre mortalidade materna no contexto brasileiro, é CORRETO afirmar:
 

Provas

Questão presente nas seguintes provas
3892384 Ano: 2025
Disciplina: Medicina
Banca: NUCEPE
Orgão: UESPI
Os exames laboratoriais no pré-natal, segundo o Ministério da Saúde, apresentam uma rotina na qual o(s) exame(s):
 

Provas

Questão presente nas seguintes provas
3892383 Ano: 2025
Disciplina: Medicina
Banca: NUCEPE
Orgão: UESPI
Segundo o Federal Drugs and Foods Administration (FDA), é droga pertencente à categoria “A” de risco:
 

Provas

Questão presente nas seguintes provas
3892382 Ano: 2025
Disciplina: Medicina
Banca: NUCEPE
Orgão: UESPI
As modificações fisiológicas na gravidez e no ciclo puerperal são responsáveis por intensas alterações no cotidiano da mulher. Dentre os achados característicos dessa etapa, assinale a alternativa CORRETA.
 

Provas

Questão presente nas seguintes provas