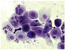
De acordo com a fase do ciclo estral podem ser detectadas alterações estruturais nos órgãos reprodutivos femininos. Através da colpocitologia, é possível estimar o momento mais adequado para cópula.

http://www.vetmed.lsu.edu/eiltslotus/theriogenology-5361/k-
9__vaginal_cytology.htm
Com base na imagem acima e em seus conhecimentos a respeito do ciclo estral na cadela, marque a alternativa correta: